Paciente femeninos de 40 años acude a la sede IDM – Miraflores para realizarse una tomografía de campo reducido y descartar una fractura.
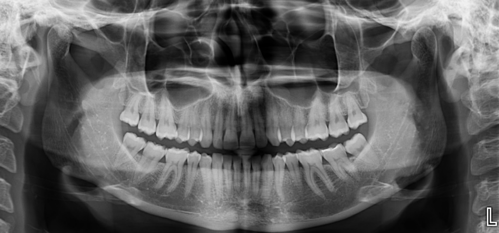
Radiografia Panorámica
A la evaluación de la radiografía panorámica se observa la neumatización de ambos senos maxilares, presencia de placa cervical mineralizada, pérdida de estructura coronaria incisal en piezas anterosuperiores y anteroinferiores y la restauración oclusal de la pieza 37.
A la evaluación de la tomografía de campo reducido de 0.75mm de la pieza 37 que además del material hiperdenso oclusal que presenta, se observa una trazo hipodenso bastante tenue de forma vertical por distal que se extiende desde la cara oclusal hasta la unión amelocementaria (vista en cortes axiales y transaxiales) compatible con fractura coronaria. Dicho hallazgo fue posible gracias al manejo de las herramientas del software para poder resaltar la línea hipodensa.
CORTES AXIALES
CORTES TRANSAXIALES
RECONSTRUCCIÓN 3D
PARAFRISIS
Las fracturas dentarias difíciles de identificar, como las fracturas coronales incompletas, radiculares iniciales o fracturas verticales, representan un desafío diagnóstico debido a la superposición anatómica, la orientación del trazo y las limitaciones inherentes de la radiografía bidimensional. En estos casos, los signos clínicos suelen ser inespecíficos y las imágenes periapicales o panorámicas pueden resultar normales o ambiguas. La tomografía CBCT permite una evaluación tridimensional del diente y los tejidos adyacentes, facilitando la visualización del trazo de fractura, su extensión real y su relación con el ligamento periodontal y el hueso alveolar.
Además, posibilita identificar hallazgos indirectos como ensanchamiento localizado del espacio periodontal, defectos óseos en “J” o áreas de reabsorción asociadas. Esta información es crucial para diferenciar fracturas verdaderas de patologías endodónticas o periodontales, mejorar la precisión diagnóstica y evitar tratamientos innecesarios. En consecuencia, la CBCT se considera una herramienta clave en la toma de decisiones clínicas en fracturas dentarias ocultas o de diagnóstico incierto.
Bibliografía:
- Patel S, Durack C, Abella F, Roig M, Shemesh H, Lambrechts P, et al. Cone beam computed tomography in Endodontics – a review. Int Endod J. 2015;48(1):3–15.
- Cohenca N, Simon JH, Roges R, Morag Y, Malfaz JM. Clinical indications for digital imaging in dento-alveolar trauma. Part 2: root fractures. Dent Traumatol. 2007;23(2):105–113.

Dra. Margarita Leando
Especialista en Radiología Oral y Maxilofacial
Cirujana dentista especialista en Radiologia Bucal y Maxilofacial de la Universidad Peruana Cayetano Heredia. Actualmente miembro del Staff de Radiólogos del Instituto de Diagnóstico Maxilofacial - IDM.
Más información



