Las imágenes de rayos X sirven en todas las etapas de la endodoncia, desde el diagnóstico de las vías odontogénicas y no odontogénicas hasta el tratamiento del sistema del conducto radicular en un diente comprometido, instrumentación biomecánica, obturación y evaluación de la curación.
Las radiografías periapicales intraorales durante los procedimientos de endodoncia siguen siendo los complementos de tratamiento más utilizados. Proporcionan información útil para la presencia y localización de las lesiones perirradiculares, la anatomía del conducto radicular y la proximidad de las estructuras anatómicas adyacentes [9]. Se utilizan para la evaluación y el seguimiento preoperatorio, intraoperatorio y postoperatorio. A pesar de muchas aplicaciones en endodoncia, todavía hay muchas deficiencias que pueden ser nombradas para la radiografía periapical. Como resultado de la superposición, las radiografías periapicales revelan aspectos limitados de la anatomía 3D, por lo que la cantidad de información obtenida de la película convencional y las radiografías periapicales capturadas digitalmente es limitada. Varios factores pueden dar como resultado la capacidad diagnóstica reducida de la radiografía convencional, que se analizan a continuación.
- Comprension de estructuras 3D
- Distorcion geometrica
- Variantes anatomicas
Los beneficios potenciales de la CBCT en endodoncia son enormes, especialmente cuando la anatomía que se evalúa es compleja. Sin embargo, la dosis efectiva más alta de radiación ionizante en comparación con las radiografías bidimensionales convencionales no es justificable en todos los casos. En general, la aplicación de CBCT en endodoncia debe limitarse a la evaluación y el manejo de condiciones endodónticas complejas que se mencionarán aquí.
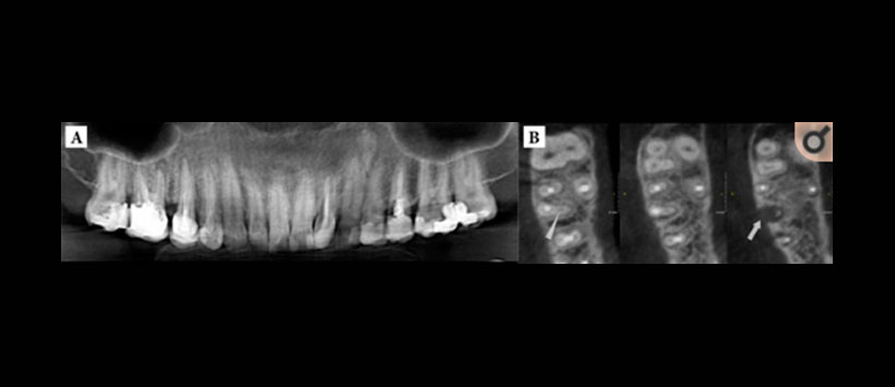
- Periodontitis apical – Figura 1
- Evaluacion de zonas pre quirurgicas – Figura 2
- Evaluacion de zonas de traumatismo alveolodentario – Figura 3
- Diagnosticos diferenciales de tipos de raices – Figura 4
- Morfologiade conductos radiculares – Figura 5
- Diagnostico de fracturas verticales – Figura 6
Los estudios demuestran las ventajas de la CBCT en comparación con las imágenes convencionales para casi todas las aplicaciones de endodoncia, con la excepción de evaluar la calidad de los rellenos del conducto radicular. Está claro que la utilidad de la CBCT no puede ser disputada. Por supuesto, la disponibilidad, la dosis y los costos deben considerarse al prescribir imágenes de CBCT para el paciente.
- Hosein A, Jafar M, Safa Y, Mehdi Y, Fazlab M, The applications of cone beam computed tomography in endodontics: A reviw of literature Iran Nedod J. 2015 10 (1): 16 – 25
Enlace aquí
Dpto. de Investigación IDM







