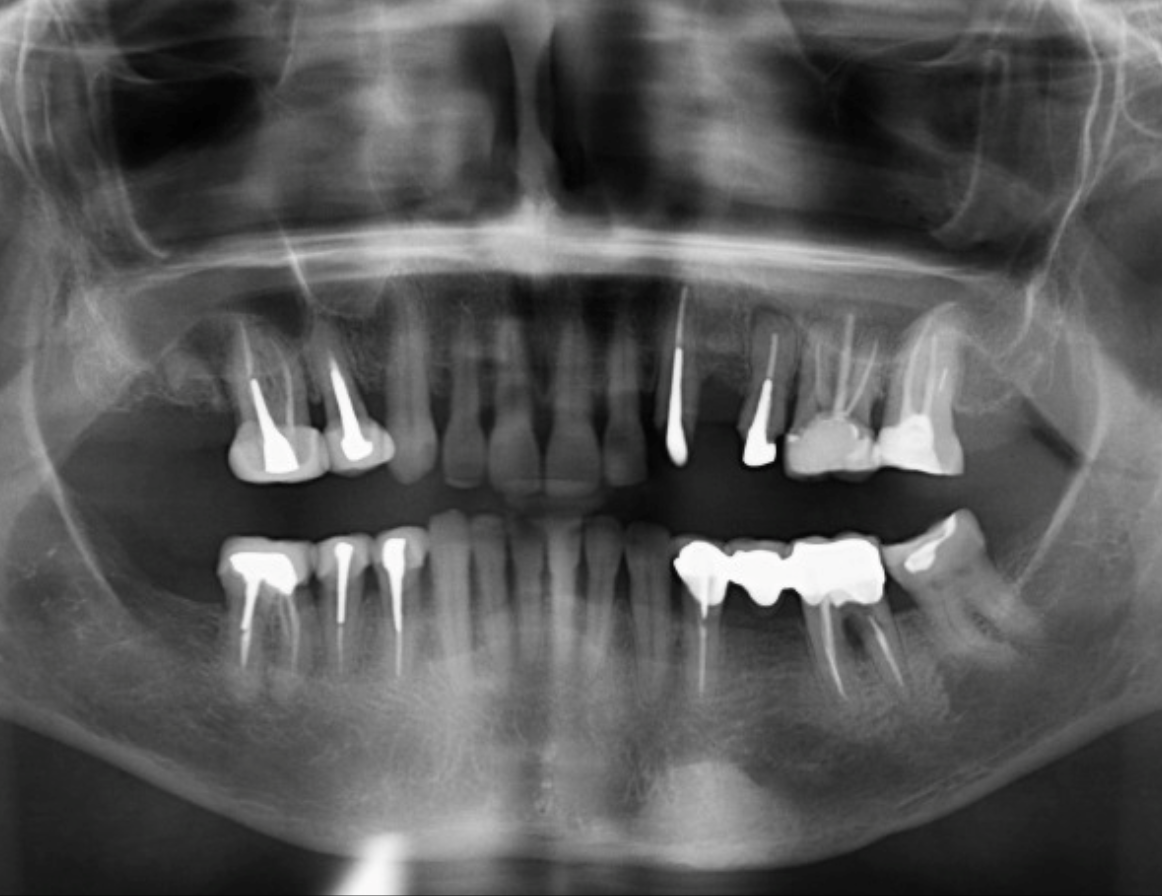
Paciente femenino de 69 años acude al Instituto para realizar una tomografía con fines de rehabilitación oral, a la evaluación de la radiografía panorámica se observa aplanamiento de ambos cóndilos mandibulares, neumatización de ambos senos maxilares, asimismo se observa la presencia de una imagen radiopaca de densidad ósea, de forma ovalada que se proyecta en cuerpo
mandibular del lado izquierdo y sobre el reborde basal. También se puede observar el edentulismo parcial de la paciente, remanente radicular de la pieza 17, múltiples piezas dentarias con corona, espigo y obturación de conductos, la pieza 25 además presenta proceso osteolítico periapical y la pieza 46 presenta proceso osteolítico interradicular y osteítis condensante circundante.
Radiografia Panorámica
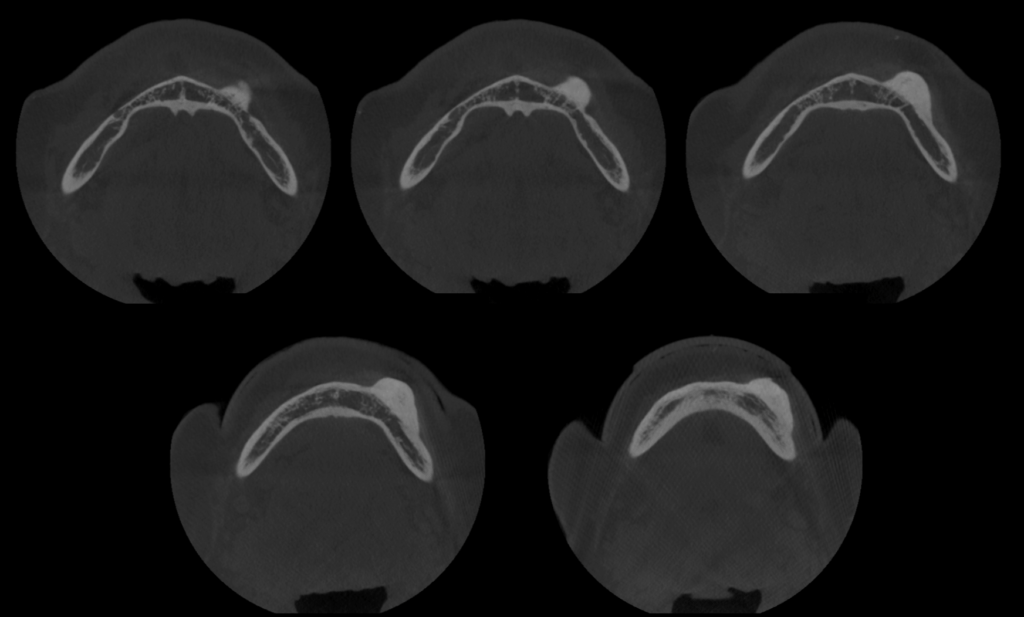
A la evaluación de la tomografía volumétrica de campo 10 x 10 se observa la presencia de la misma imagen hiperdensa a nivel mandibular del lado izquierdo y por vestibular de limites definidos y base pediculada a la altura de las piezas 33 y 34 y muy cerca al conducto dentario inferior compatible con osteoma mandibular.
CORTES AXIALES
CORTES SAGITALES
RECONSTRUCCIÓN 3D
PARÁFRISIS
Los osteomas mandibulares son tumores óseos benignos, de crecimiento lento y habitualmente asintomáticos. Pueden presentarse en cuerpo o rama mandibular como masas radiopacas bien definidas adheridas a la cortical. El primer artículo describe un caso hallado incidentalmente y manejado solo con observación.
El segundo reporta un osteoma en rama mandibular con crecimiento aproximado de 2 mm/año durante diez años. En ambos casos, la tomografía permitió caracterizar su densidad compacta y su origen periostal. Los autores coinciden en que la resección se reserva para síntomas, deformidad estética o crecimiento significativo.
Bibliografía:
- Ragupathy K, Priya S, Premkumar P, Karthikeyan M. Peripheral osteoma of the body of mandible: a case report. J Clin Diagn Res.
2014;8(12):ZD16-ZD17. - Tilaveridis I, Karakostas P, Tilaveridis V, Tilaveridis S. Ten-year developmental-evolution of a solitary osteoma of the mandibular ramus: report of a case and short review. J Clin Imaging Sci. 2022;12:16.

Dra. Margarita Leando
Especialista en Radiología Oral y Maxilofacial
Cirujana dentista especialista en Radiologia Bucal y Maxilofacial de la Universidad Peruana Cayetano Heredia. Actualmente miembro del Staff de Radiólogos del Instituto de Diagnóstico Maxilofacial - IDM.
Más información



