
Caso 327 – IDM – OSTEÍTIS CONDENSANTE – IDM
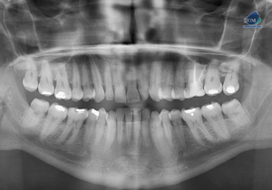
Paciente femenina de 46 años, es referido al Instituto de Diagnóstico Maxilofacial – IDM (Sede Surco) para evaluación general. Radiografia Panorámica En la radiografía panorámica

Paciente femenina de 46 años, es referido al Instituto de Diagnóstico Maxilofacial – IDM (Sede Surco) para evaluación general. Radiografia Panorámica En la radiografía panorámica

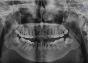
Paciente femenina de 36 años, es referido al Instituto de Diagnóstico Maxilofacial – IDM (Sede Surco) para evaluación de pieza 46 con tratamiento endodóntico. Radiografia

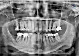
Paciente masculino de 17 años, es referido al Instituto de Diagnóstico Maxilofacial – IDM (Sede Surco) para evaluación del retraso de erupción de la pieza

Paciente femenina de 78 años, es referido al Instituto de Diagnóstico Maxilofacial – IDM (Sede Surco) para evaluación de áreas óseas y planificación de implantes

Paciente feminino acude a IDM para una tomografía computarizada para un diagnostico general. Radiografia Panorámica A la evaluación de la radiografía panorámica se observa neumatización

Paciente masculino de edad acude a IDM para realizarse un estudio imagenológico para un diagnóstico en general. A la evaluación de la radiografía panorámica se

Paciente masculino de 13 años de edad, es referido al Instituto de Diagnóstico Maxilofacial – IDM para evaluación general. En la radiografía panorámica (Figura 1),

Paciente masculino de 15 años de edad, es referido al Instituto de Diagnóstico Maxilofacial – IDM para evaluación general. En la radiografía panorámica (Figura 1),

Paciente femenina de 77 años de edad acude al Instituto de Diagnóstico Maxilofacial – IDM (surco) para evaluación imagenológica. En la radiografía panorámica (Figura 1),

Paciente femenina de 40 años acude a IDM – Sede Jesús María para realizarse una tomografía computarizada de haz cónico de campo reducido y descartar

PACIENTE FEMENINO de 81 años acude al Instituto de Diagnóstico Maxilofacial PARA UNA TOMOGRAFÍA para colocación de implantes. A la evaluación de la radiografía panorámica

Paciente masculino de 08 años de edad, es referido al Instituto de Diagnóstico Maxilofacial – IDM para evaluación general. En la radiografía panorámica (Figura 1),

Paciente femenino de 43 años de edad, es referido al Instituto de Diagnóstico Maxilofacial – IDM para evaluación general. En la radiografía panorámica (Figura 1),

Paciente femenino de 58 años acude al Instituto de Diagnostico Maxilofacial para realizarse una tomografía para la colocación de implante dentales. A la evaluación de

Paciente masculino de 22 años acude al Instituto de Dianóstico Maxilofacial para realizarse una tomografía macizofacial para la colocación de ortodoncia. A la evaluación de

Paciente femenino de 43 años de edad, es referido al Instituto de Diagnóstico Maxilofacial – IDM para evaluación general. En la radiografía panorámica (Figura 1),

Paciente masculino de 37 años de edad, es referido al Instituto de Diagnóstico Maxilofacial – IDM para evaluación de zona posterior derecha. En la radiografía

Paciente femenina de 63 años de edad acude al instituto de Diagnóstico maxilofacial – IDM (surco) para evaluación imagenológica general. En la radiografía panorámica (Figura

Paciente masculino de 9 años de edad acude al Instituto de Diagnóstico Maxilofacial – IDM (surco) para evaluación imagenológica de piezas anterosuperiores. En la radiografía

Paciente masculino de 50 años acude al Instituto de Diagnóstico Maxilofacial con el motivo de consulta de una tomografía de haz cónico de campo reducido
© Copyright 2025