191 – Desviación de conducto radicular con CBCT. Reporte de un caso.

Indice del articulo

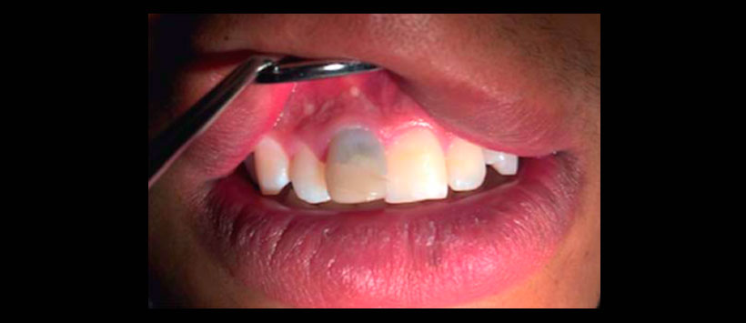
Paciente masculino de 19 años de edad, acude al Post- grado de Endodoncia de La Universidad de la Salle Bajío, León, México. Sistémicamente refiere alergia a la penicilina. Fue remitido para retratamiento endodóncico del incisivo central superior derecho, por presencia de sintomatología. El paciente refiere dolor a la masticación y tacto desde hace un año. Clínicamente se observó restauración en borde incisal del OD 11 y cambio de coloración del órgano dental en porción cervical, no se tamiento previo de endodoncia y en porción apical de la raíz aparentaba una desviación del conducto (Figura 1). Se diagnosticó como diente previamente tratado con periodontitis apical sintomática, por lo que se decidió realizar un retratamiento.

Previo a la segunda cita se evaluó con la tomografía cone-beam y se confirmó la desviación del conducto así como la presencia de una perforación (Figura 2), lo que permitió planificar la dirección que se debía seguir para retomar el conducto principal y eliminar el poste y material de obturación. Esto no fue posible de detectar con la radio- grafía convencional debido a la angulación que éste seguía.

Seis meses después se repitió una tomografía cone- beam para valorar el sellado tridimensional en la zona de la perforación, observándose un buen sellado apical tanto en la perforación como en el conducto principal (Figura 3).

La tomografía cone-beam es un excelente método para detectar la presencia y ubicación de perforaciones en bucal o lingual, debido a que nos permite un análisis en tercera dimensión. En el presente caso se pudo obser- var la desviación del conducto en apical y la ubicación del conducto principal, lo que facilitó la planificación y desarrollo del tratamiento.

Se sabe que una radiografía convencional tiene va- rias limitantes, como son ruidos anatómicos, que es una imagen bidimensional y genera distorsión geométrica. La tomografía cone-beam presenta mayores ventajas debido a que resuelve las limitantes ya mencionadas para la ra- diografía, permitiendo visualizar de manera virtual áreas inaccesibles con una relativa baja dosis de radiación.19,20

La ayuda de magnificación mediante microscopio ope- ratorio dental fue clave en este tratamiento, al permitirnos observar directamente la zona del conducto desviado y el conducto principal, logrando así retomar el conducto ra- dicular, permitiendo limpieza y desinfección en zonas que anteriormente no habían sido tratadas, para posteriormente lograr sellado del conducto radicular y perforación.

La finalidad de este estudio fue resltar la utilidad de las herramientas actuales imagenologicas y como estas mejoran el pronostico de los tratamientos.

Bibliografia:

  1. Palacios A, Aguilar R, Guizar J “Desviacion de conducto radicular localizado con CBCT reporte de caso” Revista DM 2018; 75 (1): 45 – 49
     Enlace aquí

 Dpto. de Investigación IDM 

Picture of Dr. Eduardo Calle Velezmoro
Dr. Eduardo Calle Velezmoro

Casos relacionados

Deja una respuesta

Tu dirección de correo electrónico no será publicada. Los campos obligatorios están marcados con *