Paciente femenino de 10 años de edad, es referido al Instituto de Diagnóstico Maxilofacial – IDM para evaluación general.
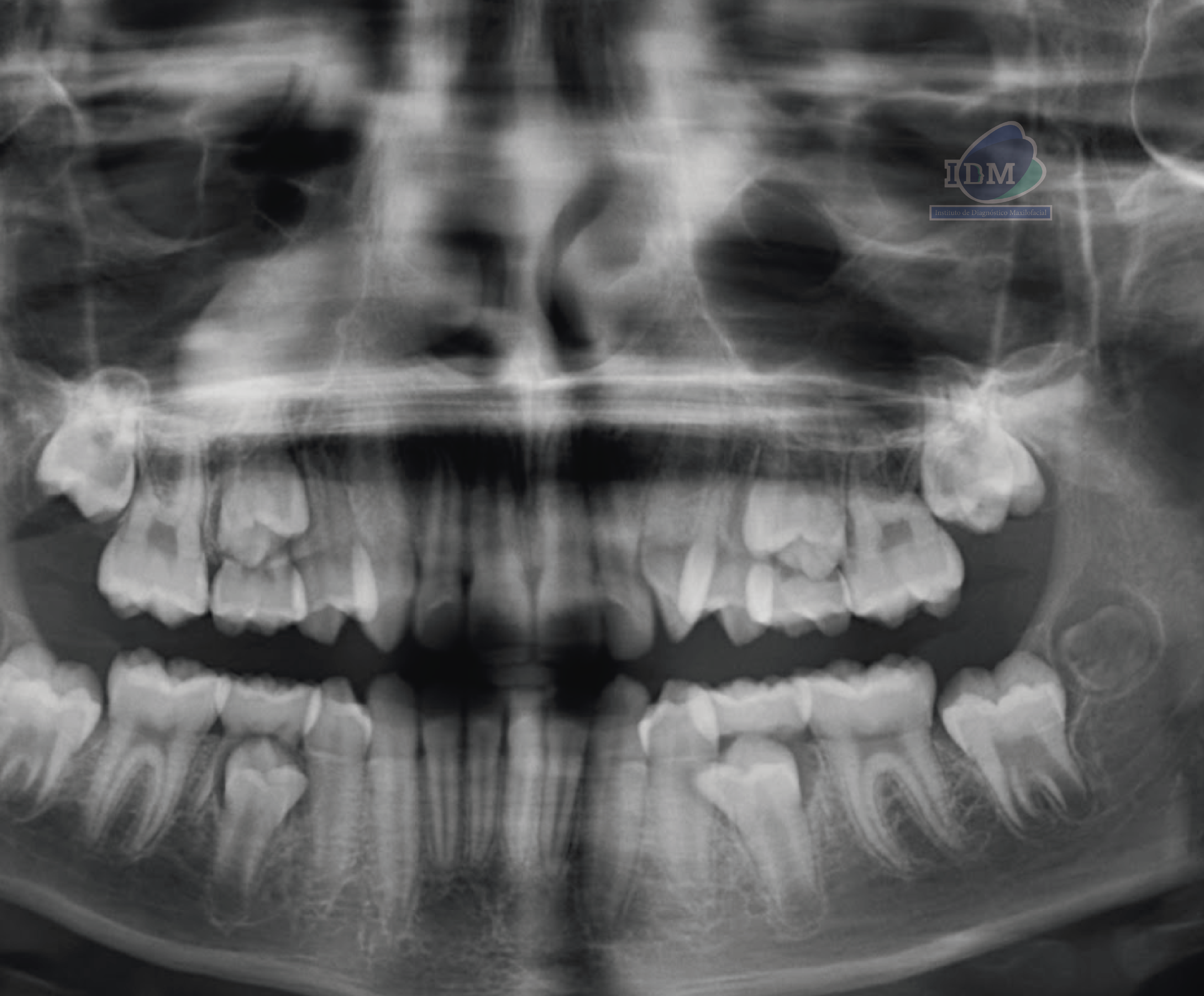
En la radiografía panorámica (Figura 1), se aprecia opacificación de seno maxilar derecho.
Radiografia Panorámica
A la evaluación de la tomografía volumétrica (CBCT) en los cortes axiales (Figura 2) y transaxiales (Figura 3), se aprecia imagen hipodensa de forma globular en el interior del cornete medio derecho e izquierdo compatible con Concha Bullosa.
CORTES AXIALES
CORTES CORONALES
En las reconstrucciones 3D se representa de manera didáctica Concha Bullosa (Figura 4).
RECONSTRUCCIÓN 3D
Conclusión:
- Concha Bullosa
Paráfrasis
Una concha bullosa (CB) es una variante anatómica caracterizada por la presencia de celdas de aire dentro de los cornetes nasales, siendo la más común la concha bullosa del cornete medio (MT). Esta neumatización del cornete medio ocurre como resultado de una variación en el desarrollo de las celdas etmoidales.
La incidencia reportada de esta variante anatómica varía entre el 13% y el 53.6%, según diferentes estudios. Por lo general, la concha bullosa es asintomática y se diagnostica de forma incidental mediante tomografía computarizada (TC).
Sin embargo, en casos de sobre neumatización, puede ocasionar síntomas clínicos como obstrucción nasal, cefalea por contacto, desviación del tabique nasal y sinusitis crónica. La concha bullosa puede presentarse de forma unilateral o bilateral.
Bibliografía:
Kalaiarasi R, Ramakrishnan V, Poyyamoli S. Anatomical Variations of the Middle Turbinate Concha Bullosa and its Relationship with Chronic Sinusitis: A Prospective Radiologic Study. Int Arch Otorhinolaryngol. 2018 Jul;22(3):297-302.
Saffon-Botero GE. Concha bullosa gigante: reporte de un caso. Acta otorrinolaringol. cir. cabeza cuello. 2019;47(4):238-240

Dr. Cesar Castillo Rios
Especialista en radiología bucal y maxilofacial
Cirujano Dentista especialista en Radiología Bucal y Maxilofacial de la Universidad de San Martin de Porres (USMP). Actualmente miembro del Staff de Radiólogos del Instituto de Diagnostico Maxilofacial - IDM
Más información



