
Caso 365 – IDM – MESIODENT EN POSICIÓN INVERTIDA – IDM
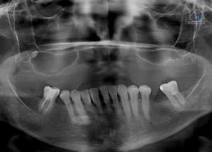
Paciente femenino de 39 años de edad, es referido al Instituto de Diagnóstico Maxilofacial – IDM para evaluación general.En la radiografía panorámica (Figura 1), se

Paciente femenino de 39 años de edad, es referido al Instituto de Diagnóstico Maxilofacial – IDM para evaluación general.En la radiografía panorámica (Figura 1), se

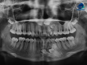
Paciente masculino de 20 años de edad, es referido al Instituto de Diagnóstico Maxilofacial – IDM por dolor en zona mandibular.En la radiografía panorámica (Figura

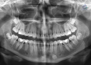
Paciente femenino de 48 años de edad, es referido al Instituto de Diagnóstico Maxilofacial – IDM para evaluación general.En la radiografía panorámica (Figura 1), se

Paciente masculino de 17 años de edad, es referido al Instituto de Diagnóstico Maxilofacial – IDM para evaluación general.En la radiografía panorámica (Figura 1), se

Paciente masculino de 23 años de edad, es referido al Instituto de Diagnóstico Maxilofacial – IDM para control tomográfico.En la radiografía panorámica (Figura 1), se

Paciente femenino de 87 años de edad, es referido al Instituto de Diagnóstico Maxilofacial – IDM para evaluación general.En la radiografía panorámica (Figura 1), se

Paciente femenino de 10 años de edad, es referido al Instituto de Diagnóstico Maxilofacial – IDM para evaluación general.En la radiografía panorámica (Figura 1), se

Paciente femenino de 39 años de edad, es referido al Instituto de Diagnóstico Maxilofacial – IDM para evaluación general.En la radiografía panorámica (Figura 1), se

Paciente masculino de 23 años de edad, es referido al Instituto de Diagnóstico Maxilofacial – IDM para control tomográfico.En la radiografía panorámica (Figura 1), se

Paciente femenino de 61 años de edad, es referido al Instituto de Diagnóstico Maxilofacial – IDM por dolor en ATM.En la reformación panorámica (Figura 1),
Paciente masculino de 55 años de edad, es referido al Instituto de Diagnóstico Maxilofacial – IDM para control tomográfico.En la radiografía panorámica (Figura 1), se

Paciente masculino de 67 años de edad, es referido al Instituto de Diagnóstico Maxilofacial – IDM para control tomográfico.En la radiografía panorámica (Figura 1), se

Paciente masculino de 22 años de edad, es referido al Instituto de Diagnóstico Maxilofacial – IDM para control tomográfico.En la radiografía panorámica (Figura 1), se

Paciente masculino de 23 años de edad, es referido al Instituto de Diagnóstico Maxilofacial – IDM para control tomográfico.En la radiografía panorámica (Figura 1), se

Paciente masculino de 13 años de edad, es referido al Instituto de Diagnóstico Maxilofacial – IDM para evaluación general. En la radiografía panorámica (Figura 1),

Paciente masculino de 15 años de edad, es referido al Instituto de Diagnóstico Maxilofacial – IDM para evaluación general. En la radiografía panorámica (Figura 1),

Paciente masculino de 08 años de edad, es referido al Instituto de Diagnóstico Maxilofacial – IDM para evaluación general. En la radiografía panorámica (Figura 1),

Paciente femenino de 43 años de edad, es referido al Instituto de Diagnóstico Maxilofacial – IDM para evaluación general. En la radiografía panorámica (Figura 1),

Paciente femenino de 43 años de edad, es referido al Instituto de Diagnóstico Maxilofacial – IDM para evaluación general. En la radiografía panorámica (Figura 1),

Paciente masculino de 37 años de edad, es referido al Instituto de Diagnóstico Maxilofacial – IDM para evaluación de zona posterior derecha. En la radiografía
© Copyright 2025