El quiste dentígero es una entidad patológica que se presenta en maxilar o mandíbula, es una cavidad ósea revestida por epitelio presentando contenido líquido en su interior, relacionado a la corona de un diente no erupcionado.
Las características clínicas son: expansión cortical, deformidad facial, obstrucción de la erupción dental, desplazamiento dentario y dolor.
Radiográficamente se presenta como una cavidad ósea unilocular radiolúcida, delimitada por un borde radiopaco bien definido, con la presencia de un diente incluido.1-3 Histológicamente está revestido por epitelio escamoso estratificado no queratinizado, el quiste dentígero de larga evolución puede presentar cambios displásicos en su revestimiento epitelial.1-3 El diagnóstico diferencial incluye: queratoquiste, ameloblastoma uniquístico, tumor odontogénico adenomatoide y fibroma ameloblástico.
Paciente pediátrica de 12 años de edad referida a la Clínica de Cirugía Oral y Maxilofacial de la Universidad Veracruzana región Poza Rica-Tuxpan, con diagnóstico de quiste maxilar derecho, sin antecedentes relevantes en su historia médica para el padecimiento actual. Clínicamente presentaba aumento de volumen en región geniana derecha, intraoralmente en maxilar derecho, expansión cortical en región de premolares, tumefacción circunscrita, bien delimitada, indurada, coloración similar a la mucosa adyacente, presencia de segundo molar deciduo con una restauración con una corona acero-cromo (Figuras 1 a 3).
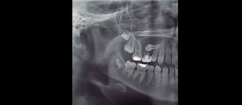
Imagenológicamente en la ortopantomografía se observó una zona radiolúcida unilocular circunscrita bien delimitada, con borde radiopaco bien definido, segundo premolar incluido en posición horizontal. Segundo molar deciduo con tratamiento pulpar. Tomografía de haz cónico: cortes axiales, sagitales, coronales y reconstrucción tridimensional mostraron quiste maxilar derecho de 2.6 cm de diámetro total, ocupando la tercera parte de la capacidad volumétrica de seno maxilar, desplazamiento de la pared anterior de seno maxilar y pared lateral de la fosa nasal derecha (Figuras 4 a 6).
Procedimiento quirúrgico: se realizó bajo anestesia local regional infiltrativa, incisión contorneante y triangular extensa,5 disección mucoperióstica, exposición de la pared anterior de seno maxilar, extracción de segundo molar deciduo, disección fina de la cápsula quística, enucleación de la lesión en su totalidad incluyendo el segundo premolar, tratamiento de la cavidad residual mediante un curetaje óseo cauteloso. Hemostasia y cierre de la herida quirúrgica con puntos simples de sutura (ácido glicólico 3/0). El procedimiento se realizó sin complicaciones ni eventualidades, respetando estructuras anatómicas comprometidas.
El control postoperatorio y retiro de suturas fue a los siete días. Se siguió con un control clínico e imagenológico a los tres meses de evolución (Figuras 7 y 8).
El diagnóstico histopatológico concluyó con los hallazgos compatibles en un quiste dentígero que presentaba un proceso inflamatorio crónico inespecífico.
Bibliografía.










