Paciente femenino de 49 años de edad acude al Instituto de Diagnóstico Maxilofacial (IDM) para evaluación imagenológica de los incisivos centrales superiores (piezas 11 y 21).
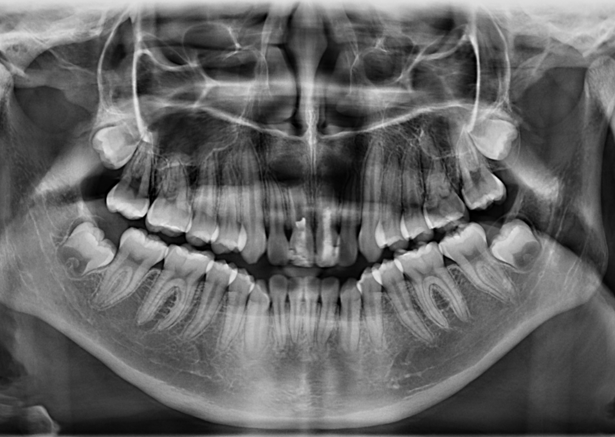
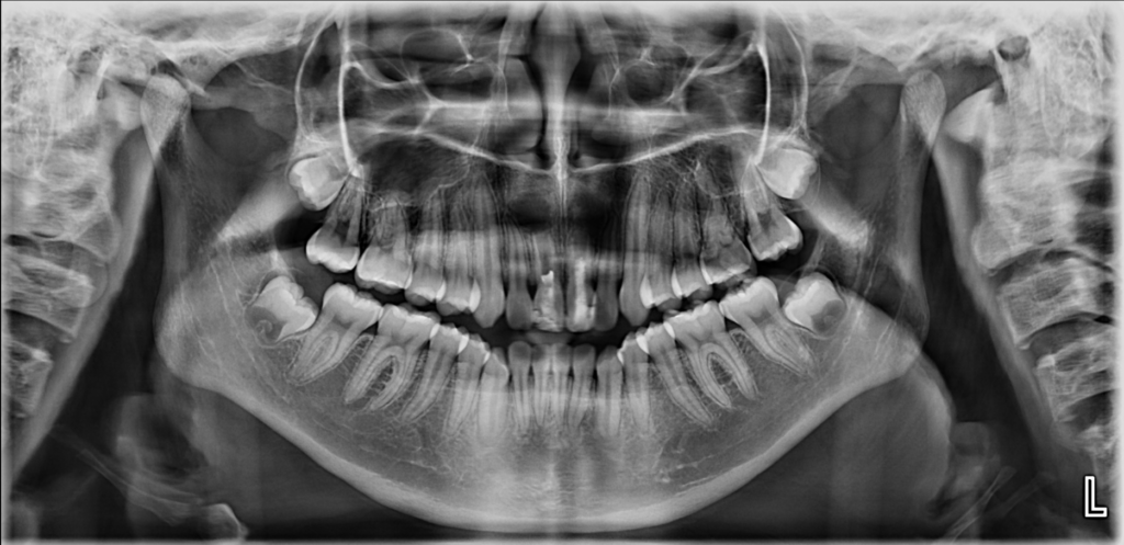
En la radiografía panorámica (Figura 1) se observan las piezas 11 y 21 con disminución de la longitud radicular, conductos radiculares amplios y ápices abiertos. Asimismo, se evidencia material restaurador coronario desadaptado, obturación endodóntica parcial y la presencia de un proceso osteolítico periapical difuso.
En la tomografía computarizada de haz cónico (CBCT) de campo reducido, evaluada en cortes axiales (Figura 2), coronales (Figura 3) y transaxiales (Figuras 4 y 5), se observa formación radicular incompleta, caracterizada por un conducto radicular amplio en los tercios medio y apical, así como un foramen apical de gran diámetro, asociado a un proceso osteolítico periapical difuso.
Adicionalmente, en la pieza 11 se identifica una imagen hipodensa de morfología tubular que se extiende desde el tercio cervical radicular hasta la superficie vestibular, provocando la pérdida de continuidad de la pared radicular, compatible con una perforación radicular iatrogénica. Se observa también pérdida de continuidad de la corona protésica, presencia de espigo-muñón y obturación
endodóntica del conducto.
RADIOGRAFÍA PANORÁMICA
CORTES AXIALES
CORTES CORONALES
CORTES TRANSAXIALES
En la reconstrucción tridimensional (3D) se evidencian forámenes apicales amplios
en las piezas 11 y 21 (Figura 6), así como la perforación localizada en la superficie
mesial de la pieza 11.
RECONSTRUCCIÓN 3D
CONCLUSIÓN IMAGENOLÓGICA
- Pseudoinfantilismo pulpar de piezas 11 y 21
- Perforación radicular iatrogénica en pieza 11
PARAFRASIS
La afectación pulpar como consecuencia de traumatismos dentoalveolares o procesos cariosos en dientes permanentes inmaduros puede conducir a la pérdida de la vitalidad pulpar y afectar directamente el desarrollo radicular. Como resultado, se producen raíces cortas, con paredes dentinarias delgadas y conductos amplios, lo que incrementa el riesgo de fractura radicular y dificulta la realización del tratamiento endodóntico convencional.
El pseudoinfantilismo pulpar se manifiesta radiográficamente por la detención del proceso de formación radicular, la presencia de una zona radiolúcida periapical y un conducto radicular amplio (2).
Por otro lado, las perforaciones radiculares de origen iatrogénico constituyen una de las complicaciones más frecuentes durante la terapia endodóntica, con una incidencia reportada que varía entre 0,6 % y 17,6 % de los procedimientos, según diversos estudios. Entre los principales factores de riesgo se incluyen la experiencia del operador y la complejidad de la morfología dental, entre otros aspectos anatómicos y técnicos (3).
Bibliografía:
- Guerrero F, Mendoza A, Ribas D, Aspiazu K. Apexification: A systematic review. J Conserv Dent. 2018 Sep-Oct;21(5):462-465. doi:
10.4103/JCD.JCD_96_18. URL - Hervoso-Candia , María Cecilia y Barzuna-Ulloa Mayid . UNA NUEVA ALTERNATIVA PARA DIENTES INMADUROS CON PULPA NECRÓTICA:
APICOFORMACIÓN USANDO HIDRÓXIDO DE CALCIO CON YODOFORMO Y UN BIOCERÁMICO. Revista Científica Odontológica. 2017;13(1):25-31 URL - Sarao SK, Berlin-Broner Y, Levin L. Occurrence and risk factors of dental root perforations: a systematic review. Int Dent J. 2020 Aug
20;71(2):96–105. doi: 10.1111/idj.12602 URL

Dra. Faride Milagros Cornejo Pinto
Especialista en radiología bucal y maxilofacial
Cirujano Dentista especialista en Radiología Bucal y Maxilofacial de la Universidad Peruana Cayetano Heredia. Actualmente miembro del Staff de Radiólogos del Instituto de Diagnostico Maxilofacial - IDM
Más información



