Paciente masculino de 49 años de edad acude al Instituto de Diagnóstico Maxilofacial – IDM (surco) para evaluación imagenológica por motivo de una tumoración en el lado mandibular derecho.
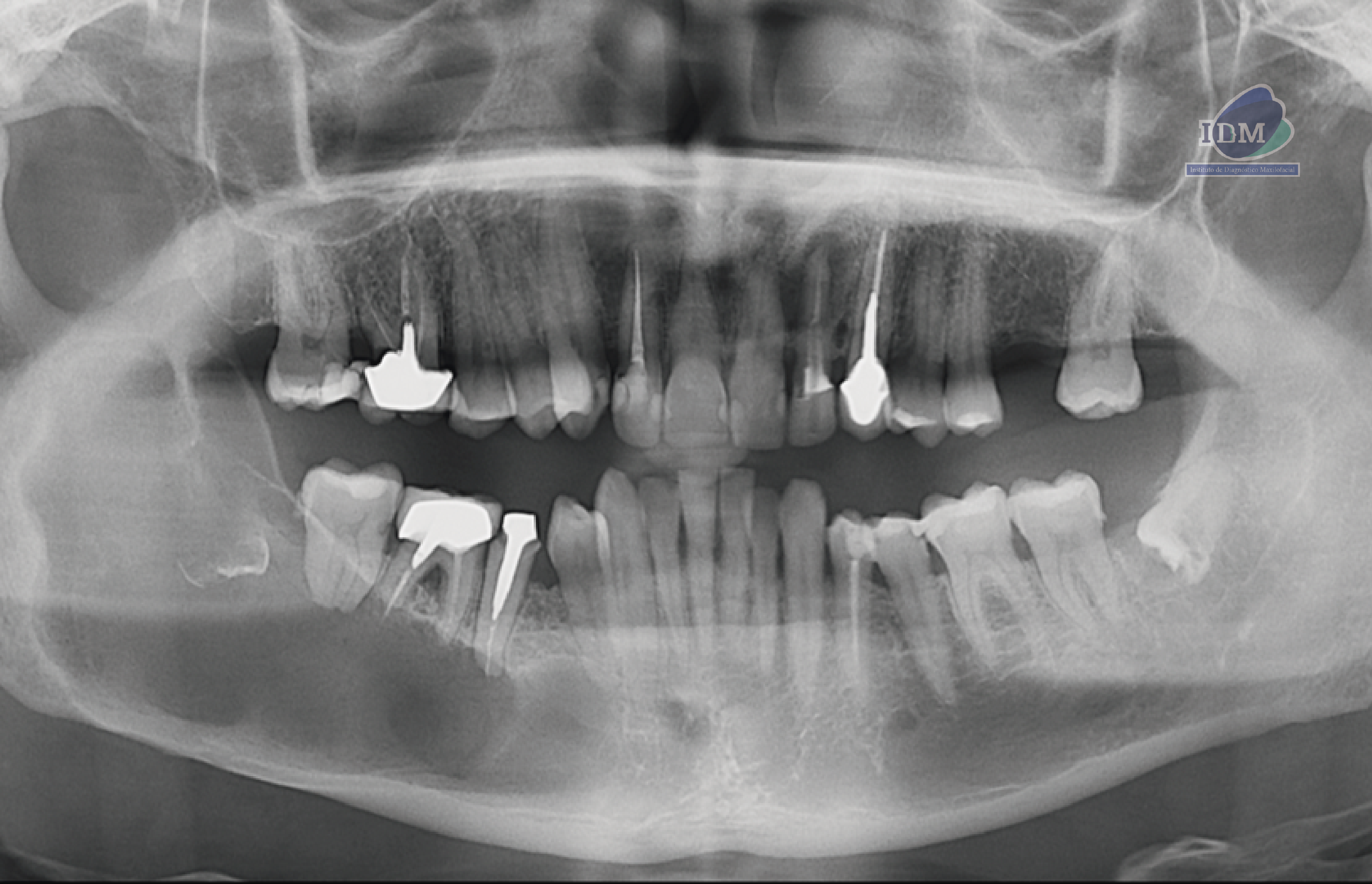
En la radiografía panorámica (Figura 1), se observa una lesión radiolúcida de limites definidos y bordes parcialmente corticalizados ubicado en cuerpo, ángulo y rama mandibular de lado derecho con una extensión desde pieza 44 hasta rama ascendente mandibular y desde la escotadura antegoneal hasta la basal mandibular, ocasionando expansión en el borde anterior de la rama y reabsorción externa en piezas 46 y 47. Además se observa una imagen radiopaca irregular en el interior de la lesión en zona de pieza 48.
Radiografia Panorámica
A la evaluación de la tomografía volumétrica (cone beam) bimaxilar en los cortes axiales (Figura 2), coronales, (Figura 3) y tangenciales (Figura 4) se observa imagen isodensa irregular, ubicado en cuerpo, ángulo y rama ascendente mandibular de lado derecho, que se extiende desde zona periapical mesial de pieza 44, hasta tercio medio de rama mandibular, y desde tercio superior (próximo a base de apófisis coronoides) hasta basal mandibular ocasionando expansión de tablas ósea, adelgazamiento de corticales y pérdida de continuidad de tabla vestibular en zona de pieza 45 y de tabla ósea lingual a en zona de pieza 46, 48 y rama mandibular. Además de producir el desplazamiento caudal y borramiento parcial de las corticales del canal mandibular; así mismo, se observó reacción periostal en tabla ósea vestibular (próxima a escotadura sigmoidea), ángulo mandibular y en basal mandibular de zona antegonial. Se pudo evidenciar tambien a la pieza 48 incluida y con reabsorción severa 48 dejando solo restos de esmalte.
CORTES AXIALES
CORTES CORONALES
CORTES TANGENCIALES
CORTES TANGENCIALES
En la reconstrucción 3D se representa la expansión y el adelgazamiento de las corticales de la lesión (Figura 7)
RECONSTRUCCIÓN 3D
Conclusión imagenológica:
- Lesión benigna mandibular infectada (Queratoquiste odontogénico mandibular infectado)
Paráfrasis:
El queratoquiste odontogénico (QQO) es un quiste benigno según la última clasificación de la OMS, representando aproximadamente el 10% de todos los quistes odontogénicos (1,2). Se desarrolla en su mayoría en pacientes de 30 a 50 años con ligero predominio por el sexo masculino (2). El QQO puede localizarse en cualquier lugar de los maxilares, siendo la zona más frecuente el cuerpo, rama y zona posterior de la mandíbula (1, 2). A diferencia de la mayoría de los otros quistes de la mandíbula, tiene una tasa de recurrencia muy alta (1,2). El QQO ocasionalmente se presenta con síntomas como hinchazón, dolor o sensación de secresiones, siendo por lo general una lesión asintomática diagnosticada por un hallazgo imagenológico (1).
La radiografía panorámica es útil en la evaluación preliminar de los QQO (2), radiográficamente se va observar como un área radiolúcida unilocular o multilocular, redonda u ovalada corticalizada con bordes bien definidos (1,2). La tomografía computarizada se considera como la herramienta de elección en la evaluación del QQO (2), ya que nos muestra el tamaño, la forma (hidráulica o
festoneada), los márgenes (bien definidos y corticalizados), la apariencia interna (unilocular o multilocular) y los efectos en las estructuras adyacentes (desplazamiento de los dientes, reabsorción radicular, desplazamiento del piso del seno maxilar o del canal mandibular (2) Además de poder observar los cambios óseos (expansión en la dirección bucolingual/palatal y erosión), la densidad interna y la extensión en el tejido blando. A pesar de su comportamiento agresivo, los QQO, producen una expansión ósea mínima debido a que se extienden a lo largo del espacio intramedular, rara vez causan la reabsorción radicular. El ameloblastoma, los quistes dentigeros y radiculares deben considerarse en el diagnóstico diferencial (2). Así como la presencia de múltiples QQO podría asociarse al síndrome de Gorlin Goltz (1,2)
Si el QQO tiene una infección secundaria, puede causar síntomas como hinchazon, dolor, fiebre y malestar general (1), esta infección va a producir cambios en sus características imagenológicas además de observarse con signos como el de reacción periostal.
Bibliografía:
- Chen P, Liu B, Wei B, Yu S. The clinicopathological features and treatments of odontogenic keratocysts. Am J Cancer Res. 2022 Jul 15;12(7):3479-3485. PMID: 35968329 URL
- Borghesi A, Nardi C, Giannitto C, Tironi A, Maroldi R, Di Bartolomeo F, Preda L. Odontogenic
keratocyst: imaging features of a benign lesion with an aggressive behaviour. Insights Imaging.
2018 Oct;9(5):883-897. doi: 10.1007/s13244-018-0644-z. URL

Dra. Faride Milagros Cornejo Pinto
Especialista en radiología bucal y maxilofacial
Cirujano Dentista especialista en Radiología Bucal y Maxilofacial de la Universidad Peruana Cayetano Heredia. Actualmente miembro del Staff de Radiólogos del Instituto de Diagnostico Maxilofacial - IDM
Más información



