Paciente masculino de 64 años acude al centro imagenológico para una tomografía computarizada cone beam para una evaluación general.
Radiografia Panorámica
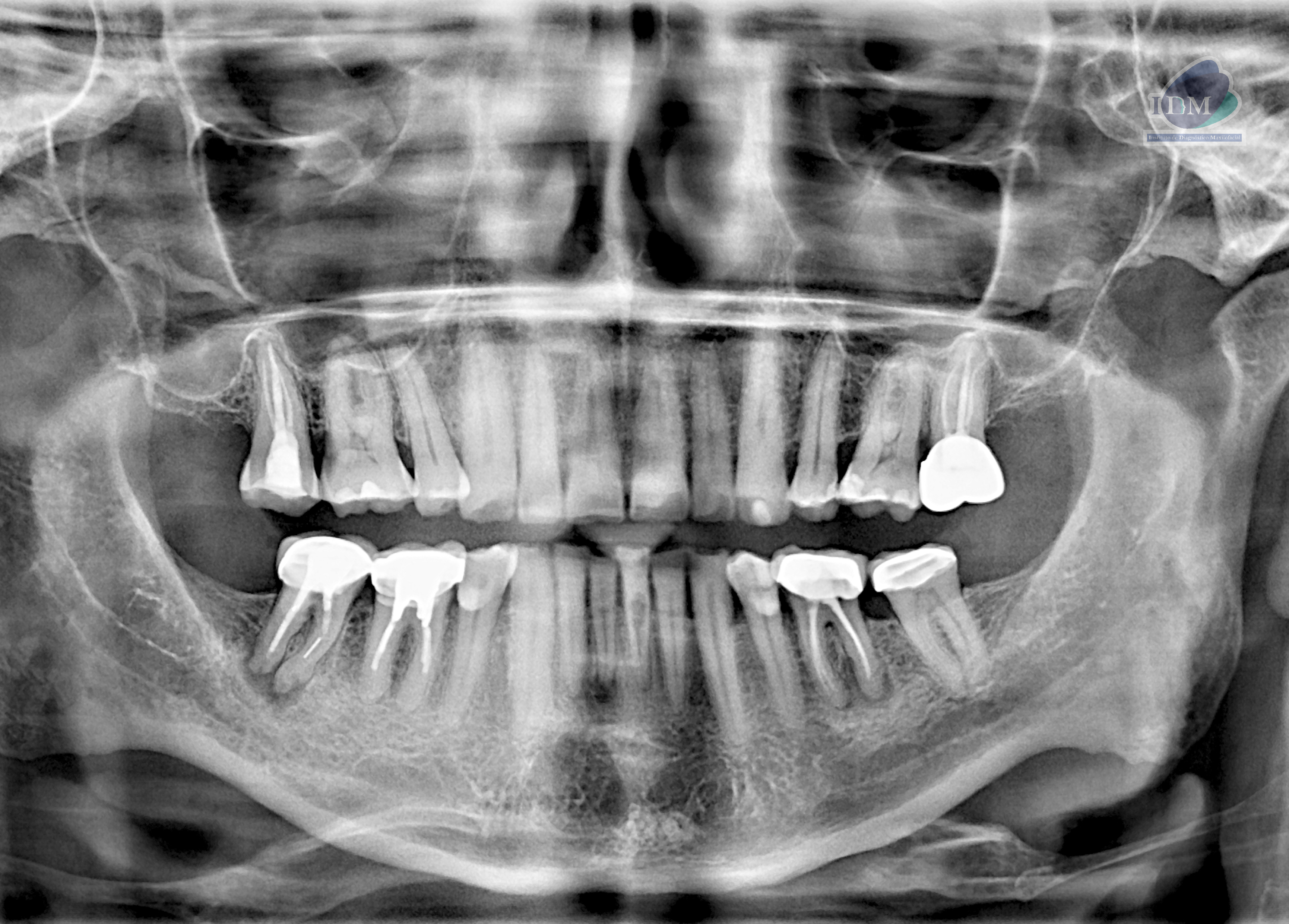
A la evaluación de la radiografía panorámica se observan aplanamiento del contorno condilar bilateral, neumatización alveolar de ambos senos maxilares, múltiples coronas protésica, obturación de conductos, así como la presencia de procesos osteolítico periapicales en las piezas 36 y 46; esta última con presencia de una imagen radiopaca en raíz mesial compatible con fragmento de instrumento endodóntico. Finalmente se observa la pieza 41 con un proceso osteolítico periapical y la pieza 31 con una imagen radiolucida proyectada a nivel de tercio cervical.
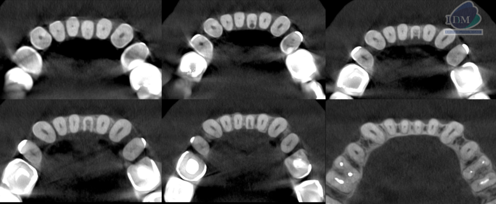
A la evaluación de la tomografía computarizada cone beam de campo mediano se observa en los cortes axiales, transaxialres y tangenciales la presencia de una imagen hipodensa que se localiza a nivel de tercio cervical de la pieza 31 por debajo del límite amelocementario en la superficie lingual la cual se comunica con el conducto pulpar ocasionando la alteración en su morfología, finalmente se observa un discreto ensanchamiento del espacio para el ligamento periodontal apical, compatible con reabsorción cervical invasiva (RCI)
CORTES AXIALES
CORTES TANGENCIALES
CORTES TRANSAXIALES
RECONSTRUCCIÓN 3D
Parafrisis
Se ha descrito que la RCI es un proceso dinámico que cuenta con tres etapas, iniciación, progresión/reabsorción y reparación. En algunos casos clínicamente se puede detectar una lesión conocida como «pink spot», el proceso de reabsorción invade la estructura dentaria, reabsorbiendo cemento, esmalte y dentina, que en algunos casos puede ser confundida imagenológicamente con lesión de caries.
Puede evaluarse en radiografías periapicales y tomografía computarizada de haz cónico (TCHC). Heithersay (1999) creó una clasificación que permite categorizar la RCI observada en radiografías periapicales y posteriormente Patel (2018) creó una clasificación que permite categorizar la RCI observada en exámenes de TCHC.
En cuanto a los posibles factores predisponentes de la RCI, la literatura no ha identificado una causa etiológica específica. Si bien se manejan ciertas hipótesis respecto a su origen multifactorial más que idiopático, se han identificado ciertos factores desencadenantes más prevalentes entre los cuales destacan el traumatismo, la ortodoncia y la periodontitis.
En cuanto a las alternativas de tratamiento de la RCI, se reportaron dos tipos: endodoncia con cemento bioactivo y endodoncia complementada con sellado quirúrgico de la lesión. Propuestas relacionadas con las guías de tratamiento de reabsorciones radiculares del año 2018 y 2023 por la Sociedad Europea de Endodoncia.
Bibliografía:
- Gutiérrez Aravena V, Amigo Vásquez S, Quintanilla Sfeir M, Hidalgo Rivas A. Características clínicas, clasificación imagenológica, tratamiento y seguimiento de la reabsorción cervical invasiva. Análisis de reportes de casos. Av Odontoestomatol. 2024 Sep; 40( 3 ): 182-192.
- Salinas-Silva María Alejandra, Madariaga-Aliaga Alejandro, San Martín-Covacevich Fernanda, Novoa-Nieme Javiera. Reporte de caso: reabsorción cervical externa. ARS med. 2023 Dic; 48( 4 ): 61-65.

Dra. Margarita Leando
Especialista en Radiología Oral y Maxilofacial
Cirujana dentista especialista en Radiologia Bucal y Maxilofacial de la Universidad Peruana Cayetano Heredia. Actualmente miembro del Staff de Radiólogos del Instituto de Diagnóstico Maxilofacial - IDM.
Más información



