
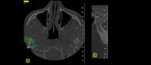
228 – Impacto de la CBCT en la toma de decisión del tratamiento relacionado a extracción de terceros molares impactados.
El objetivo del presente estudio fue evaluar los factores (referidos a la CBCT) que influyen en la toma de decisión en tratamientos para extracción de


















