La disfunción de la articulación temporomandibular (DTM) es una de las patologías más frecuentes que pueden causar dolor orofacial de origen no dental. La alta prevalencia de TMD hace que sea necesario promover métodos de diagnóstico y tratamiento. El TMD tiene diferentes etiologías que aún no se conocen bien. La morfología de la eminencia articular se ha discutido como un factor etiológico para el DTM en muchos estudios.
Existen varias técnicas de diagnóstico por imagen para la evaluación de las estructuras de la articulación temporomandibular (ATM). Aunque la TC se usa ampliamente como herramienta de diagnóstico en medicina, su aplicación en odontología es limitada. La CBCT tiene una alta precisión dimensional en la medición de estructuras maxilofaciales incluyendo TMJ. Por lo tanto, CBCT se empleó para la evaluación de la morfología de TMJ en el presente estudio. La relación entre la morfología de TMJ y TMD es un tema de controversia. Algunos estudios han proporcionado datos que sugieren que la eminencia articular más empinada es un factor predisponente para el TMD; mientras que otras investigaciones no confirmaron este problema. Además, hay algunos estudios que demuestran que el grupo de control sano tiene una pendiente más pronunciada que los pacientes con TMD. Según nuestro conocimiento, no hay pruebas suficientes que demuestren la relación entre la profundidad y el ancho de la fosa glenoidea y la incidencia de TMD. Encontrar una relación significativa entre la morfología de la TMJ y la incidencia de TMD puede ayudar a pronosticar y prevenir tempranamente estos problemas. Por lo tanto, este estudio tuvo como objetivo investigar la relación entre la inclinación de la eminencia articular y también el ancho y la profundidad de la fosa glenoidea según el sexo en pacientes con TMD y controles sin síntomas que utilizan CBCT.
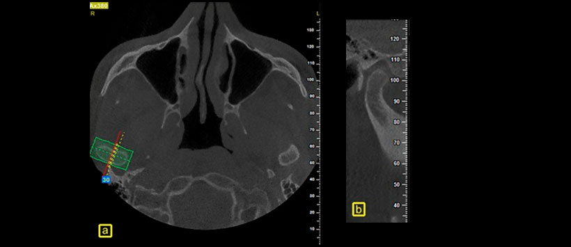
Para lo cual se evaluaron los datos de CBCT de ATM bilaterales de 40 pacientes con TMD y 23 casos sin síntomas (Figura 1). Se midieron la inclinación de la eminencia articular (Figura 2), así como la profundidad (Figura 3) y el ancho de la fosa glenoidea de la fosa mandibular (Figura 4). Obteniendo como resultado que la inclinación de la eminencia articular, la anchura y profundidad de la fosa glenoidea fueron significativamente mayores en los pacientes con TMD que en el grupo control. La inclinación de la eminencia articular fue más pronunciada en pacientes con TMD que en el grupo control. El ancho y la profundidad de la fosa glenoidea fueron mayores en los pacientes con TMD que en el grupo control. Esta información puede arrojar luz sobre la relación entre la morfología de la ATM y la incidencia de TMD.
Bibliografia :
- Is Mandibular Fossa Morphology and Articular Eminence Inclination Associated with Temporomandibular Dysfunction? Maryam Paknahad,1 Shoaleh Shahidi,2 Marzieh Akhlaghian,3 and Masoud Abolvardi3 J Dent (Shiraz). 2016 Jun; 17(2): 134–141
Enlace aquí
Dpto. de Investigación IDM






