220 – Entesofito de la protuberancia occipital externa

Indice del articulo

Mujer de 32 años, quien como antecedente practicó durante 15 años voleibol a nivel competitivo, acude por presentar dolor localizado en la protuberancia occipital externa (POE), que le origina dolor en 3-5/10 en EVA al permanecer en decúbito dorsal, irradiándose a músculos paravertebrales cervicales. A la exploración se encuentra prominencia ósea en POE, sensible a la presión, que no limita movimientos de columna cervical.

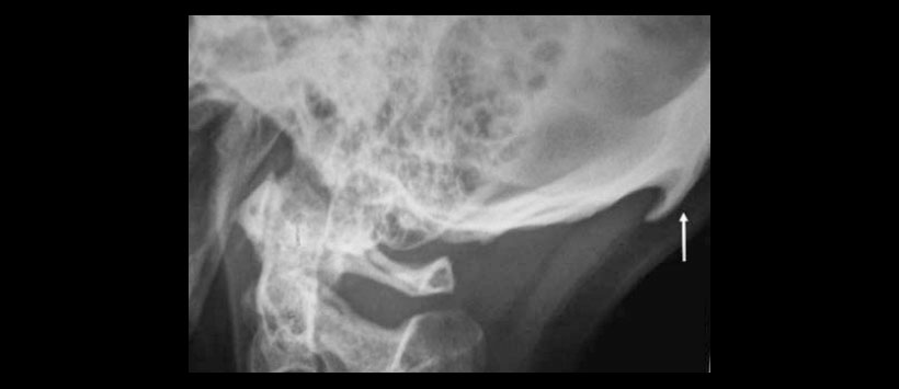
Se solicita radiografía lateral de columna cervical, abarcando cráneo (Figura 1) observando entesofito en la inserción del ligamento nucal a nivel de su inserción occipital (Figura 2).

Se le explica que es una variante normal, que de incrementar sintomatología puede ser resecado. El inión o protuberancia occipital externa es la proyección más prominente del hueso occipital en la parte posteroinferior del cráneo humano, siendo el sitio de inserción del ligamento nucal y el músculo trapecio. Los entesofitos u osteofitos son proyecciones óseas que se observan en sitios de inserción ósea de ligamentos, tendones o cápsula articular, cuando se presentan a nivel de la protuberancia occipital externa se denominan: espolón occipital, perilla occipital, moño occipital o gancho del inión, antropológicamente se les ha relacionado como un rasgo del Neandertal, y se les considera como una variante normal, por lo que pocas veces se reporta radiológicamente.

Es un hallazgo frecuente en el género masculino, por lo que un espolón occipital prominente se usa a menudo en la determinación del sexo en las investigaciones forenses. Singh menciona que es más notorio en trepadores de árboles y jugadores de baloncesto y voleibol. A la protuberancia occipital externa se le considera de tres tipos, el tipo I es una prominencia ligera; el tipo II presenta forma de cresta; el tipo III, forma de espina (espolón). El estudio de Shahar y Sayers2 en 218 radiografías laterales de columna cervical en individuos entre 18 y 30 años de edad (108 hombres y 63 mujeres) todos asintomáticos, que clasificaron a la POE como agrandada cuando su dimensión es ≥ 10 m, reporta prevalencia de 67.4% en hombres y 30.3% en mujeres.

La EOP tipo III es un hallazgo inusual en el género femenino, reportada sólo en 4.2%. El espolón occipital, a pesar de ser una variante normal, puede volverse sintomático y originar dolor occipital y cervical especialmente en decúbito dorsal o al efectuar movimientos del cuello; algunos pacientes, especialmente aquéllos con cabello corto, pueden quejarse de que es antiestético, la resección de la hiperostosis3 y el alisamiento del hueso mejoran los síntomas, así como la estética

Bibliografía.

 Equipo de Investigación IDM

Picture of Dr. Eduardo Calle Velezmoro
Dr. Eduardo Calle Velezmoro

Casos relacionados

Deja una respuesta

Tu dirección de correo electrónico no será publicada. Los campos obligatorios están marcados con *