
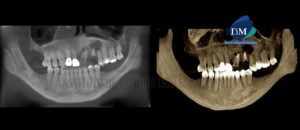
206 – Tercera molar retenida con hipercementosis radicular
Paciente masculino de 64 años acude al Instituto de Diagnóstico Maxilofacial para la evaluación imagenológica de control. A la evaluación de la radiografía panorámica se

Paciente masculino de 64 años acude al Instituto de Diagnóstico Maxilofacial para la evaluación imagenológica de control. A la evaluación de la radiografía panorámica se

Paciente masculino de 17 años acude al Instituto de Diagnostico maxilofacial para evaluación imagenológica general. A la evaluación de la radiografía panorámica, evidenciamos que las

Paciente masculino de 33 años de edad, es referido al Instituto de Diagnóstico Maxilofacial – IDM para examen tomográfico por motivos de colocación de implante

Paciente masculino de 42 años de edad es referido al Instituto de Diagnóstico Maxilofacial (IDM) para evaluación general. En la reconstrucción panorámica (Figura 1)se observa

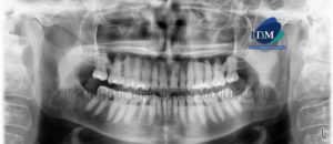
Paciente de sexo femenino de 40 años de edad acude al Instituto de Diagnóstico Maxilofacial para evaluación imagenológica de terceras molares. A la evaluación de

Paciente femenino de 34 años de edad, es referido al Instituto de Diagnóstico Maxilofacial (IDM) para evaluación tomográfica por aumento de volumen en el maxilar

Paciente de sexo masculino de 7 años de edad acude al Instituto de Diagnóstico Maxilofacial para la realización de una evaluación imagenológica pre quirúrgica. A

Paciente masculino de 26 años de edad, es referido al Instituto de Diagnóstico Maxilofacial (IDM) para evaluación de patología en zona de fondo de surco

Paciente de sexo femenino con 13 años de edad acude al instituto de Diagnóstico Maxilofacial para evaluación imagenológica debido a la ausencia clínica de piezas

Paciente femenino de 12 años de edad, es referido al Instituto de Diagnóstico Maxilofacial (IDM) para evaluación tomográfica del macizo cráneo facial con motivos de

Paciente masculino de 24 años de edad acude al Instituto de Diagnóstico Maxilofacial para evaluación imagenológica por aumento de volumen en zona anterosuperior. A la

Paciente femenino de 38 años de edad, es referido al Instituto de Diagnóstico Maxilofacial (IDM) para evaluación tomográfica por presencia de aumento de volumen en

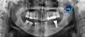
Paciente de sexo femenino de 40 años de edad acude al Instituto de Diagnóstico Maxilofacial para evaluación imagenologica de control. A la evaluación de la

Paciente masculino de 67 años de edad, es referido al Instituto de Diagnóstico Maxilofacial (IDM) para evaluación tomográfica para planificación de implantes dentales. En la

Paciente de 50 años de sexo masculino acude al Instituto de Diagnóstico Maxilofacial para evaluación imagenológica de la pieza 46. A la evaluación de la

Paciente femenino de 28 años de edad, es referido al Instituto de Diagnóstico Maxilofacial (IDM) para evaluación tomográfica por presencia alteración en la ATM del

Paciente femenino, 74 años de edad, es referido al Instituto de Diagnóstico Maxilofacial (IDM) para evaluación tomográfica por presencia de imagen radiolúcida en zona radicular

Paciente de sexo masculino de 15 años de edad acude al Instituto de Diagnóstico por Imágenes para evaluación imagenológica debido a la ausencia clínica de

Paciente sexo femenino de 55 años acude al Instituto de Diagnóstico por Imágenes para evaluación imagenológica previa a la confección de guía quirúrgica. A la

Paciente femenino de 52 años de edad, es referido al Instituto de Diagnóstico Maxilofacial (IDM) para evaluación de patología infecciosa en la región mandibular izquierda.
© Copyright 2025