caso 346 - radiografia panoramica 02 IDM_Rad Pan 01

Caso 365 – IDM – MESIODENT EN POSICIÓN INVERTIDA – IDM

Paciente femenino de 39 años de edad, es referido al Instituto de Diagnóstico Maxilofacial – IDM para evaluación general.
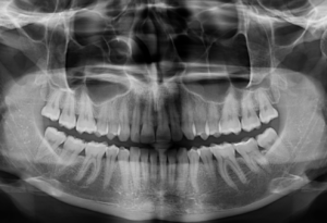
En la radiografía panorámica (Figura 1), se aprecia pieza supernumeraria invertida proyectada en zona anterior del maxilar superior.

Radiografia Panorámica

caso 346 - radiografia panoramica 01 IDM

A la evaluación de la tomografía volumétrica (CBCT) en los cortes axiales (Figura 2) y transaxiales (Figura 3), se aprecia pieza supernumeraria en posición invertida localizada a nivel de pieza 11, segmento radicular en contacto con la cortical de conducto nasopalatino, segmento coronario en contacto con el piso de fosa nasal derecha.

CORTES AXIALES

caso 346 - CORTES AXIALES IDM

CORTES TRANSAXIALES

caso 346 - CORTES TRANSAXIALES IDM

En las reconstrucciones 3D se representa de manera didáctica Mesiodent en posición invertida (Figura 4).

RECONSTRUCCIÓN 3D

caso 346 - RECONSTRUCCION 3D IDM

Conclusión:

  • Mesiodent en posición invertida

Paráfrasis
Los dientes supernumerarios son piezas dentales adicionales a la dentición normal.
Entre ellos, el mesiodens es el tipo más común, ubicado en la línea media del maxilar superior, generalmente entre los incisivos centrales. Puede presentarse de manera única, múltiple o bilateral. Aunque en muchos casos es asintomático, su presencia puede generar diversas complicaciones, como impactación de los incisivos
permanentes, retraso en la erupción, erupción ectópica, apiñamiento dental, alteraciones en la formación radicular, diastema medio, rotación de dientes adyacentes, reabsorciones radiculares o incluso formación de quistes.
Gracias al uso de la tomografía computarizada de haz cónico (CBCT) en la regiónafectada es posible evaluar con precisión la posición, morfología y estructura del diente supernumerario.

Bibliografía:

  1. Falcón-Guerrero BE, Falcón-Pasapera GS. Supernumerario invertido ubicado en el paladar duro: una historia poco conocida. Rev Peru Cienc Salud. 2024; 6(1):63-7.

  2. Pérez JS, Orejuela FJ, Quezada MM. Dientes supernumerarios tipo mesiodens evaluados a través de radiografías panorámicas digitales en un centro radiológico privado en Manizales, Colombia. Rev Estomatol Herediana. 2024; 34(3): 203-210.

IDM Dr César Castillo IDM Perú

Dr. Cesar Castillo Rios

Especialista en radiología bucal y maxilofacial
Cirujano Dentista especialista en Radiología Bucal y Maxilofacial de la Universidad de San Martin de Porres (USMP). Actualmente miembro del Staff de Radiólogos del Instituto de Diagnostico Maxilofacial - IDM

Más información

¡Inscríbete en nuestros Talleres!

MATRICÚLATE AQUÍ

Casos relacionados

Deja una respuesta

Tu dirección de correo electrónico no será publicada. Los campos obligatorios están marcados con *