Paciente masculino de 17 años de edad, es referido al Instituto de Diagnóstico Maxilofacial – IDM para evaluación general.
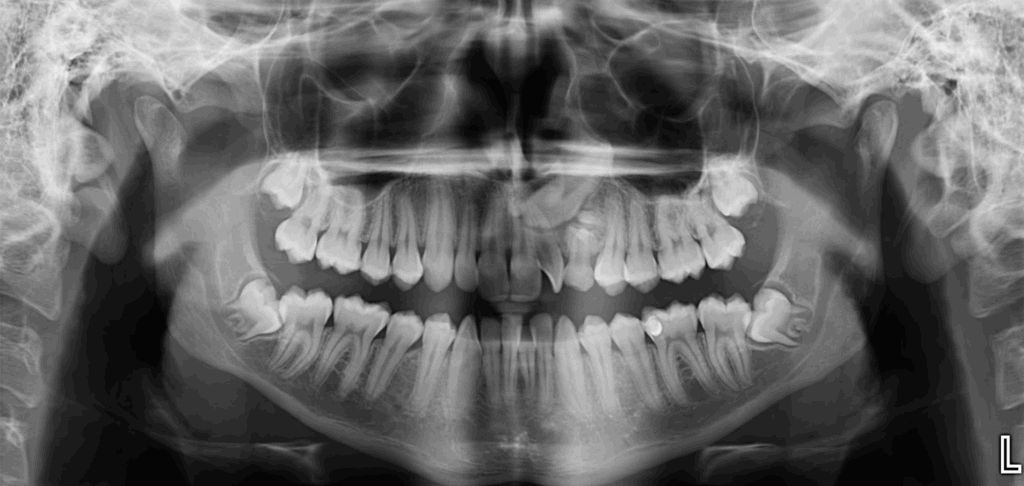
En la radiografía panorámica (Figura 1), se aprecia imagen radiopaca circunscrita con un halo radiolúcido, de limites definidos, proyectado en tercio medio y apical de pieza 53, observándose en el interior múltiples dentículos.
Radiografia Panorámica
A la evaluación de la tomografía volumétrica (CBCT) en los cortes axiales (Figura 2) y transaxiales (Figura 3), se aprecia múltiples dentículos circunscrito de un halo hipodenso, localizada en palatino del tercio apical y medio de pieza 63, que ocasiona el desplazamiento de la pieza 23 hacia cefálico y adelgazamiento de la tabla ósea palatina.
CORTES AXIALES
CORTES TRANSAXIALES
En las reconstrucciones 3D se representa de manera didáctica odontoma compuesto. (Figura 4).
RECONSTRUCCIÓN 3D
Conclusión: Odontoma Compuesto
Paráfrasis
Los odontomas son tumores odontogénicos benignos formados por tejidos dentarios, junto con epitelio odontogénico y componentes mesenquimáticos. Los odontomas compuestos aparecen con mayor frecuencia en la región anterior del maxilar, mientras que los odontomas complejos suelen localizarse en la zona posterior de la mandíbula.
En estudios radiográficos, los odontomas compuestos se observan como múltiples dentículos bien definidos, rodeados por un halo radiolúcido. En cambio, los odontomas complejos se manifiestan como una o varias masas radiopacas delimitadas igualmente
por un halo radiolúcido.
Bibliografía:
-
MARTINOVIC, G. G.; SANTORCUATO, C. B.; ALISTER, H. J. P.; PLAZA, Á. C. & RAFFO, S. J. Odontoma compuesto: Diagnóstico y tratamiento. Reporte de casos & revisión de la literatura. Int. J. Odontostomat., 11(4):425-430, 2017.
Mazur M, Di Giorgio G, Ndokaj A, Jedliński M, Corridore D, Marasca B, Salucci A, Polimeni A, Ottolenghi L, Bossù M, Guerra F. Characteristics, Diagnosis and Treatment of Compound Odontoma Associated with Impacted Teeth. Children (Basel). 2022 Oct
2;9(10):1509.

Dr. Cesar Castillo Rios
Especialista en radiología bucal y maxilofacial
Cirujano Dentista especialista en Radiología Bucal y Maxilofacial de la Universidad de San Martin de Porres (USMP). Actualmente miembro del Staff de Radiólogos del Instituto de Diagnostico Maxilofacial - IDM
Más información



