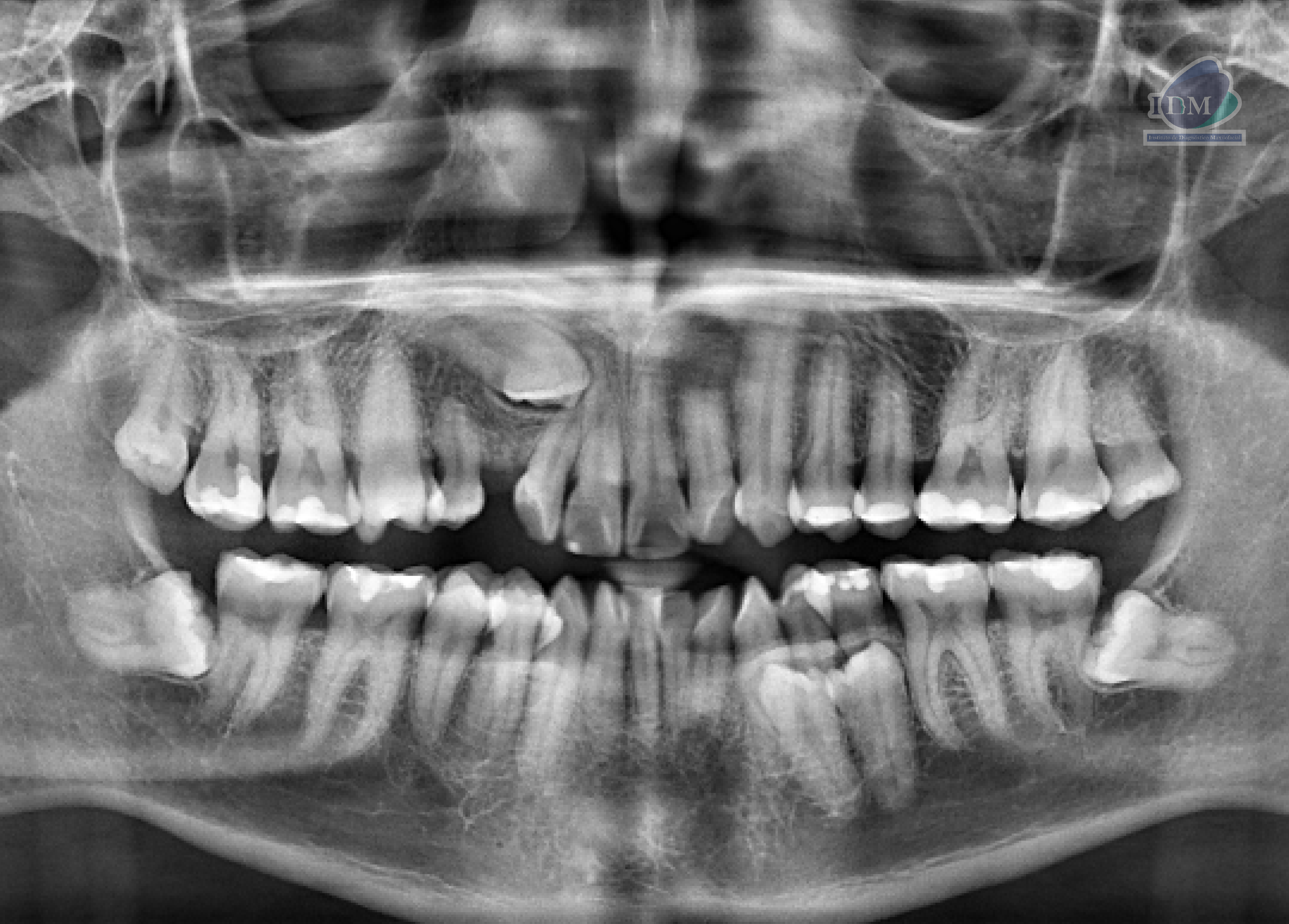
Paciente masculino de 29 años acude para una tomografía computarizada para una evaluación general. A la evaluación de la radiografía panorámica se observa la neumatización de ambos senos maxilares. la impactación de la pieza 23, múltiples piezas con material restaurador, la sobreproyección de las piezas 14 y 15, la presencia de una microdiente supernumerario en zona de pieza 14, la presencia de dos supernumerarios intraóseos en el tercer cuadrante y la presencia de dos supernumerarios extraóseos en el cuarto cuadrante, así como las piezas 38 y 48 impactadas hacia mesial.
Radiografia Panorámica
A la evaluación de la tomografía computarizada se puede observar la posición exacta de los cuatro supernumerarios mandibulares suplementarios, así como la relación con las piezas dentarias adyacentes y estructuras anatómicas importantes. Las flechas de color verde indican la posición del supernumerario A hacia lingual con la porción coronaria en contacto con la pieza 35 y el tercio apical en contacto con la cortical del conducto dentario inferior, así también el supernumerario B en estrecha relación con la superficie lingual de la pieza 34 (vista en cortes axiales, transaxiales y tangenciales).La flecha de color amarillo indican la localización por lingual de los supernumerios C Y D en estrecha relación con la superficie lingual de las piezas 44 y 45 respectivamente. En ambos cuadrantes se observa la giroversión y el desplazamiento hacia vestibular de las premolares.
CORTES AXIALES
CORTES TANGENCIALES
CORTES TRANSAXIALES
RECONSTRUCCIÓN 3D
Parafrisis
Esta anomalía puede pasar desapercibida sin presentar sintomatología ni complicaciones, sin embargo, también puede tener implicancias clínicas adversas, las cuales deben ser abordadas rápidamente. Entre estas complicaciones tenemos las alteraciones en la erupción y posición de los dientes primarios o permanentes, inclusiones dentarias con o sin impactación, diastemas, malposiciones dentarias, reabsorciones radiculares, dilaceración y desarrollo de quistes foliculares.
Los dientes supernumerarios simples representan un porcentaje del 76-86%, los dientes supernumerarios dobles corresponden al 12-23% de los casos y cuatro molares supernumerarios o distomolares representan el 18% de los casos. Los dientes supernumerarios múltiples representan menos del 1% de todos los casos.
Salcido García et al en su estudio informaron que los premolares supernumerarios son los segundos dientes supernumerarios más comunes después del mesiodens con una incidencia reportada de 0,09-0,64%
Tomes en 1873 publicó una clasificación de anomalías dentales numéricas y definió al diente suplementario como un diente caracterizado por la misma forma y función de los dientes adyacentes sin diferencias anatómicas.
La presencia de supernumerarios o hiperodoncia puede estar relacionada con numerosos síndromes que pueden indicar el papel genético; se pueden observar en síndromes como Marfan, Nance Horan, amelogénesis imperfecta, Crouzon, etc.
Bibliografía:
- Fuentes Ramón, Álvarez Giannina, Garay Ivonne, Arias Alain, Dias Fernando José. Dientes Supernumerarios Suplementarios en un Paciente Adulto Parcialmente Dentado: Reporte de Caso. Int. J. Morphol. [Internet]. 2018 Jun; 36( 2 ): 478-482.
- Moradinejad M, Hashemi Ashtiani A, Rakhshan V. Multiple Nonsyndromic Unerupted Supernumerary Teeth: A Report of a Rare Case. Case Rep Dent. 2022 Mar 29;2022:4063856.
- Suljkanovic N, Balic D, Begic N. Supernumerary and Supplementary Teeth in a Non-syndromic Patients. Med Arch. 2021 Feb;75(1):78-81.

Dra. Margarita Leando
Especialista en Radiología Oral y Maxilofacial
Cirujana dentista especialista en Radiologia Bucal y Maxilofacial de la Universidad Peruana Cayetano Heredia. Actualmente miembro del Staff de Radiólogos del Instituto de Diagnóstico Maxilofacial - IDM.
Más información



