CASO 336 - RADIOGRAFIA PANORAMICA - IDM - V2

Caso 336 – IDM – QUISTE NASOPALATINO – IDM

Paciente masculino de 55 años de edad, es referido al Instituto de Diagnóstico Maxilofacial – IDM para control tomográfico.
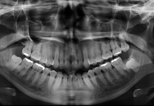
En la radiografía panorámica (Figura 1), se aprecia imagen radiolucida unilocular proyectada sobre zona anterior del maxilar superior, de limites definidos, bordes corticalizados.

Radiografia Panorámica

CASO 336 - RADIOGRAFIA PANORAMICA - IDM

A la evaluación de la tomografía volumétrica (CBCT) en los cortes axiales (Figura 2) y transaxiales (Figura 3), se evidencia imagen hipodensa localizada hacia distal del conducto nasopalatino, de limites definidos, borde parcialmente corticalizados, que se extiende en sentido mesio distal de distal de pieza 12 hasta línea media, comprometiendo cortical de conducto nasopalatino.

CORTES AXIALES

CASO 336 - CORTES AXIALES - IDM

CORTES TRANSAXIALES

CASO 336 - CORTES TRANSAXIALES - IDM

En las reconstrucciones 3D se representa Quiste Nasopalatino. (Figura 4).

RECONSTRUCCIÓN 3D

CASO 336 - RECONSTRUCCION 3D - IDM

Conclusión:

  • Quiste Nasopalatino.

Paráfrasis

El quiste del conducto nasopalatino fue descrito inicialmente por Meyer en 1914 y se considera el quiste no odontogénico más frecuente de la cavidad oral. Su origen se relaciona con restos epiteliales del ducto nasopalatino y con estructuras embrionarias que, durante el desarrollo, comunican la cavidad oral con la nasal a nivel del canal incisivo.
Este quiste se localiza dentro del conducto nasopalatino del maxilar superior. Generalmente, su diagnóstico se realiza como hallazgo radiográfico, a menos que adquiera un tamaño considerable, provocando aumento de volumen en la región vestibular del maxilar y/o en la papila palatina, con posible aparición de dolor.
Se presenta con mayor frecuencia entre la cuarta y sexta décadas de vida [8], con una ligera predilección por el sexo masculino, en una proporción de 3:1.
En estudios radiográficos, se observa como una radiolucidez bien delimitada en la línea media del paladar anterior, identificable mediante radiografía oclusal superior.
El manejo es quirúrgico, mediante curetaje local y extirpación completa del epitelio quístico. Durante el procedimiento, se sacrifican casi inevitablemente los vasos y nervios nasopalatinos, lo que puede generar una pequeña zona de parestesia en el paladar anterior.

Bibliografía:

  1. Rodriguez G, Arias A. Quiste Nasopalatino. Reporte de Caso. Medicina Legal. 2014. Vol. 31 (2).

  2. Liceaga C, Banda R, Castañeda O, Gonzales V. Quiste nasopalatino de tamaño inusual. Revisión bibliográfica y presentación de un caso. Revista ADM 2013; 70 (3): 154-158.

IDM Dr César Castillo IDM Perú

Dr. Cesar Castillo Rios

Especialista en radiología bucal y maxilofacial
Cirujano Dentista especialista en Radiología Bucal y Maxilofacial de la Universidad de San Martin de Porres (USMP). Actualmente miembro del Staff de Radiólogos del Instituto de Diagnostico Maxilofacial - IDM

Más información

Casos relacionados

Deja una respuesta

Tu dirección de correo electrónico no será publicada. Los campos obligatorios están marcados con *