
Caso 286 – IDM – MESIODENS RETENIDO IDM
Paciente femenino de 43 años acude al Instituto de Diagnóstico Maxilofacial (sede Miraflores) para evaluación generalizada. A la evaluación de la radiografía panorámica se evidencia un

Paciente femenino de 43 años acude al Instituto de Diagnóstico Maxilofacial (sede Miraflores) para evaluación generalizada. A la evaluación de la radiografía panorámica se evidencia un

Paciente femenina de 32 años de edad acude al instituto de Diagnóstico maxilofacial – IDM (surco) para evaluación imagenológica de terceros molares. En la radiografía panorámica

Paciente femenina de 32 años de edad acude al instituto de Diagnóstico maxilofacial – IDM (surco) para evaluación imagenológica de terceros molares. En la radiografía panorámica

Paciente masculino de 33 años acude para una revisión general. A la evaluación de la radiografía panorámica se observa la neumatización de ambos senos maxilares, múltiples

Paciente masculino de 43 años de edad, es referido al Instituto de Diagnóstico Maxilofacial – IDM para evaluación por presentar aumento de volumen en zona posterior derecha

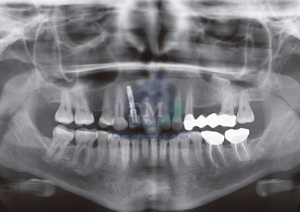
Paciente masculino de 12 años de edad es referido al Instituto de Diagnóstico maxilofacial – IDM para evaluación tomográfica de pieza 4.3, por presentarse ausente clínicamente.

Paciente masculino de 50 años de edad, es referido al Instituto de Diagnóstico Maxilofacial – IDM para evaluación por presentar dolor en zona anterior del maxilar superior.

Paciente femenino de 24 años de edad, es referido al Instituto de Diagnóstico Maxilofacial – IDM para evaluación por presentar aumento de volumen en zona posterior derecha

Paciente femenino de 50 años de edad, es referido al Instituto de Diagnóstico Maxilofacial – IDM para evaluación por presentar dolor en zona anterior del maxilar superior.

Paciente masculino de 51 años acude al Instituto de Diagnóstico Maxilofacial (sede Miraflores) para evaluación integral. Radiografia Panorámica A la evaluación de la radiografía panorámica se

Paciente femenina de 72 años es referido al Instituto de Diagnostico Maxilofacial para una evaluación por imágenes sobre su estado de salud oral general. Al

Paciente femenino de 17 años de edad, es referido al Instituto de Diagnóstico Maxilofacial – IDM para evaluación por presentar dolor en zona anteroinferior del

Paciente de sexo femenino acude para realizarle estudios imagenológicos con la finalidad de una diagnostico general. A la evaluación de la radiografía panorámica se observa paciente

Paciente femenino de 81 años acude al Instituto de Diagnóstico Maxilofacial (sede Miraflores) para evaluación de la articulación temporomandibular. Radiografia Panorámica A la evaluación de la

Paciente femenino de 05 años de edad, es referido al Instituto de Diagnóstico Maxilofacial – IDM para control tomográfico. En la radiografía panorámica (Figura 1), se

Paciente femenino de 52 años acude al Instituto de Diagnóstico Maxilofacial (sede Miraflores) para evaluación de zona anteroinferior. Radiografia Panorámica A la evaluación de la radiografía

Paciente femenino de 34 años acude al Instituto de Diagnóstico Maxilofacial (sede Miraflores) para evaluación de zona nasomaxilar de lado derecho. Radiografia Panorámica A la evaluación

Paciente femenina de 66 años, es referida al Instituto de Diagnóstico Maxilofacial – IDM (Sede Surco) para evaluación integral. En la radiografía panorámica se observan signos

Paciente masculino de 6 años, es referido al Instituto de Diagnóstico Maxilofacial – IDM (Sede Surco) para evaluación de una pieza supernumeraria extraósea. En la radiografía

Paciente masculino de 14 años, es referido al Instituto de Diagnóstico Maxilofacial – IDM (Sede Surco) para evaluación por aparente retraso de piezas dentarias inferiores. En
© Copyright 2025