Paciente femenina de 56 años acude para evaluación de senos paranasales. A la evaluación de radiografía panorámica se observa aplanamiento del contorno condilar bilateral. La neumatización alveolar de ambos senos maxilares, múltiples restauraciones coronarias, placa cervical mineralizada y reabsorción ósea moderada del proceso alveolar.
Radiografia Panorámica
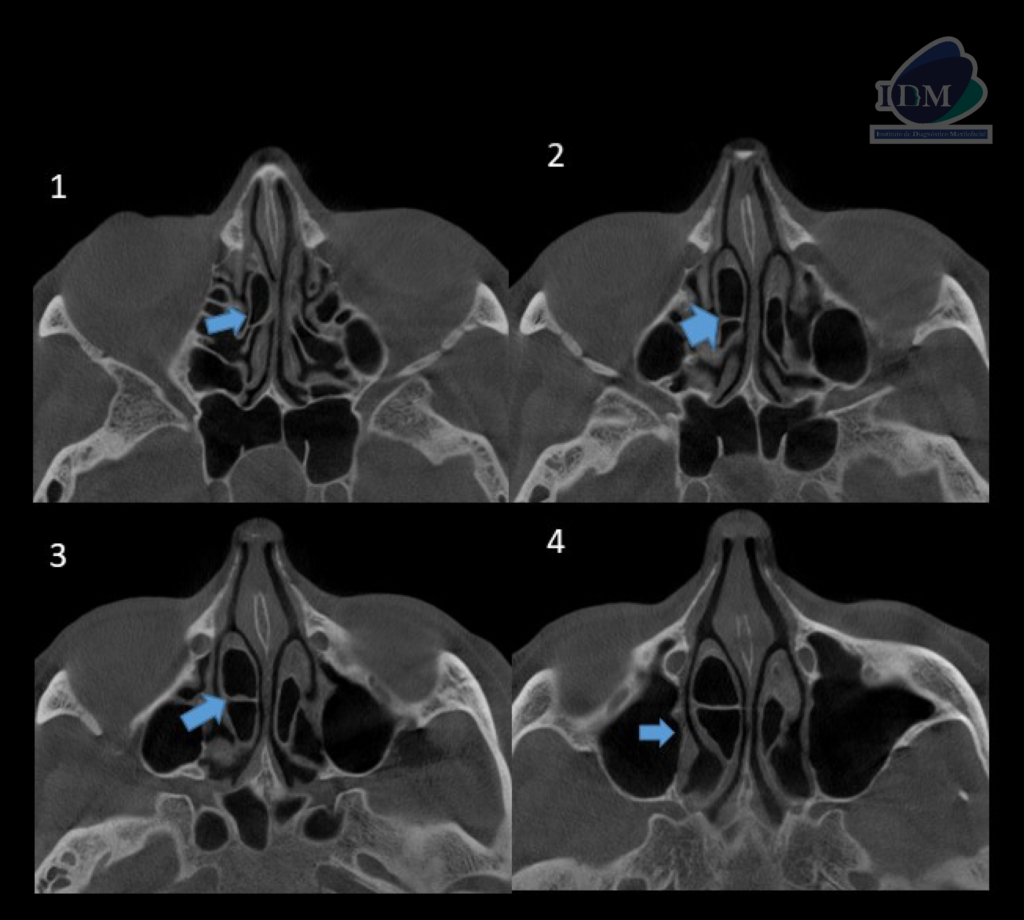
A la evaluación de la tomografía computarizada de macizo facial en los cortes axiales, coronales y sagitales se observa la neumatización de los cornetes medios a predominio del lado derecho que se presenta como una imagen hipodensa de forma irregular y limites definidos, asimismo se evidencia la presencia de un septo intrasinusal vertical a nivel de la porción media del cornete medio del lado derecho y la levodesviación del tabique nasal, signos imagenológicos compatible con concha bullosa.
CORTES AXIALES
CORTES SAGITALES
CORTES CORONALES
RECONSTRUCCIÓN 3D
Parafrisis
La concha bullosa es considerada una variante anatómica bastante frecuente, se define como la neumatización y la presencia de celdillas aéreas dentro de los cornetes nasales. Aunque la frecuencia varía en muchos estudios, se encuentra aproximadamente entre el 10% y el 50% de los pacientes y se informa con mayor frecuencia en el cornete medio y se considera rara tanto en los cornetes superior como inferior.
Existen varias teorías sobre la etiología, algunas de origen embrionario y otra de ellas denominada “ex vacua” la cual plantea que pacientes con desviación de tabique nasal preexistente tendrían una mayor ventilación o aumento del flujo de aire en el cornete del lado cóncavo que más tarde daría paso a la formación de la concha bullosa.
Los pacientes que presentan esta variante suelen ser asintomáticos y diagnosticados incidentalmente en exámenes imagenológicos. Sin embargo, puede causar síntomas en casos de que la concha bullosa sea grande evidenciando una neumatización extensa. Las características de presentación más frecuentes de concha bullosa en estos casos son síntomas relacionados con los senos paranasales, como dolores de cabeza. La congestión nasal, la rinorrea, la anosmia, la presión facial y los ronquidos son algunos síntomas observados como resultado del bloqueo de las fosas nasales, sumado a esto los hallazgos del examen físico con frecuencia muestran una masa intranasal o una desviación del tabique nasal.
El tratamiento de la concha bullosa suele indicarse en casos donde los pacientes presenten síntomas. Estos pueden variar, desde la prescripción de fármacos como vasoconstrictores y aerosoles esteroides intranasales hasta intervenciones quirúrgicas como el aplastamiento con fórceps, la fractura del cornete inferior, la escisión del borde libre del cornete inferior con tijeras anguladas, la diatermia submucosa del cornete y la turbinoplastia.
Bibliografía:
- Alkhaldi AS, Alhedaithy R, Alghonaim Y. Concha Bullosa of the Inferior Turbinate: Report of Two Cases. Cureus. 2021 Jun 6;13(6):e15479.
- Alsalamah S, Jarman Y, Alsanea M, Asiri M, Alhedaithy R. Bilateral enlarged concha bullosa: a case report and literature review. J Surg Case Rep. 2023 Sep 16;2023(9):rjad508.
- Acikalin RM, Bayram O, Haci C, Yanik HT, Ozturkcu Y, Kocak A, Insan A. Is there a relationship between middle concha bullosa and ethmoid roof asymmetry? Braz J Otorhinolaryngol. 2022 Jan-Feb;88(1):101-104.

Dra. Margarita Leando
Especialista en Radiología Oral y Maxilofacial
Cirujana dentista especialista en Radiologia Bucal y Maxilofacial de la Universidad Peruana Cayetano Heredia. Actualmente miembro del Staff de Radiólogos del Instituto de Diagnóstico Maxilofacial - IDM.
Más información



