Paciente masculino de 58 años acude al Instituto de Diagnostico Maxilofacial para realizarse una tomografía para la colocación de implantes.
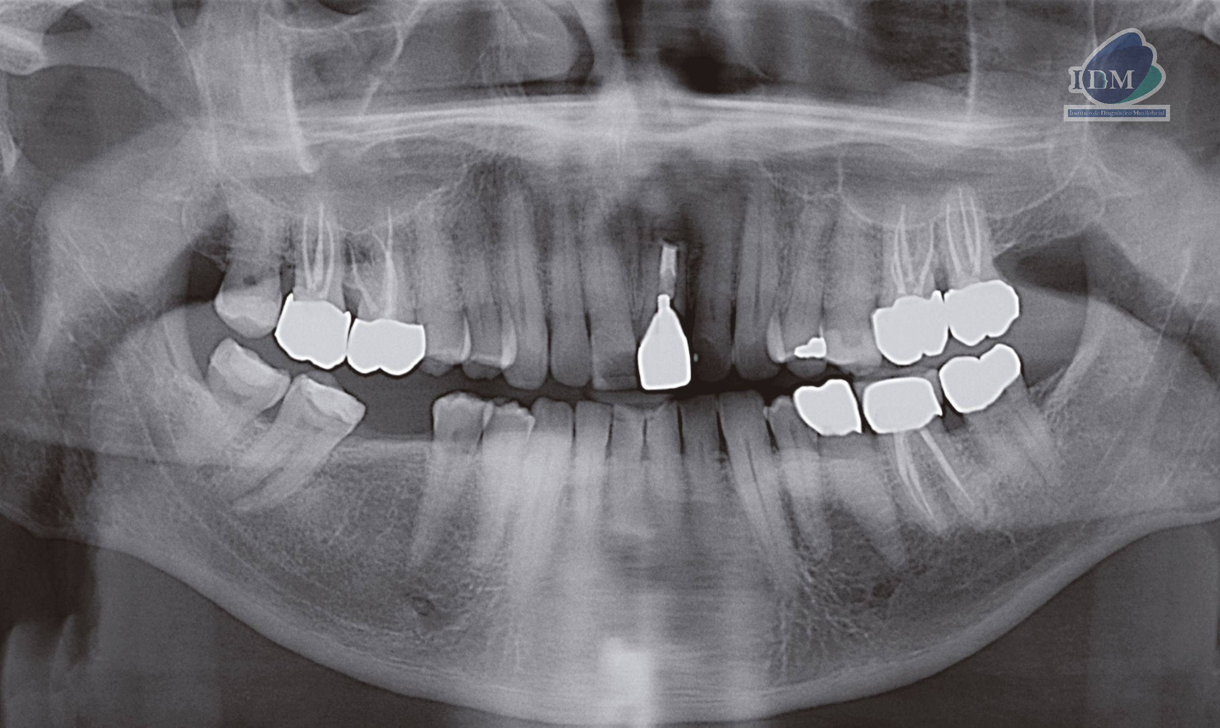
Radiografia Panorámica
A la evaluación de la radiografía panorámica se puede observar el aplanamiento del contorno condilar del lado izquierdo, la neumatización de ambos senos maxilares, así como la opacificación del seno maxilar del lado derecho y la presencia de un quiste de retención mucoso en piso de seno maxilar del lado izquierdo. Además, se observa piezas dentarias que presentan coronas protésica y obturación de conductos, múltiples restauraciones coronarias y la pieza 21 con corona protésica, obturación de conducto con una imagen radiolúcida periapical compatible con secuela quirúrgica.
A la evaluación de la tomografía computarizada bimaxilar se observó además de los mencionado, la presencia de imágenes hiperdensas de densidad dentaria de forma irregular ubicadas por lingual, en estrecha relación con la tabla ósea y a nivel de las piezas 34-35 y 44-45 compatibles con torus mandibular.
CORTES AXIALES
CORTES CORONALES
CORTES TRANSAXIALES
RECONSTRUCCIÓN 3D
Parafrisis
Al igual que las exostosis y osteomas, los torus son considerados como lesiones tumorales benignas, aunque no son neoplasias verdaderas. Son excrecencias no neoplásicas de hueso cortical denso, comúnmente localizados en dos puntos específicos: línea media del paladar o región canino/premolar en la superficie lingual mandibular. El término torus tiene su origen en el latín, el cual significa tumor o protuberancia circular y pueden ocasionar problemas en el proceso de la rehabilitación prótesica.
Se desarrollan al principio de la etapa adulta y están relacionados a bruxismo, masticación o factores genéticos. El tamaño de los torus varía con el tiempo y son de crecimiento lento.
Si la rehabilitación oral va a requerir la confección de prótesis removibles dento-muco soportadas, la revisión de los tejidos orales es de suma importancia. Se deben aliviar este tipo de irregularidades provocadas por tejido óseo.
Existen varias clasificaciones según la ubicación y la forma, las más conocidas son:
- Torus planos: torus mandibular de forma plana y simétrica.
- Torus lobulillar: masas pedunculadas o sésil.
- Torus nodular: múltiples protuberancias que pueden llegar a unirse.
- Torus en forma de huso: bilateral en caso de los torus mandibulares.
También se clasifican según su ubicación: Unilateral único, unilateral múltiple, bilateral único, bilateral múltiple.
No requiere tratamiento a menos que sean de gran tamaño, alteren la función en el uso de prótesis (sellado posterior, asentamiento y estabilidad), produzcan trauma de la superficie como la ulceración, interfieran en la fisiología de la fonación, la masticación, dicción, deglución o en la posición normal de la lengua. El tratamiento indicado sería la eliminación quirúrgica, mediante su tallado o remoción cortándose desde la base de la unión.
Bibliografía:
- fuentes fr, Borie ee, Parra vp, Rebolledo k. Torus palatino y torus mandibular. Int J Odontostomat. 2009; 3(2):113-117.
- Díaz R. Torus mandibular bilateral, eliminación quirúrgica para prótesis parcial removible. Revista Científica Odontológica. 2010;6(1):38–41.

Dra. Margarita Leando
Especialista en Radiología Oral y Maxilofacial
Cirujana dentista especialista en Radiologia Bucal y Maxilofacial de la Universidad Peruana Cayetano Heredia. Actualmente miembro del Staff de Radiólogos del Instituto de Diagnóstico Maxilofacial - IDM.
Más información



