La reabsorción radicular ha sido definida como pérdida de tejido dental como resultado de la acción de las células osteoclásticas y puede ocurrir tanto en superficies externas como internas.
El proceso puede ser autolimitado y, con frecuencia, es subclínico, como en el caso de la resorción superficial. Sin embargo, puede ser más progresivo y potencialmente destructivo. El proceso de reabsorción ha sido clasificado como interno o externo al diente con una cantidad de subclasificaciones. La resorción interna es de naturaleza inflamatoria, pero el proceso de reabsorción puede tener un componente de reemplazo con tejido de origen mixto que se deposita dentro del conducto el cual puede ser tejido calcificante. La reabsorción radicular externa puede clasificarse como superficial, inflamatoria, cervical o de reabsorción. Aunque el cuadro clínico puede ser similar y cualquier diferencia parece estar relacionada únicamente con el sitio de reabsorción, los procesos patológicos son algo diferentes y, por lo tanto, exigen diferentes protocolos de tratamiento.
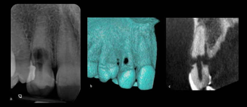
Si se sospecha una reabsorción, se deben tomar una o más radiografías periapicales. Se deben considerar las radiografías adquiridas mediante la técnica paralela, ya que esta técnica proporcionará más información sobre el sitio y el tipo de lesión. Las lesiones internas, sin embargo, deben permanecer en una posición similar en relación con el conducto radicular. Las limitaciones de la radiografía dental de rutina son ampliamente conocidas. Superposición de las características anatómicas, distorsión inadvertida cuando se usan soportes de película y la naturaleza bidimensional de la imagen puede dar como resultado una imagen menos que ideal. (Figura 1) Además, se ha demostrado que las radiografías pueden no ser lo suficientemente sensibles como para permitir el diagnóstico de lesiones de resorción externas. Se ha demostrado que el tamaño de la lesión, su ubicación, su anatomía local y su densidad ósea influyen en la detección de lesiones.
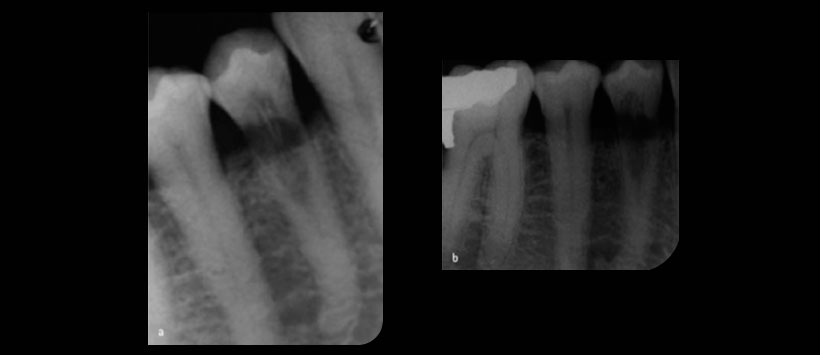
Varios informes de casos han demostrado que la CBCT puede mejorar el diagnóstico de las lesiones. (Figura 2) Estos estudios han sido respaldados por estudios clínicos, aunque la mayoría son in vitro. El uso de CBCT permite la determinación precisa del sitio, tipo y extensión de la lesión. Ha habido un aumento en el número de publicaciones relacionadas con el uso de CBCT para el diagnóstico de lesiones internas y externas, aunque muchos son informes de casos. La mayoría de los estudios clínicos se relacionan con lesiones de raíz generadas artificialmente. No obstante las indicaciones son que el CBCT es valioso en el diagnóstico y, en última instancia, en el manejo de la reabsorción. Como la exposición a la radiación ionizante debe mantenerse al mínimo, la derivación para CBCT solo debe hacerse si será de gran ayuda en el diagnóstico o la gestión.
Las cavidades de reabsorción pequeñas y aquellas presentes en las superficies bucal y lingual tienen más probabilidades de permanecer sin diagnosticar. Se han demostrado diferencias significativas en la detección de reabsorción inter e intra. Por lo tanto, los médicos deberían tenga en cuenta estas limitaciones, examine las radiografías en las condiciones adecuadas y solicite una opinión para obtener más imágenes en caso de duda.
Dpto. de Investigación IDM




