Paciente femenina de 61 años de edad acude al Instituto de Diagnóstico Maxilofacial – IDM (surco) para evaluación imagenológica por motivos protésicos.
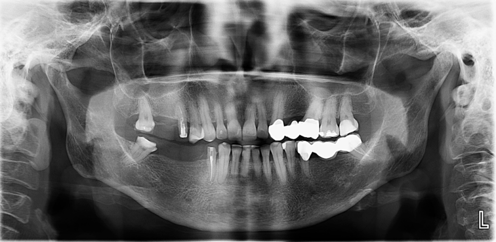
En la radiografía panorámica (Figura 1), se observa neumatización de senos maxilares con engrosamiento de la mucosa en lado izquierdo, edentulismo parcial, múltiples restauraciones coronarias y protésicas.
Radiografia Panorámica
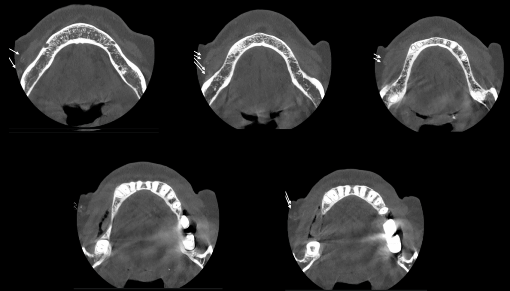
A la evaluación de la tomografía volumétrica (cone beam) bimaxilar en los cortes axiales (Figura 2) y transaxiales (Figura 3) se observa una imagen hiperdensa tubular de trayecto serpentiginoso con recorrido desde escotadura antegoneal al espacio bucal de lado derecho compatible con mineralización de tejidos blandos.
CORTES AXIALES
CORTES TRANSAXIALES
En la reconstrucción 3D de tejidos blandos se observa el recorrido de la arteria facial mineralizada (Figura 4)
RECONSTRUCCIÓN 3D
Conclusión imagenológica:
- Mineralización de arteria facial (arteriosclerosis de Mönckeberg) de lado derecho.
Paráfrasis:
La arterioesclerosis de Mönckeberg (AM) es una entidad de etiología desconocida, caracterizada por una calcificación distrófica dentro de la túnica media de las arterias, que provoca una disminución de la elasticidad arterial (1,2). Esta alteración se observa con mayor frecuencia en las extremidades; sin embargo, puede ocurrir en la región de la cabeza y el cuello (1). La mayoria de pacientes con AM son
asintomáticos detectándola generalmente como un hallazgo imagenológico incidental (1). La AM se asocia con mayor frecuencia a adultos mayores, pacientes diabéticos, personas en tratamiento con diálisis y con trastornos del metabolismo del calcio(1, 2).
Radiográficamente se va a observar como dos líneas finas y radiopacas paralelas que pueden tener un trayecto recto o sinuoso, mostrando un patrón de vasos sanguíneos que se parece a las vías del ferrocarril (1, 2).
La presencia de arteriosclerosis de Mönckeberg en las radiografías dentales constituye un hallazgo relevante, ya que puede alertar a los profesionales de la salud bucal sobre la posible presencia de enfermedades sistémicas no diagnosticada (2).
Bibliografía:
- Tahmasbi-Arashlow M, Barghan S, Kashtwari D, Nair MK. Radiographic manifestations of Mönckeberg arteriosclerosis in the head and neck region. Imaging Sci Dent. 2016 Mar;46(1):53-6. doi: 10.5624/isd.2016.46.1.53. URL
- Fitzgerald J, Ziegler ME, Green PT, Neville BW. Calcified facial and maxillary arteries: Incidental radiographic findings indicative of Mönckeberg arteriosclerosis. J Am Dent Assoc. 2021 Nov;152(11):943-946. doi: 10.1016/j.adaj.2021.04.018. URL

Dra. Faride Milagros Cornejo Pinto
Especialista en radiología bucal y maxilofacial
Cirujano Dentista especialista en Radiología Bucal y Maxilofacial de la Universidad Peruana Cayetano Heredia. Actualmente miembro del Staff de Radiólogos del Instituto de Diagnostico Maxilofacial - IDM
Más información



