
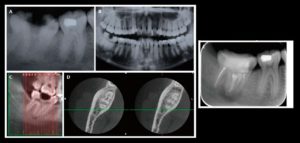
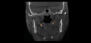
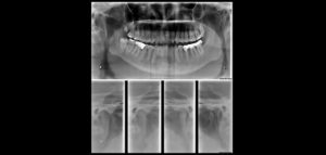
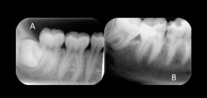
132 – Tratamiento de la reabsorción radicular interna idiopática perforante: controles radiográficos
La reabsorción radicular interna (RRI) es una afección inflamatoria que resulta en la destrucción progresiva de la dentina intra-radicular a lo largo de los tercios


















