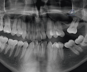
Paciente masculino de 25 años de edad acude al Instituto para una tomografía de macizo facial para la colocación de ortodoncia, a la evaluación de la radiografía panorámica se observa la neumatización de ambos senos
maxilares, atrición de piezas dentarias anterosuperiores y anteroinferiores, múltiples restauraciones coronarias, la retención de las piezas dentarias 38 y 48, ambas en relación con el borde anterior de la rama mandibular. Además, llama la atención una imagen radiopaca de forma redondeada proyectada sobre la porción radicular de la pieza 17.
Radiografia Panorámica
A la evaluación de la tomografía computarizada (en cortes axiales y transaxiales) se puede observar la presencia de una pieza supernumeraria de tamaño reducido (microdiente)localizada por lingual de la pieza 18 y que al evaluar los cortes tangenciales se aprecia una discreta dilaceración hacia distal.
CORTES AXIALES
CORTES TRANSAXIALES
RECONSTRUCCIÓN 3D
PARÁFRISIS
Los microdientes supernumerarios son una anomalía poco frecuente, generalmente aparecen en el área de los terceros molares, y en algunos casos se asocian a alteraciones eruptivas, apiñamiento o impactación dentaria.
Aunque muchos son asintomáticos y se detectan de manera incidental en estudios radiográficos, otros pueden interferir en la erupción normal o complicar procedimientos quirúrgicos. El diagnóstico preciso requiere radiografías panorámicas o, idealmente, tomografía computarizada de haz cónico (CBCT), que permite evaluar posición tridimensional y relación con estructuras vecinas.
Su manejo depende de la repercusión clínica: pueden observarse si no generan problemas, o ser extraídos cuando comprometen la erupción, o representan riesgo de patología asociada. Reconocer esta variante es clave para la planificación odontológica y quirúrgica.
Bibliografía:
- Rajab LD, Hamdan MAM. Supernumerary teeth: review of the literature and a survey of 152 cases. Int J Paediatr Dent. 2002;12(4):244-254.
- Garvey MT, Barry HJ, Blake M. Supernumerary teeth—An overview of classification, diagnosis and management. J Can Dent Assoc. 1999;65(11):612-616. 1977;15(1):55-63.

Dra. Margarita Leando
Especialista en Radiología Oral y Maxilofacial
Cirujana dentista especialista en Radiologia Bucal y Maxilofacial de la Universidad Peruana Cayetano Heredia. Actualmente miembro del Staff de Radiólogos del Instituto de Diagnóstico Maxilofacial - IDM.
Más información



