
Caso 307 – IDM – CONDUCTO RADICULAR EN FORMA DE “C” IDM
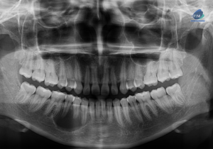
Paciente femenina de 38 años de edad acude al instituto de Diagnóstico maxilofacial – IDM (surco) para evaluación imagenológica general. En la radiografía panorámica (Figura

Paciente femenina de 38 años de edad acude al instituto de Diagnóstico maxilofacial – IDM (surco) para evaluación imagenológica general. En la radiografía panorámica (Figura

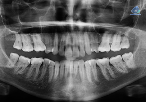
Paciente masculino de 37 años de edad acude al Instituto de Diagnóstico Maxilofacial con el motivo de consulta: descartar fractura radicular. Radiografia Panorámica A la

Paciente femenino de 13 años de edad, es referido al Instituto de Diagnóstico Maxilofacial – IDM para evaluación general. En la radiografía panorámica (Figura 1),

Paciente masculino de 16 años de edad, es referido al Instituto de Diagnóstico Maxilofacial – IDM para evaluación general. En la radiografía panorámica (Figura 1),

Paciente masculino de 58 años acude al Instituto de Diagnostico Maxilofacial para realizarse una tomografía para la colocación de implantes. Radiografia Panorámica A la evaluación

Paciente femenino de 11 años acude al Instituto de Diagnóstico Maxilofacial para realizarse un conjunto de estudios para ortodoncia. A la evaluación de la radiografía

Paciente masculino de 30 años de edad, es referido al Instituto de Diagnóstico Maxilofacial – IDM para evaluación general. En la radiografía panorámica (Figura 1),

Paciente femenino de 16 años acude al Instituto de Diagnóstico Maxilofacial (sede Miraflores) para evaluación quirúrgica. Radiografia Panorámica A la evaluación de la radiografía panorámica

Paciente femenino de 10 años de edad, es referido al Instituto de Diagnóstico Maxilofacial – IDM para evaluación general. En la radiografía panorámica (Figura 1),

Paciente femenino de 34 años acude al Instituto de Diagnóstico Maxilofacial (sede Miraflores) para evaluación generalizada. Radiografia Panorámica A la evaluación de la radiografía panorámica

Paciente femenina de 59 años de edad acude al Instituto de Diagnóstico Maxilofacial – IDM (surco) para evaluación imagenológica de piezas anterosuperiores. En la radiografía

Paciente femenina de 65 años acude al centro para una tomografía de cráneo completo para una evaluación general. A la evaluación de la radiografía panorámica

Paciente masculino de 29 años acude para una tomografía computarizada para una evaluación general. A la evaluación de la radiografía panorámica se observa la neumatización

Paciente femenina de 22 años de edad acude al instituto de Diagnóstico maxilofacial – IDM (Sede Surco) para evaluación imagenológica de terceras molares. En la

Paciente masculino de 64 años acude al centro imagenológico para una tomografía computarizada cone beam para una evaluación general. Radiografia Panorámica A la evaluación de

Paciente femenina de 13 años de edad acude al instituto de Diagnóstico maxilofacial – IDM (Sede Surco) para evaluación imagenológica por persistencia de un canino

Paciente femenino de 63 años de edad, es referido al Instituto de Diagnóstico Maxilofacial – IDM para evaluación general mediante estudio tomográfico.En la radiografía panorámica

Paciente femenino de 18 años acude al Instituto de Diagnóstico Maxilofacial (sede Miraflores) para evaluación generalizada. Radiografia Panorámica A la evaluación de la radiografía panorámica se

Paciente femenina de 56 años acude para evaluación de senos paranasales. A la evaluación de radiografía panorámica se observa aplanamiento del contorno condilar bilateral. La neumatización alveolar

Paciente masculino de 52 años, es referido al Instituto de Diagnóstico Maxilofacial –IDM (Sede Surco) para evaluación de dolor en segundo cuadrante. Radiografia Panorámica En
© Copyright 2025