
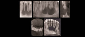
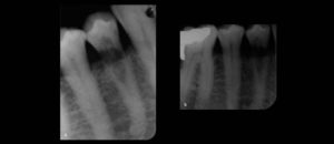
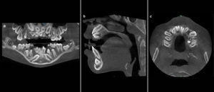
192 – Clasificación propuesta para los contactos interproximales de los molares primarios utilizando CBCT: Un estudio piloto
El «Área de contacto» es un término que se usa para denotar las alturas proximales del contorno de las superficies mesial y distal del diente.


















