
Caso 363 – IDM – TERCERA MOLAR CON DILACERACIÓN Y RAÍZ SUPERNUMERARIA – IDM
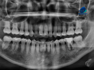
Paciente femenina acude a la sede de IDM- Miraflores para una tomografía computarizada para la evaluación de terceras molares. A la evaluación de la radiografía

Paciente femenina acude a la sede de IDM- Miraflores para una tomografía computarizada para la evaluación de terceras molares. A la evaluación de la radiografía

Paciente femeninos de 40 años acude a la sede IDM – Miraflores para realizarse una tomografía de campo reducido y descartar una fractura. Radiografia Panorámica

Paciente femenina de 51 años acude al Instituto para realizarse una tomografía volumétrica para rehabilitación oral, a la evaluación de la radiografía panorámica se observa

Paciente femenino de 69 años acude al Instituto para realizar una tomografía con fines de rehabilitación oral, a la evaluación de la radiografía panorámica se

Paciente femenina de 72 años acude a IDM para realizarse una tomografía para evaluación general, al observar la radiografía panorámica se puede observar una mineralización

Paciente femenina de 60 años acude a IDM- sede Jesús María pata una tomografía con la finalidad de realizarse una rehabilitación oral. Radiografia Panorámica A

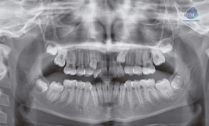
Paciente masculino de 25 años de edad acude al Instituto para una tomografía de macizo facial para la colocación de ortodoncia, a la evaluación de

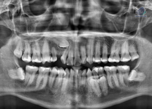
Paciente femenina acude a IDM- Sede Miraflores para evaluar la extracción de terceras molares. Radiografia Panorámica A la evaluación de la radiografía panorámica se observa

Paciente femenino de 27 años acude a IDM- Sede Jesús María con motivo de consulta para control de ortodoncia y a la evaluación de la

Paciente masculino de 70 años de edad acude a IDM- Sede Miraflores para realizarse una tomografía por un dolor leve que sentía en el primer
Paciente masculino de 50 años acude al Instituto de Diagnóstico Maxilofacial para una tomografía de campo mediano (10mm x 10mm) para evaluación general de la

Paciente masculino de 09 años de edad acude al Instituto de Diagnóstico Maxilofacial para una tomografía de campo mediano (10 x 10mm) con el motivo

Paciente femenina de 20 años acude al centro para una evaluación imagenológica de ATM, a la evaluación de la radiografía panorámica se observa el aplanamiento

Paciente masculino de 70 años acude con motivo de consulta “evaluación general de la cavidad oral”, se procede a la observación y evaluación de la

Paciente feminino acude a IDM para una tomografía computarizada para un diagnostico general. Radiografia Panorámica A la evaluación de la radiografía panorámica se observa neumatización

Paciente masculino de edad acude a IDM para realizarse un estudio imagenológico para un diagnóstico en general. A la evaluación de la radiografía panorámica se

Paciente femenina de 40 años acude a IDM – Sede Jesús María para realizarse una tomografía computarizada de haz cónico de campo reducido y descartar

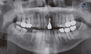
PACIENTE FEMENINO de 81 años acude al Instituto de Diagnóstico Maxilofacial PARA UNA TOMOGRAFÍA para colocación de implantes. A la evaluación de la radiografía panorámica

Paciente femenino de 58 años acude al Instituto de Diagnostico Maxilofacial para realizarse una tomografía para la colocación de implante dentales. A la evaluación de

Paciente masculino de 22 años acude al Instituto de Dianóstico Maxilofacial para realizarse una tomografía macizofacial para la colocación de ortodoncia. A la evaluación de
© Copyright 2025