Paciente masculino de 15 años de edad acude al Instituto de Diagnóstico Maxilofacial – IDM para evaluación imagenológica por motivos ortodónticos.
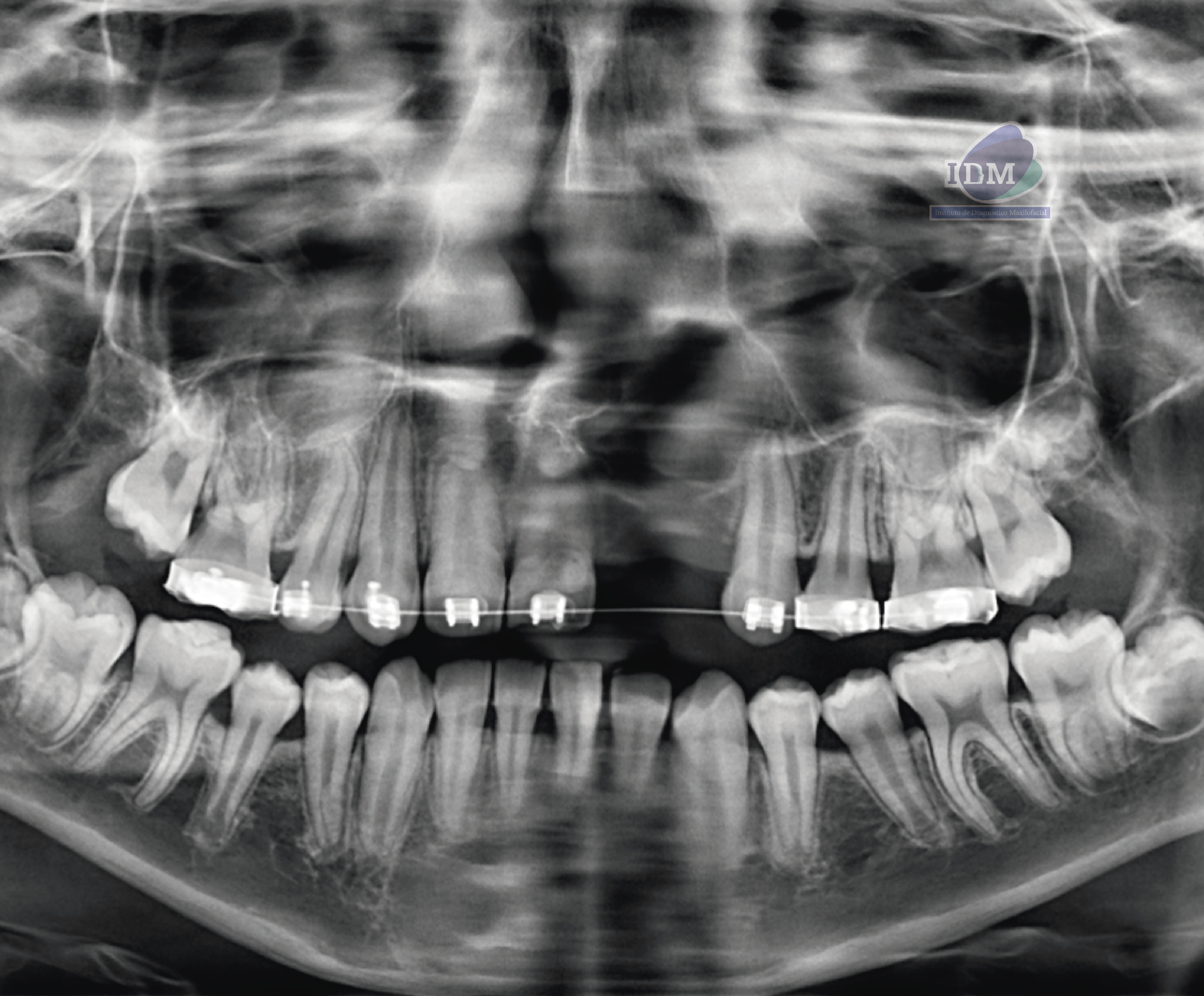
En la radiografía panorámica (Figura 1), se observa neumatización de senos maxilares, defecto óseo en zona anterior izquierda de maxilar superior, ausencia de piezas 22 y 23; además de la aparatología ortodóntica en piezas del maxilar superior.
Radiografia Panorámica
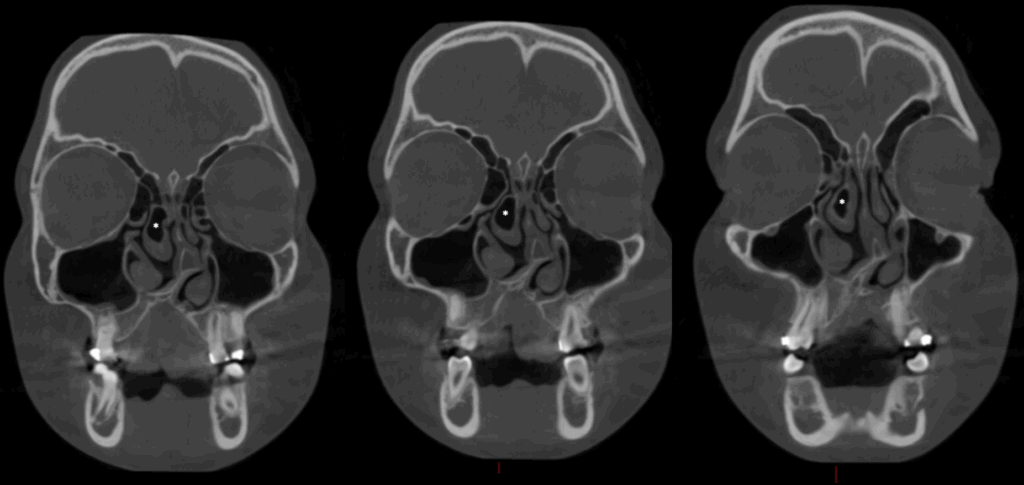
A la evaluación de la tomografía volumétrica (cone beam) de macizo facial en los cortes coronales (Figura 2), axiales y sagital (Figura 3) se observa el defecto óseo que se extiende desde la cima del reborde alveolar hasta el piso de la fosa nasal del lado izquierdo comprometiendo ambas estructuras, desviación del tabique hacia lado izquierdo y neumatización del cornete medio de lado
derecho,
CORTES AXIALES Y SAGITALES
CORTES CORONALES
En la reconstrucción 3D de tejidos blandos se observa la fisura alveolo palatanila unilateral y la presencia de concha bullosa de cornete medio de lado derecho
RECONSTRUCCIÓN 3D
Conclusión imagenológica:
- Fisura alveolo palatina unilateral completa de lado izquierdo.
- Concha bullosa en cornete medio de lado derecho.
Paráfrasis:
Las hendiduras orofaciales se encuentran entre los defectos congénitos más comunes siendo de etiología multifactorial, esta resulta de trastornos del desarrollo de los maxilares y el paladar durante los primeros 3 meses de gestación (1). Los pacientes con fisura labial y paladar primario pueden presentar dientes supernumerarios o ausentes, lo que puede manifestarse como patrones de
erupción anormales (2) La concha bullosa (CB) es la neumatización del cornete siendo una de las variaciones anatómicas más
frecuentes de los senos paranasales, con una incidencia reportada entre 4% y 80%, predominantemente en el cornete medio. Generalmente es asintomática, aunque puede asociarse a alteraciones sinusales al comprometer la función del complejo ostiomeatal. Su hallazgo suele ser incidental en la tomografía computarizada (TC). Según la extensión de la neumatización, se clasifica
en tres tipos: lamelar (lámina vertical), bulboso (porción inferior) y extenso (combinación de ambos) (3).
Bibliografía:
- Vicente A, Cederhag J, Rashidi N, Wiedel AP, Becker M, Brogårdh-Roth S, Shi XQ, Hellén-Halme K. Low-Dose Cone-Beam Computed Tomography in Swedish Pediatric Patients With Alveolar Clefts Following Alveolar Bone Grafting-A Clinical Study. Clin Exp Dent Res. 2024 Dec;10(6):e70021. doi: 10.1002/cre2.70021. URL
- Abramson ZR, Peacock ZS, Cohen HL, Choudhri AF. Radiology of Cleft Lip and Palate: Imaging for the Prenatal Period and throughout Life. Radiographics. 2015 Nov-Dec;35(7):2053-63. doi: 10.1148/rg.2015150050. URL
- Kar M, Altıntaş M. The incidence of concha bullosa: a retrospective radiologic study. Eur Arch Otorhinolaryngol. 2023 Feb;280(2):731-735. doi: 10.1007/s00405-022-07552-y. URL

Dra. Faride Milagros Cornejo Pinto
Especialista en radiología bucal y maxilofacial
Cirujano Dentista especialista en Radiología Bucal y Maxilofacial de la Universidad Peruana Cayetano Heredia. Actualmente miembro del Staff de Radiólogos del Instituto de Diagnostico Maxilofacial - IDM
Más información



