Paciente femenina de 32 años de edad acude al instituto de Diagnóstico maxilofacial – IDM (surco) para evaluación imagenológica de terceros molares.
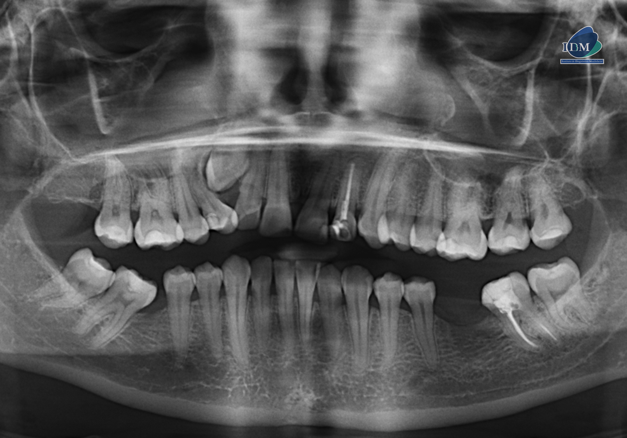
En la radiografía panorámica (Figura 1), se observa pieza 33 con pérdida del lumen del conducto radicular a nivel del tercio medio y apical.
Radiografia Panorámica
Así mismo en la tomografía volumétrica de haz se evidencia que dicha pieza esta distoangulada con el segmento coronario orientado hacia palatino y el segmento radicular orientado hacia vestibular, conservando el espacio del ligamento periodontal en toda su trayectoria.
CORTES AXIALES
CORTES TRANSAXIALES
RECONSTRUCCIÓN 3D
Conclusión imagenológica:
- Pieza 1.3 impactada en posición ectópica.
Parafrisis
La ubicación de caninos se realiza usando técnicas convencionales y variadas. La técnica de paralelismo tiene una sensibilidad del 89% para un desplazamiento horizontal del foco de los rayos X y una sensibilidad del 46% para un desplazamiento vertical del tubo si el canino estuviese impactado por vestibular. Sin embargo, si el canino se encuentra en palatino, la técnica de desplazamiento horizontal y vertical del tubo tiene una sensibilidad de apenas un 63%.
La impactación y erupción ectópica de caninos retenidos presenta un gran problema por la ausencia de síntomas y uno de esos problemas son las reabsorciones externas. Para Ericson y Sellhart alrededor del 12,5% de los caninos maxilares ectópicos causan algún grado de reabsorción en los incisivos adyacentes. En el estudio realizado por Shellhart en 1998, se reportó que en más del 90% de los casos con caninos retenidos, el diente sin erupcionar es uno solo y la retención bilateral ocurría en el 8% de los pacientes.
En algunos casos la TCCB proporciona más información que la radiografía panorámica, por ejemplo en los casos de dientes retenidos e impactados, reabsorción radicular, fisuras labio-palatinas y los terceros molares, excepto por los cambios en la ATM. Por ejemplo, para el diagnóstico de reabsorciones radiculares producidas por los caninos, se ha detectado que estas reabsorciones ocurren en mucha mayor proporción que la anteriormente descrita, aumentando la prevalencia a un 38% en los incisivos laterales y a un 9% en los centrales.

Dr. Eduardo Calle
Maestría en Odontología
Cirujano dentista especialista en Radiología Bucal y Maxilofacial. Actualmente es Miembro del Staff de Radiólogos del Instituto de Diagnóstico Maxilofacial- IDM. Además es docente del Pre y Posgrado de la Facultad de Odontología de la Universidad de San Martin de Porres.
Más información



