Paciente masculino de 08 años de edad, es referido al Instituto de Diagnóstico Maxilofacial – IDM para evaluación general.
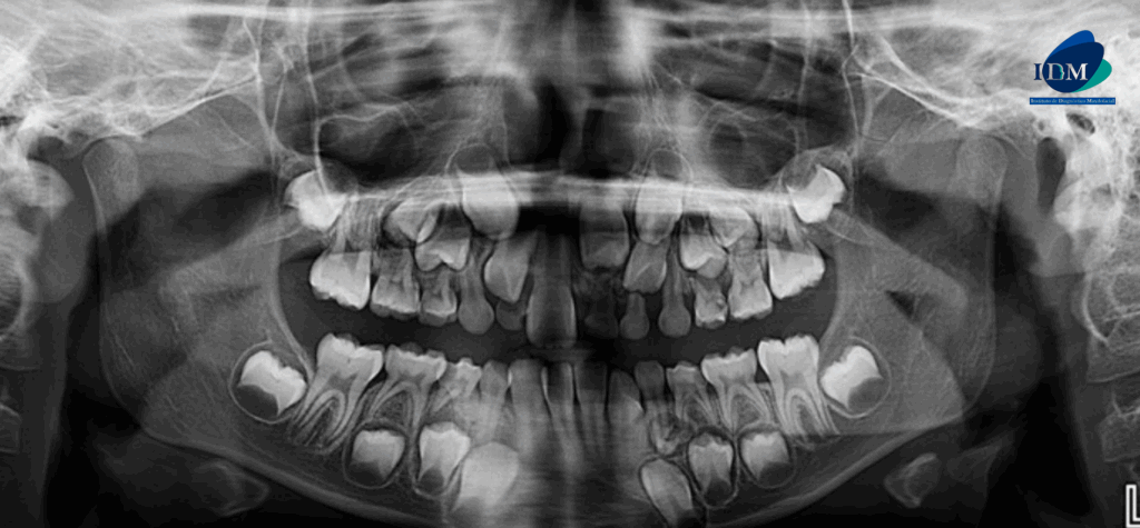
En la radiografía panorámica (Figura 1), se aprecia imagen radiopaca circunscrita con un halo radiolúcido proyectado sobre el tercio medio radicular de pieza 61 y tercio apical de pieza 73.
Radiografia Panorámica
A la evaluación de la tomografía volumétrica (CBCT) en los cortes axiales (Figura 2) y transaxiales (Figura 3), se aprecia pieza supernumeraria en posición invertida localizada hacia palatino de pieza 21, segmento coronario mesial en contacto con la cortical de conducto nasopalatino. Asimismo, se observa imágenes hiperdensas circunscrita por un halo hipodenso localizado adyacente a cima del reborde alveolar a nivel de pieza 21, que ocasiona desplazamiento de pieza 21 hacia vestibular.
En las reconstrucciones 3D se representa de manera didáctica Odontoma Compuesto y Mesiodent (Figura 4).
CORTES AXIALES
CORTES TRANSAXIALES
RECONSTRUCCIÓN 3D
Conclusión imagenológica:
- Odontoma Compuesto y Mesiodent
Paráfrasis
La Organización Mundial de la Salud (OMS) divide los odontomas en dos categorías: compuestos y complejos. Los odontomas compuestos contienen tejidos dentales organizados que se asemejan a dientes normales, mientras que los complejos presentan una disposición caótica de algunos o todos los componentes dentales.
Debido a su crecimiento lento y a la ausencia de síntomas, los odontomas suelen descubrirse incidentalmente en radiografías realizadas durante la infancia o adolescencia, especialmente en las primeras tres décadas de vida.
Los dientes supernumerarios (SN) son alteraciones en el desarrollo dental que se caracterizan por la presencia de dientes adicionales a los habituales en la cavidad bucal. Estos pueden estar relacionados o no con algún síndrome.
Los SN pueden aparecer en diversas áreas de los maxilares, siendo el tipo más frecuente el mesiodens, ubicado en la línea media del maxilar superior.
Bibliografía:
Khalifa C, Omami M, Garma M, Slim A, Sioud S, Selmi J. Compound-complex odontoma: A rare case report. Clin Case Rep. 2022 Apr 4;10(4): e05658
Romero K, Trevejo Ana, Ruiz V. Importancia de la detección de dientes supernumerarios con tomografía computada de haz cónico. Rev. Estomatol. Herediana. 2019 Abr; 29(2): 166-167.

Dr. Cesar Castillo Rios
Especialista en radiología bucal y maxilofacial
Cirujano Dentista especialista en Radiología Bucal y Maxilofacial de la Universidad de San Martin de Porres (USMP). Actualmente miembro del Staff de Radiólogos del Instituto de Diagnostico Maxilofacial - IDM
Más información



