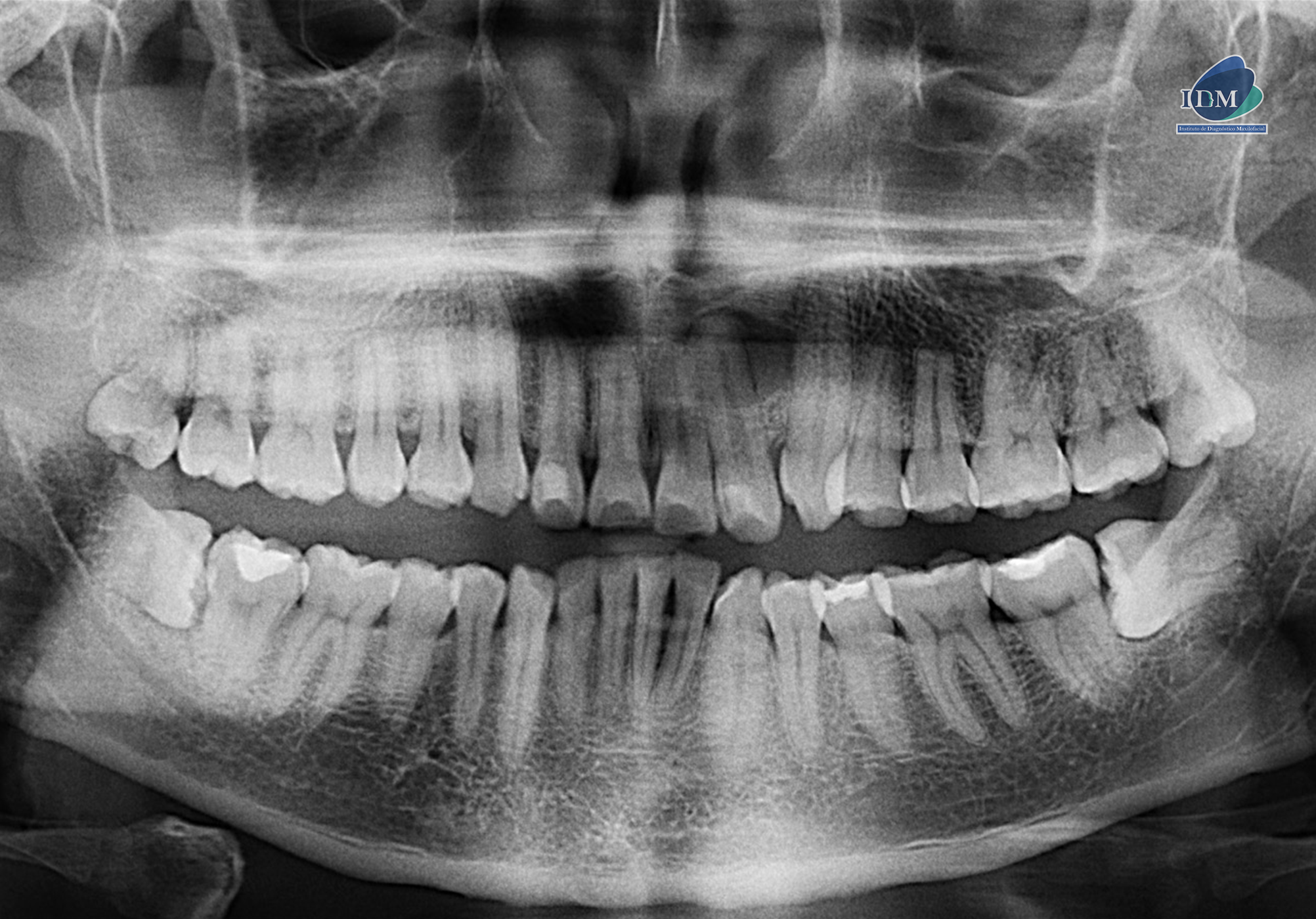
Paciente masculino de 33 años acude para una revisión general. A la evaluación de la radiografía panorámica se observa la neumatización de ambos senos maxilares, múltiples restauraciones y piezas 38 y 48 impactadas en posición horizontal. Asimismo, se observa la pieza 22 con material restaurador en cara libre y una imagen radiolucida corticalizada de forma redondeada que se proyecta sobre la porción radicular de la misma que se extiende hasta mesial de la pieza 23.
A la evaluación de la tomografía computarizada en los cortes axiales se observan tres hallazgos importantes; primero, la presencia de una imagen hipodensa puntiforme que nace desde el conducto pulpar hasta la cara palatina (flecha amarilla), un proceso osteolítico periapical de la pieza 22 (flecha azul) de forma redondeada que compromete la superficie mesial de la pieza 23 y ocasiona el adelgazamiento de la cortical vestibular, así como el aumento de la densidad ósea circundante compatible con quiste radicular y la presencia de un canalisis sinuosus que se extiende por palatino de la pieza 22 (flecha fucsia).
Radiografia Panorámica
A la evaluación de los cortes transaxiales y tangenciales se observa la discreta invaginación de la pieza 22 (flecha naranja), así como el recorrido del canalisis sinuosus (flecha verde) y la presencia de la lesión osteolítico próxima a este.
En la reconstrucción 3D se observa de manera más gráfica y además se confirma la presencia de un canal accesorio que nace del canal sinuoso del lado derecho.
CORTES AXIALES
CORTES TRANSAXIALES
CORTES TANGENCIALES
RECONSTRUCCIÓN 3D
Parafrisis
Dens in dente o dens invaginatus es un transtorno del desarrollo dental que se caracteriza por el repliegue hacia adentro de los tejidos duros del diente. De etiología aún desconocida y con una prevalencia que va de 0,3 a 26 %. Su diagnóstico se realiza en complementando la clínica con los exámenes complementarios, el examen radiográfico bidimensional es fiable para diagnosticarlo.
Aunque actualmente, también contamos con la tomografía computarizada de haz cónico (CBCT), el microscopio quirúrgico dental (DOM) y los sistemas de tomografía microcomputarizada de rayos X. Cuando no se tiene sintomatología, puede pasar desapercibido fácilmente. Su presencia aumenta el riesgo de caries, patología pulpar y periapical, reabsorción interna, a la vez que complica la terapia endodóntica. Incluso antes de que se desarrolle la caries, las interrupciones en la superficie del esmalte invaginado pueden permitir la penetración de microorganismos en el sistema de conductos.
Por otro lado, la literatura describe que el Canalis sinuosus puede presentarse uni o bilateralmente, siendo más frecuente de observar de forma bilateral.El Canales sinuosus es un canal neurovascular, descrito por Jones en 1939 por primera vez. Una pequeña rama del nervio infraorbitario. El término Canalis sinuosus describe el curso de doble curvatura que tiene. Mide aproximadamente 55 mm y discurre a través del maxilar. Al llegar a la pared lateral de la fosa nasal, gira bruscamente hacia abajo, a través del hueso alrededor del margen de la fosa nasal, y está por lo tanto situado entre la cara medial del alvéolo del canino. En su porción terminal, el Canalis sinuosus puede presentar uno o más canales accesorios, que pueden ubicarse en el área comprendida entre el canino y los incisivos centrales superiores y orientarse hacia palatino o vestibular de estos dientes, e incluso pueden alcanzar la zona del paladar duro y la cavidad nasal
Bibliografía:
- Vásquez Vereau G, Vega Yslachin M. Dens invaginatus: diagnóstico y manejo clínico. Revisión de literatura. Rev Estomatol Herediana [Internet]. 29 de junio de 2024;34(2):167- 76.
- Ruiz García De Chacón VE, Mayanga Becerra JM. Canalis sinuosus: reporte de cuatro casos y revisión de la literatura. Rev Estomatol Herediana [Internet]. 28 de junio de 2017;27(1):39.

Dra. Margarita Leando
Especialista en Radiología Oral y Maxilofacial
Cirujana dentista especialista en Radiologia Bucal y Maxilofacial de la Universidad Peruana Cayetano Heredia. Actualmente miembro del Staff de Radiólogos del Instituto de Diagnóstico Maxilofacial - IDM.
Más información



