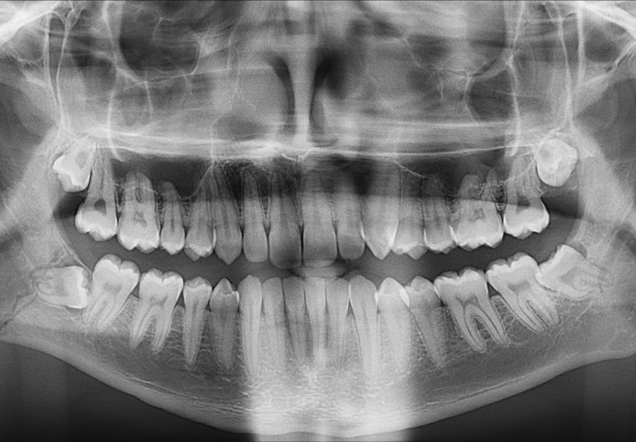
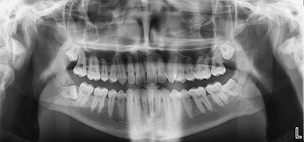
Paciente masculino de 20 años de edad, es referido al Instituto de Diagnóstico Maxilofacial – IDM por dolor en zona mandibular.
En la radiografía panorámica (Figura 1), se evidencia linea radiolucida que se extiende desde cima de reborde alveolar a nivel de zona retromolar hasta zona anterior del angulo mandibular.
Radiografia Panorámica
A la evaluación de la tomografía volumétrica (CBCT) en los cortes tangenciales (Figura 2) y transaxiales (Figura 3), se aprecia imagen línea de fractura desde cima de reborde alveolar en zona retromolar derecha hasta zona anterior del ángulo mandibular, así mismo, se observa ligera separación de segmentos óseos desde la zona apical de pieza 48 hasta la basal mandibular, comprometiendo conducto
dentario inferior
CORTES TANGENCIALES
CORTES TRANSAXIALES
En las reconstrucciones 3D se representa de manera didáctica Fractura mandibular. (Figura 4).
RECONSTRUCCIÓN 3D
Conclusión: Fractura Mandibular
Paráfrasis
El trauma maxilofacial constituye un problema de salud pública relevante debido a su impacto funcional y estético.
Estas fracturas suelen estar provocadas por agresiones, y frecuentemente se relacionan con presencia de hábitos de consumo de alcohol o tabaco, una edad más joven (bajo los 30 años), el sexo masculino y suele estar afectado más el lado izquierdo, presumiblemente debido a un golpe de un agresor diestro.
Para el diagnóstico definitivo, la Tomografía Axial Computarizada (TAC) permite identificar los rasgos de fractura, además de tener valor en la planificación quirúrgica preoperatoria, por lo tanto, es el examen imagenológico de elección
Bibliografía:
-
ESCOBAR, S.; YÁÑEZ, P.; FLORES, M. J.; DEL RÍO, M. & REBOLLEDO, V. Resolución quirúrgica de urgencia en fractura de ángulo mandibular con tercer molar desplazado. Int. J. Odontostomat., 19(3):329-334, 2025.

Dr. Cesar Castillo Rios
Especialista en radiología bucal y maxilofacial
Cirujano Dentista especialista en Radiología Bucal y Maxilofacial de la Universidad de San Martin de Porres (USMP). Actualmente miembro del Staff de Radiólogos del Instituto de Diagnostico Maxilofacial - IDM
Más información



