Paciente femenino de 13 años de edad, es referido al Instituto de Diagnóstico Maxilofacial – IDM para evaluación general.
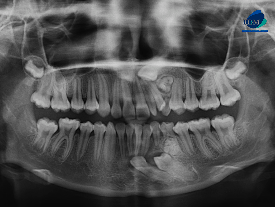
En la radiografía panorámica (Figura 1), se aprecia mineralización parcial del proceso estilohiodeo izquierdo, neumatización alveolar de senos maxilares, imagen radiopaca circunscrita de un halo radiolúcido proyectada entre los segmentos radiculares de piezas 22 – 24 y tercio medio radicular de pieza 74.
Radiografia Panorámica
A la evaluación de la tomografía volumétrica (CBCT) en los cortes axiales (Figura 2) y transaxiales (Figura 3), se aprecia imágenes hiperdensas (dentículos) circunscrita con un halo hipodenso, localizada entre los segmentos radiculares de piezas 22 y 24, de limites definidos ocasionando desplazamiento de pieza 23, adelgazamiento de tabla ósea vestibular y palatina compatible con odontoma compuesto. Imagen hiperdensa circunscrita con un halo hipodenso, localizada entre los segmentos radiculares de piezas 73 y 35, de limites definidos, forma irregular, ocasionando el desplazamiento de piezas 34 y 33, adelgazamiento de la tabla ósea vestibular y lingual compatible con odontoma complejo.
En las reconstrucciones 3D se representa de manera didáctica Odontoma compuesto y complejo (Figura 4).
CORTES AXIALES
CORTES TRANSAXIALES
CORTES TRANSAXIALES
RECONSTRUCCIÓN 3D
Conclusión:
- Odontoma compuesto y complejo.
Los odontomas son los tumores odontogénicos más frecuentes en los maxilares, con una prevalencia que oscila entre el 35% y el 76%, y se distinguen por su naturaleza no agresiva. Su diagnóstico suele ser accidental, ya que a menudo no presentan síntomas y se descubren durante radiografías de rutina. Aunque se desconoce su causa exacta, algunos factores que podrían influir en su desarrollo incluyen traumatismos en la dentición primaria, restos de Malassez en el tejido periodontal, procesos inflamatorios, la hiperactividad odontoblástica y las alteraciones hereditarias.
La Organización Mundial de la Salud (OMS) clasifica los odontomas en dos tipos: compuesto y complejo. El odontoma compuesto se caracteriza por la presencia de diferentes tejidos dentales dispuestos en estructuras ordenadas que imitan dientes, mientras que el odontoma complejo presenta una distribución desorganizada de algunos o todos estos tejidos.
Dado que su crecimiento es lento y asintomático, los odontomas suelen ser detectados en radiografías de rutina durante las dos primeras o tres primeras décadas de vida.
Bibliografía:
- Khalifa C, Omami M, Garma M, Slim A, Sioud S, Selmi J. Compound-complex odontoma: A rare case report. Clin Case Rep. 2022 Apr 4;10(4): e05658.
- Ahuja VR, Jayanna R, Ahuja A, Patel S. Impacted Mandibular Premolar Concomitant with Compound-Complex Odontome in a 13-year-old Girl: A Case Report. Int J Clin Pediatr Dent. 2020 Nov-Dec;13(6):729-733.

Dr. Cesar Castillo Rios
Especialista en radiología bucal y maxilofacial
Cirujano Dentista especialista en Radiología Bucal y Maxilofacial de la Universidad de San Martin de Porres (USMP). Actualmente miembro del Staff de Radiólogos del Instituto de Diagnostico Maxilofacial - IDM
Más información



