El Tumor Odontogénico Queratoquístico (TOQ) representa del 3 al 11% de los quistes que se encuentran en los maxilares. El TOQ es un quiste odontogénico del desarrollo de origen epitelial. El TOQ usualmente se presenta en mandíbula (aproximadamente del 60-80% de todos los casos) en el área molar y mandibular. Crecen en dirección antero posterior dentro de la cavidad medular del hueso hacia la rama mandibular sin causar una obvia expansión. Radiográficamente puede presentarse como una lesión radiolúcida unilocular o multilocular bien definida, limitada por un borde esclerótico de hueso. En aproximadamente del 25-40% de los casos se encuentra asociado con una pieza dental no erupcionada. La controversia generada por el TOQ radica principalmente en la diversidad de enfoques terapéuticos. Las distintas modalidades de tratamiento incluye métodos conservadores (enucleación, descompresión, marsupialización) y técnicas más agresivas utilizando criocirugía o destrucción química, hasta técnicas quirúrgicas radicales como la resección ósea. A pesar que los tratamientos más radicales resultan en tasas de recurrencia más bajas, la literatura no da pruebas suficientes para determinar qué modalidad de tratamiento es la más eficaz, ya sea disminuyendo la morbilidad o previniendo la recurrencia
La marsupialización, en su verdadero sentido, significa la conversión del quiste en una bolsa y esto implica la creación de una abertura considerable que tiene la capacidad de mantenerse (Pogrel, 2004). La técnica fue descrita originalmente por Partsch a finales de los 1800s como un tratamiento definitivo para los quistes en momentos en que los antibióticos no estaban disponibles y la enucleación y cierre primario a menudo conducía a dehiscencia de la herida e infección. Se lleva a cabo mediante la eliminación del techo del quiste o creación de una ventana quirúrgica (“de-roofing» del quiste) y la colocación de un tubo, catéter o drenaje, o bien, la colocación de una gasa y su cambio repetitivo, para facilitar la descompresión gradual y contracción del defecto.
Inicialmente, la marsupialización no se recomendó como tratamiento para el TOQ, porque se pensaba que el tejido patológico se dejaría in situ y no había ninguna manera para predecir el comportamiento de la capa basal activa del quiste (Voorsmit, 1981; Bataineh, 1998). También se creía que habría una tasa de recurrencia inaceptablemente alta tras este procedimiento. No obstante, hoy día, el uso de la marsupialización como método de resolución total o parcial es una técnica defendida por muchos autores.
A continuación se presenta un caso que describe el tratamiento de un TOQ mediante la marsupialización. El excelente resultado sugiere que la marsupialización puede ser, en algunos casos, una opción de tratamiento definitivo para los tumores odontogénicos de gran tamaño.
Figura 1: (A) Radiografía panorámica de un TOQ que se presenta como una gran radiolucidez multilocular con desplazamiento de piezas dentales y afección de maxilar inferior. Fuente: Srivatsan 2014. (B) Corte axial de un CBCT que muestra la extensión de la lesión producida por un TOQ. (Fuente: Alatorre 2014)
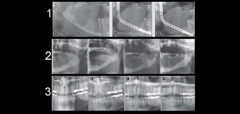
Figura 2: Opciones de tratamiento del TOQ (1) hemimandibulectomia, (2) marsupialización (3) enucleación y curetaje.
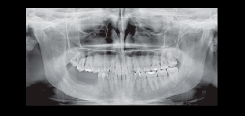
Figura 3: Imagen Inicial. OPG donde se observa la extensa lesión en rama y ángulo mandibular derecho
Figura 4: OPG de la lesión a los 11 meses (evolución muy positiva)
Referencia:
- Vargas A; Montealegre José. La marsupialización como opción de tratamiento para un tumor odontogénico queratoquístico: presentación de un caso y revisión de literatura. Revista Científica Odontológica 2015;11(2):40-50.
Autor. CD Eduardo Calle, Mg. Esp. Andrés Agurto






