Paciente masculino de 17 años acude al Instituto de Diagnostico maxilofacial para evaluación imagenológica general.
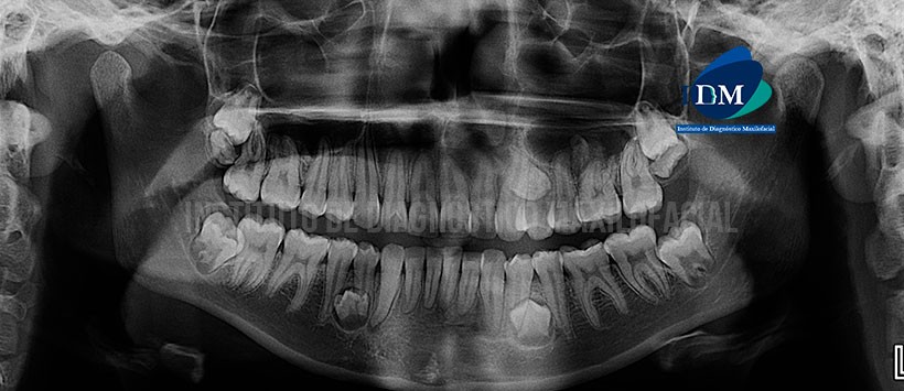
A la evaluación de la radiografía panorámica, evidenciamos que las estructuras presentan una morfología dentro de lo normal, apiñamiento dentario inferior y terceras molares en proceso de erupción. Siendo lo mas resaltante la presencia de múltiples piezas supernumerarias. (Figura 1)
A la evaluación de la tomografía volumétrica de haz cónico Se puedo evidenciar cinco piezas supernumerarias las cuales presentan las siguientes características (Figura 2 y Figura 3):
- Presencia de pieza supernumeraria orientada hacia la zona palatina, condicionando la erupción de la pieza 18
- Presencia de pieza supernumeraria retenida en posición horizontal, ubicada en zona palatina, próximo a los segmentos radiculares de las piezas 23 y 24 respectivamente
- Presencia de pieza supernumeraria en posición vertical, condicionando la erupción de la piezas 28
- Presencia de pieza supernumeraria retenida en posición vertical, próxima a la tabla ósea lingual y ubicada entre los segmentos radiculares de las piezas 34 y 35
- Presencia de pieza supernumeraria retenida en posición vertical, próxima a la tabla ósea lingual y ubicada entre los segmentos radiculares de las piezas 44 y 45
En las reconstrucciones 3D se evidencia de manera ilustrativa la presencia, ubicación y repercusión de las piezas supernumerarias previamente descritas.(Figura 4, Figura 5 y Figura 6)
Conclusión:
Cinco piezas dentarias supernumerarias retenidas.
Paráfrasis:
Se definen a los dientes supernumerarios como aquellos adicionales a la serie normal, es decir mas de 20 en dentición decidua o mas de 32 en permanente y pueden encontrarse en cualquier parte de la arcada alveolar. Pueden ser únicos o múltiples, unilaterales o bilaterales, erupcionados, impactados o retenidos, de morfología normal o alterada y afectar a un maxilar o a ambos.
Este fenómeno ha recibido diferentes denominaciones: hiperdoncia, tercera dentición, dientes postpermanentes, hiperplasia de la dentición, dientes adicionales, dientes extras, súper dentición y polidontismo. La causa de su presencia es desconocida, siendo la teoría más aceptada la que señala que corresponde a un desorden hereditario multifactorial, que conduce a una hiperactividad de la lámina dental.
Los patrones de herencia siguen los principios mendelianos, es decir pueden ser rasgos autosómicos recesivos, dominantes o ligados al sexo.
Bibliografía:
Equipo de Investigación IDM








