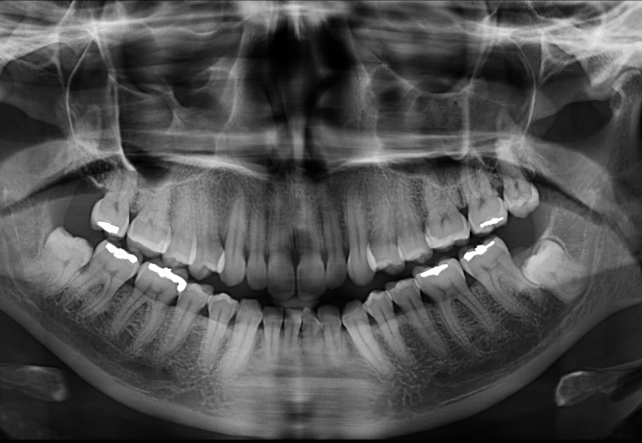
Paciente femenina acude a la sede de IDM- Miraflores para una tomografía computarizada para la evaluación de terceras molares. A la evaluación de la radiografía panorámica se observa aplanamiento del contorno condilar bilateral a predominio del lado derecho,
neumatización de ambos senos maxilares, múltiples restauraciones coronarias, ausencia de la pieza 18 y la impactación de la pieza 38 que a su vez presenta dilaceración de la raíz mesial e hipercementosis.
Radiografia Panorámica
A la evaluación de la tomografía computarizada del motivo de consulta que fue la pieza 48 se observa impactada contra la superficie cervicodistal de la pieza 47, asimismo se observa la presencia de una raíz supernumeraria por vestibular y por mesial (paramolaris), la
hipercementosis de los tres segmentos, así como la dilaceración de los mismos a predominio de la raíz supernumeraria. Finalmente, el conducto dentario inferior recorre por lingual de la raíz distal y por el medio de ambas raíces mesiales, contactando con los ápices.
CORTES AXIALES
CORTES TRANSAXIALES
CORTES TANGENCIALES
RECONSTRUCCIÓN 3D
PARAFRISIS
Las variaciones morfológicas radiculares como la dilaceración, la hipercementosis y la presencia de raíces supernumerarias son hallazgos relativamente frecuentes en terceras molares y pueden pasar inadvertidos en radiografías bidimensionales debido a la superposición anatómica y a la distorsión geométrica. La tomografía CBCT permite una evaluación tridimensional precisa de la forma, número, curvatura y volumen radicular, así como de su relación con estructuras anatómicas críticas como el conducto dentario inferior y el seno maxilar. La identificación exacta de dilaceraciones severas y raíces accesorias resulta clave para planificar exodoncias quirúrgicas, prevenir fracturas radiculares y reducir el riesgo de lesiones neurosensoriales. Asimismo, la CBCT facilita el diagnóstico de hipercementosis al diferenciarla de otras alteraciones como anquilosis o cementoblastoma. En conjunto, la CBCT se consolida como una herramienta fundamental para el diagnóstico, planificación quirúrgica y manejo seguro de terceras molares con anatomía radicular compleja.
Bibliografía:
- Scarfe WC, Levin MD, Gane D, Farman AG. Use of cone beam computed tomography in endodontics. Int J Dent. 2009;2009:634567.
- Patel S, Horner K. The use of cone beam computed tomography in dentistry. Br Dent J. 2009;207(8):369–375.

Dra. Margarita Leando
Especialista en Radiología Oral y Maxilofacial
Cirujana dentista especialista en Radiologia Bucal y Maxilofacial de la Universidad Peruana Cayetano Heredia. Actualmente miembro del Staff de Radiólogos del Instituto de Diagnóstico Maxilofacial - IDM.
Más información



