
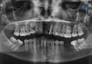
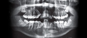
Caso 300 – IDM – HIPERPLASIA DE APÓFISIS CORONOIDES DE LADO DERECHO – IDM
Paciente femenino de 16 años acude al Instituto de Diagnóstico Maxilofacial (sede Miraflores) para evaluación quirúrgica. Radiografia Panorámica A la evaluación de la radiografía panorámica


















