Paciente masculino de 81 años acudió al Instituto de Diagnóstico Maxilofacial (IDM) para una evaluación imagenológica general.
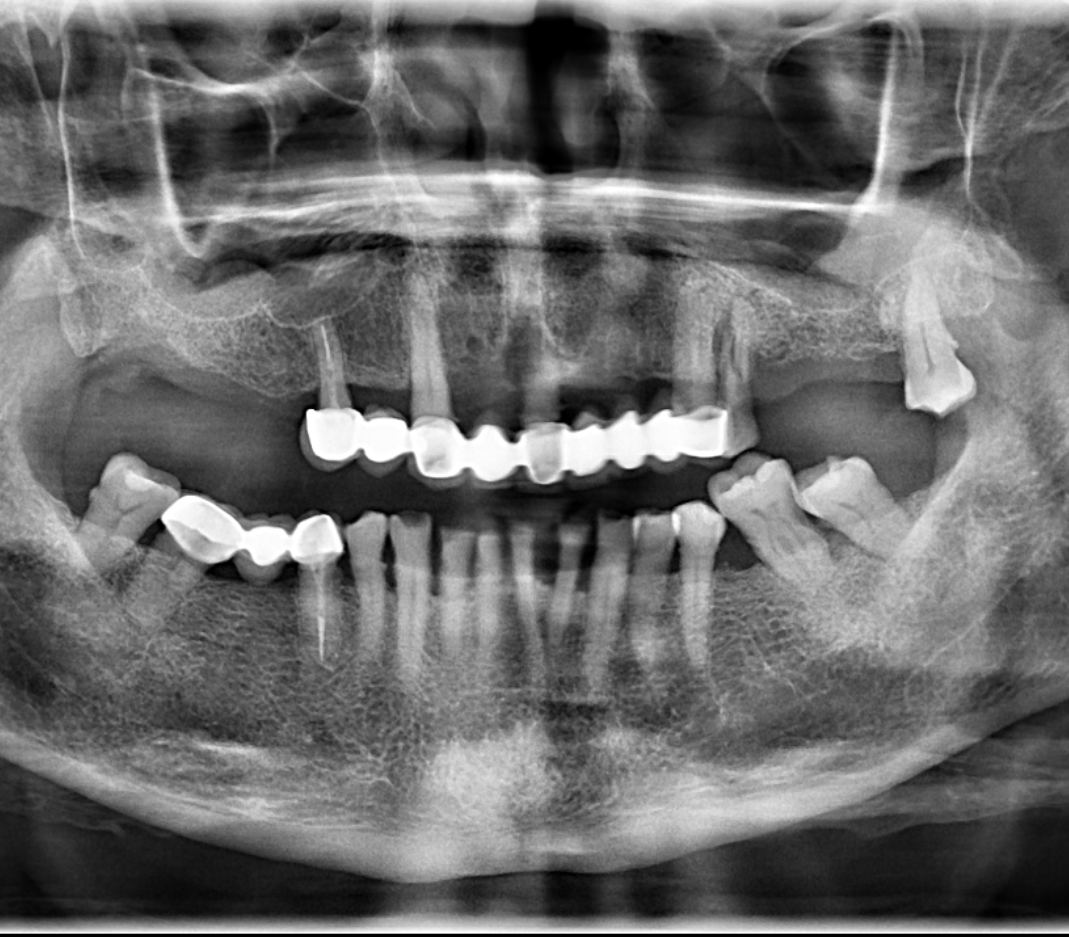
En la radiografía panorámica (Figura 1) se identificó, a nivel de la pieza 24, una línea radiolúcida de orientación diagonal, que se extendía desde la superficie cervicodistal hasta el tercio medio radicular mesial, asociada a un proceso osteolítico pararradicular adyacente. Adicionalmente, se evidenció reabsorción ósea generalizada, presencia de múltiples restauraciones coronarias y protésicas, así como atrición dental.
En la tomografía computarizada de haz cónico (CBCT) de ambos maxilares, evaluada mediante cortes axiales (Figura 2), transaxiales (Figura 3) y tangenciales (Figura 4), se observó una línea hipodensa de trayecto sinuoso que se extendía desde la superficie cervicovestibular hacia el tercio apical radicular palatino, comprometiendo el conducto radicular. Asimismo, se evidenció un proceso osteolítico perirradicular y pararradicular en el tercio medio radicular palatino, que ocasionaba adelgazamiento de la cortical de la tabla ósea.
RADIOGRAFÍA PANORÁMICA
CORTES AXIALES
CORTES TANGENCIALES
CORTES TRANSAXIALES
En la reconstrucción tridimensional (3D) se evidenció con mayor claridad el trazo de fractura radicular diagonal correspondiente a la pieza 24 (Figura 5).
RECONSTRUCCIÓN 3D
CONCLUSIÓN IMAGENOLÓGICA
- Fractura radicular complicada de pieza 24
PARAFRASIS
Desde una perspectiva imagenológica, las fracturas radiculares pueden observarse como líneas radiolúcidas en radiografías convencionales; sin embargo, su visualización está limitada por la superposición anatómica y la orientación del haz de rayos X, lo que reduce su sensibilidad diagnóstica en comparación con métodos tridimensionales (1, 2). Estudios sistemáticos han demostrado que la radiografía convencional presenta menor precisión para detectar fracturas radiculares, mientras que la tomografía computarizada de haz cónico (CBCT) ofrece mayor sensibilidad y especificidad diagnóstica al permitir la visualización del trazo de fractura en múltiples planos y reconstrucciones (1-3). En CBCT, la fractura puede aparecer como una línea hipodensa que recorre la raíz en diversos planos (axial, transaxial, sagital y reconstrucción 3D), definiéndose por la detección de una separación de los segmentos radiculares adyacentes en al menos dos secciones contiguas y en al menos dos planos tridimensionales que facilitan la identificación de la extensión del trazo y de los cambios óseos asociados, como defectos osteolíticos perirradiculares y adelgazamiento cortical (1,2) El uso de reconstrucciones volumétricas tridimensionales mejora además la comprensión espacial del trazo de fractura y la relación con las estructuras adyacentes, permitiendo un diagnóstico más certero en comparación con técnicas bidimensionales (1–3).
Bibliografía:
- Wang P, Yan XB, Lui DG, Zhang WL, Zhang Y, Ma XC. Detection of dental root fractures by using cone-beam computed tomography. Dentomaxillofac Radiol. 2011 Jul;40(5):290-8. doi: 10.1259/dmfr/84907460. URL
- Salineiro FCS, Kobayashi-Velasco S, Braga MM, Cavalcanti MGP. Radiographic diagnosis of root fractures: a systematic review, meta-analyses and sources of heterogeneity. Dentomaxillofac Radiol. 2017 Dec;46(8):20170400. doi: 10.1259/dmfr.20170400. URL
- Shokri A, Salemi F, Taherpour T, Karkehabadi H, Ramezani K, Zahedi F, Farhadian M. Is cone-beam computed tomography more accurate than periapical radiography for detection of vertical root fractures? A systematic review and meta-analysis. BMC Med Imaging. 2024 Oct 22;24(1):286. doi: 10.1186/s12880-024-01472-5. URL

Dra. Faride Milagros Cornejo Pinto
Especialista en radiología bucal y maxilofacial
Cirujano Dentista especialista en Radiología Bucal y Maxilofacial de la Universidad Peruana Cayetano Heredia. Actualmente miembro del Staff de Radiólogos del Instituto de Diagnostico Maxilofacial - IDM
Más información



