Caso 271 - DISPLASIA CEMENTO ÓSEA PERIAPICAL IDM PERU RADIOGRAFIA PANORAMICA 01

Caso 271 – IDM – DISPLASIA CEMENTO ÓSEA PERIAPICAL IDM

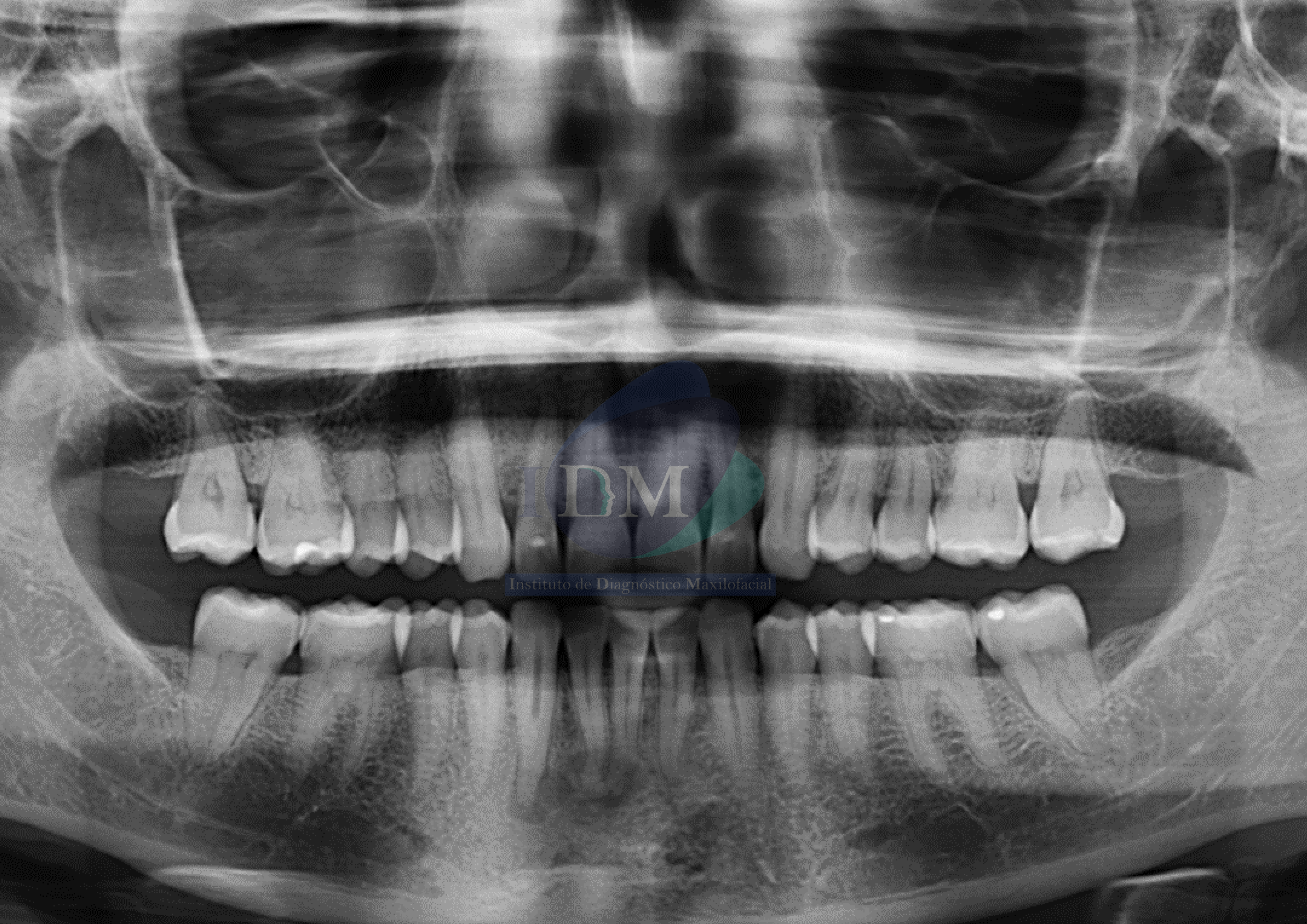
Paciente femenino de 52 años acude al Instituto de Diagnóstico Maxilofacial (sede Miraflores) para evaluación de zona anteroinferior.

Radiografia Panorámica

Caso 271 - DISPLASIA CEMENTO ÓSEA PERIAPICAL IDM PERU RADIOGRAFIA PANORAMICA 2

A la evaluación de la radiografía panorámica se evidencian múltiples imágenes mixtas y de forma irregular en zona apical de las piezas 41, 42 y 43.

Así mismo en la tomografía volumétrica de haz cónico de campo reducido evidenciamos que dichas imágenes mixtas se encuentran comprometiendo zona a pical de la pieza 41 y 42 con un aumento de la densidad ósea adyacente. Siendo la imagen hipodensa a nivel a pical de la pieza 43 una probable lesión apical.

CORTES TANGENCIALES

Caso 271 - DISPLASIA CEMENTO ÓSEA PERIAPICAL IDM PERU CORTES TANGENCIALES

CORTES TRANSAXIALES

Caso 271 - DISPLASIA CEMENTO ÓSEA PERIAPICAL IDM PERU CORTES TRANSAXIALES

CORTES AXIALES

Caso 271 - DISPLASIA CEMENTO ÓSEA PERIAPICAL IDM PERU CORTES AXIALES

RECONSTRUCCIÓN 3D

Caso 271 - DISPLASIA CEMENTO ÓSEA PERIAPICAL IDM PERU RECONSTRUCCIÓN 3D

Conclusión:

Displasia cemento ósea periapical

Paráfrasis:

La displasia cemento ósea periapical es una lesión fibro – ósea donde el tejido óseo es sustituido por tejido fibroso, semejante al cemento y/o hueso metaplásico; considerado una lesión benigna y cuya patogenia es desconocida.

La lesión se manifiesta predominantemente en la región anterior del hueso mandibular, a nivel del periápice de los dientes adyacentes incisivos y caninos.

Presenta mayor prevalencia para el sexo femenino, de descendencia africana o de la región suroeste del continente asiático. En la mayoría de los casos, el hallazgo de esta lesión aparece de forma inesperada en radiografías de rutinas, ya que es considerado como una lesión silenciosa y discreta, por no presentar signos y síntomas clínicos característicos; excepto cuando se localizan próximas al foramen mentoniano, pudiendo causar dolor, malestar y parestesia por compresión nerviosa.

Bibliografía:
1.- Click aquí
2.- Click aquí

IDM PERÚ Dr. Eduardo Calle IDM EDUCACION

Dr. Eduardo Calle

Maestría en Odontología
Cirujano dentista especialista en Radiología Bucal y Maxilofacial. Actualmente es Miembro del Staff de Radiólogos del Instituto de Diagnóstico Maxilofacial- IDM. Además es docente del Pre y Posgrado de la Facultad de Odontología de la Universidad de San Martin de Porres.

Más información

Casos relacionados

Deja una respuesta

Tu dirección de correo electrónico no será publicada. Los campos obligatorios están marcados con *