
Caso 362 – IDM – ESPOLÓN ÓSEO – IDM
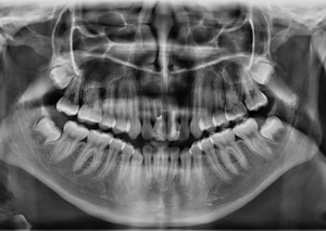
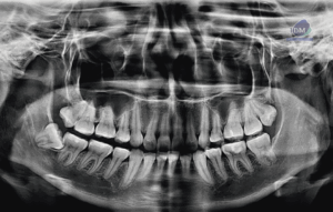
Paciente femeninos de 40 años acude a la sede IDM – Miraflores para realizarse una tomografía de campo reducido y descartar una fractura. Radiografia Panorámica

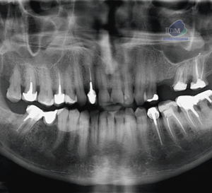
Paciente femeninos de 40 años acude a la sede IDM – Miraflores para realizarse una tomografía de campo reducido y descartar una fractura. Radiografia Panorámica

Paciente masculino de 81 años acudió al Instituto de Diagnóstico Maxilofacial (IDM) para una evaluación imagenológica general. En la radiografía panorámica (Figura 1) se identificó,

Paciente femenino de 39 años de edad, es referido al Instituto de Diagnóstico Maxilofacial – IDM para evaluación general.En la radiografía panorámica (Figura 1), se

Paciente masculino de 20 años de edad, es referido al Instituto de Diagnóstico Maxilofacial – IDM por dolor en zona mandibular.En la radiografía panorámica (Figura

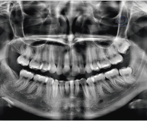
Paciente femenina acude a la sede de IDM- Miraflores para una tomografía computarizada para la evaluación de terceras molares. A la evaluación de la radiografía

Paciente femeninos de 40 años acude a la sede IDM – Miraflores para realizarse una tomografía de campo reducido y descartar una fractura. Radiografia Panorámica

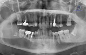
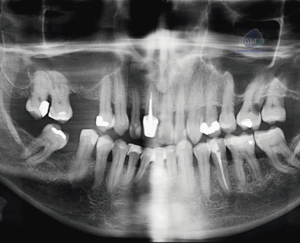
Paciente femenino de 49 años de edad acude al Instituto de Diagnóstico Maxilofacial (IDM) para evaluación imagenológica de los incisivos centrales superiores (piezas 11 y

Paciente masculino de 45 años acude para una evaluación general. A la evaluación de la radiografía panorámica (Figura 1) se observa engrosamiento de la mucosa

Paciente femenino de 48 años de edad, es referido al Instituto de Diagnóstico Maxilofacial – IDM para evaluación general.En la radiografía panorámica (Figura 1), se

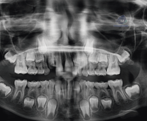
Paciente masculino de 17 años de edad, es referido al Instituto de Diagnóstico Maxilofacial – IDM para evaluación general.En la radiografía panorámica (Figura 1), se

Paciente femenina de 51 años acude al Instituto para realizarse una tomografía volumétrica para rehabilitación oral, a la evaluación de la radiografía panorámica se observa

Paciente femenino de 69 años acude al Instituto para realizar una tomografía con fines de rehabilitación oral, a la evaluación de la radiografía panorámica se

Paciente femenina de 72 años acude a IDM para realizarse una tomografía para evaluación general, al observar la radiografía panorámica se puede observar una mineralización

Paciente femenina de 60 años acude a IDM- sede Jesús María pata una tomografía con la finalidad de realizarse una rehabilitación oral. Radiografia Panorámica A

Paciente masculino de 23 años de edad, es referido al Instituto de Diagnóstico Maxilofacial – IDM para control tomográfico.En la radiografía panorámica (Figura 1), se

Paciente femenino de 87 años de edad, es referido al Instituto de Diagnóstico Maxilofacial – IDM para evaluación general.En la radiografía panorámica (Figura 1), se

Paciente femenino de 53 años acude para una evaluación general. A la evaluación de la tomografía volumétrica (cone beam) bimaxilar en los cortes axiales (Figura

Paciente femenino de 53 años, es referido al Instituto de Diagnóstico Maxilofacial – IDM (Sede Surco) para evaluación de ATM. Radiografia Panorámica En la radiografía

Paciente femenino de 53 años, es referido al Instituto de Diagnóstico Maxilofacial – IDM (Sede Surco) para evaluación general. Radiografia Panorámica En la radiografía panorámica

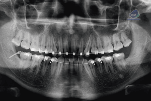
Paciente masculino de 55 años, es referido al Instituto de Diagnóstico Maxilofacial – IDM (Sede Surco) para planificación de implantes dentales. Radiografia Panorámica En la
© Copyright 2025