
Caso 346 – IDM – MESIODENT EN POSICIÓN INVERTIDA – IDM
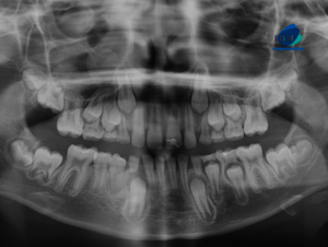
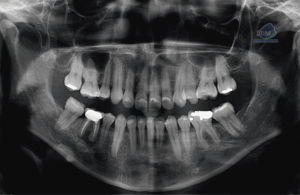
Paciente femenino de 39 años de edad, es referido al Instituto de Diagnóstico Maxilofacial – IDM para evaluación general.En la radiografía panorámica (Figura 1), se

Paciente femenino de 39 años de edad, es referido al Instituto de Diagnóstico Maxilofacial – IDM para evaluación general.En la radiografía panorámica (Figura 1), se

Paciente masculino de 25 años de edad acude al Instituto para una tomografía de macizo facial para la colocación de ortodoncia, a la evaluación de

Paciente femenina acude a IDM- Sede Miraflores para evaluar la extracción de terceras molares. Radiografia Panorámica A la evaluación de la radiografía panorámica se observa

Paciente masculino de 8 años de edad acude al Instituto de Diagnóstico Maxilofacial – IDM (Miraflores) para evaluación imagenológica.En la radiografía panorámica (Figura 1), se

Paciente masculino de 23 años de edad, es referido al Instituto de Diagnóstico Maxilofacial – IDM para control tomográfico.En la radiografía panorámica (Figura 1), se

Paciente femenino de 61 años de edad, es referido al Instituto de Diagnóstico Maxilofacial – IDM por dolor en ATM.En la reformación panorámica (Figura 1),

Paciente masculino de 15 años de edad acude al Instituto de Diagnóstico Maxilofacial – IDM para evaluación imagenológica por motivos ortodónticos.En la radiografía panorámica (Figura

Paciente femenino de 27 años acude a IDM- Sede Jesús María con motivo de consulta para control de ortodoncia y a la evaluación de la

Paciente masculino de 70 años de edad acude a IDM- Sede Miraflores para realizarse una tomografía por un dolor leve que sentía en el primer
Paciente masculino de 50 años acude al Instituto de Diagnóstico Maxilofacial para una tomografía de campo mediano (10mm x 10mm) para evaluación general de la
Paciente masculino de 55 años de edad, es referido al Instituto de Diagnóstico Maxilofacial – IDM para control tomográfico.En la radiografía panorámica (Figura 1), se

Paciente masculino de 67 años de edad, es referido al Instituto de Diagnóstico Maxilofacial – IDM para control tomográfico.En la radiografía panorámica (Figura 1), se
Paciente femenina de 61 años de edad acude al Instituto de Diagnóstico Maxilofacial – IDM (surco) para evaluación imagenológica por motivos protésicos.En la radiografía panorámica

Paciente masculino de 09 años de edad acude al Instituto de Diagnóstico Maxilofacial para una tomografía de campo mediano (10 x 10mm) con el motivo

Paciente femenina de 20 años acude al centro para una evaluación imagenológica de ATM, a la evaluación de la radiografía panorámica se observa el aplanamiento

Paciente masculino de 70 años acude con motivo de consulta “evaluación general de la cavidad oral”, se procede a la observación y evaluación de la

Paciente masculino de 49 años de edad acude al Instituto de Diagnóstico Maxilofacial – IDM (surco) para evaluación imagenológica por motivo de una tumoración en

Paciente masculino de 22 años de edad, es referido al Instituto de Diagnóstico Maxilofacial – IDM para control tomográfico.En la radiografía panorámica (Figura 1), se

Paciente masculino de 23 años de edad, es referido al Instituto de Diagnóstico Maxilofacial – IDM para control tomográfico.En la radiografía panorámica (Figura 1), se

Paciente femenina de 46 años, es referido al Instituto de Diagnóstico Maxilofacial – IDM (Sede Surco) para evaluación general. Radiografia Panorámica En la radiografía panorámica
© Copyright 2025