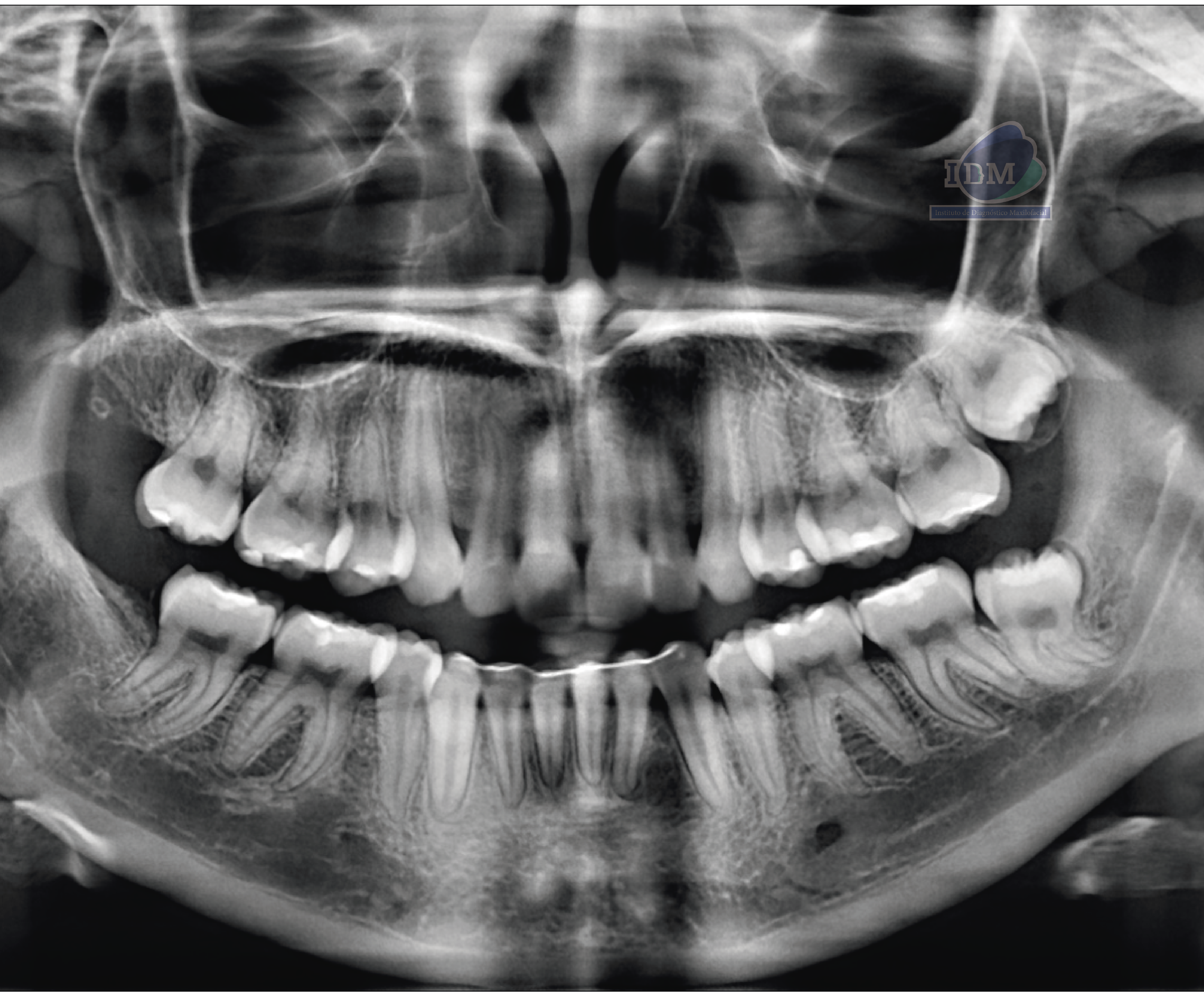
Paciente femenino de 27 años acude a IDM- Sede Jesús María con motivo de consulta para control de ortodoncia y a la evaluación de la radiografía panorámica se observa neumatización de ambos senos maxilares, múltiples restauraciones coronarias, dispositivo de ferulización anteroinferior, la ausencia de las piezas 18 y 48, la retención de la pieza 28 y de la pieza 48 que a su vez presenta una raíz supernumeraria y dilaceración hacia distal.
Radiografia Panorámica
A la evaluación de la tomografía de cráneo completo se encontró un hallazgo imagenológico en el cuarto cuadrante, se observó la bifurcación del conducto dentario inferior que iba desde su entrada por el agujero mandibular y se orienta caudal al conducto dentario principal para volver a unirse con el mismo a nivel apical de la primera molar.
CORTES TANGENCIALES
CORTES CORONALES
RECONSTRUCCIÓN 3D
CONCLUSIÓN
Bifurcación del conducto dentario inferior unilateral.
PARÁFRISIS
El CDI comienza en el foramen mandibular en la superficie medial de la rama mandibular ascendente. Discurre oblicuamente hacia abajo y adelante en la rama, y luego horizontalmente hacia adelante en el cuerpo mandibular hasta el foramen mentoniano. Lleva el paquete neurovascular alveolar inferior. Esta variante anatómica que se observa como una división del nervio en dos ramas, cada una en su propio canal, puede presentarse de diferentes formas, uni o bilateralmente. Se ha mencionado que, desde una perspectiva embriológica, podría haber tres nervios dentarios inferiores que inervan tres grupos de dientes mandibulares y durante el desarrollo embrionario, un rápido crecimiento y remodelación prenatal en la región de la rama conduce a la osificación intramembranosa que forma el CDI. Por lo tanto, una teoría de cómo se forma el CDI bífido o trífido sería por la fusión incompleta de estos tres nervios.
La presencia de esta variante anatómica ha ido en aumento, es por eso y por su importancia durante cualquiera cirugía o tratamiento de conducto que sea estudiada con detalle, ante cualquier hemorragia o sintomatología inexplicable se debe sospechar de una bifuración.
Bibliografía:
- Juodzbalys G, Wang HL, Sabalys G. Anatomy of mandibular vital structures. Part I: mandibular canal and inferior alveolar neurovascular bundle in relation with dental implantology. J Oral Maxillofac Res. 2010 Apr 1;1(1):e2.
- Víctor V, Daniel P, Yolanda G, Luis D, Carola G. Bifurcación del conducto del nervio dentario inferior, prevalencia evaluada en tomografía computarizada Cone Beam. Anu. Soc. Radiol. Oral Máxilo Facial de Chile. 2021; 24: 12 – 18.

Dra. Margarita Leando
Especialista en Radiología Oral y Maxilofacial
Cirujana dentista especialista en Radiologia Bucal y Maxilofacial de la Universidad Peruana Cayetano Heredia. Actualmente miembro del Staff de Radiólogos del Instituto de Diagnóstico Maxilofacial - IDM.
Más información



