La infraoclusión es un término clínico que describe a un diente bajo el plano oclusal y ocurre una vez que éste ha hecho erupción en la cavidad oral. Esta característica puede expresarse de dos maneras; en la primera, llamada también retención secundaria, el diente erupciona hasta una posición inicial de oclusión y luego cesa la erupción; en la segunda, es todo el proceso de erupción el que se encuentra alterado. (Prof t and Vig,1981).
Recientes estudios histológicos de la superficie radicular de dientes extraídos con infraoclusión muestran que la mayoría de estos dientes están anquilosados, consecuentemente, se describe la anquilosis como el mecanismo etiológico más importante de la infraoclusión. La causa es incierta y el único factor que ha sido encontrado en algunos casos, es genético.
Se ha sugerido además, otros factores que posiblemente están implicados en la infraoclusión de dientes temporales. Entre ellos destacan: Alteración del metabolismo local, erupción prematura del primer molar permanente, trauma dental, infección localizada, irritación química o térmica, alteración local del crecimiento óseo, presión anormal de la lengua, defecto congénito de la membrana periodontal, traumatismo del hueso y/o ligamento periodontal, presión masticatoria excesiva, tendencia genética, de ciencia local en el crecimiento vertical óseo.
El presente reporte es de un paciente sexo femenino 8 años de edad, que llega a la consulta para tratamiento y control odontológico.
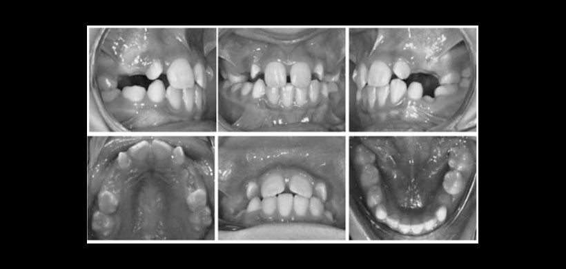
Al examen clínico se observa al paciente en dentición mixta con la pieza 7.4 en infraoclusión severa, con pérdida de espacio evidente y mesioinclinación de las piezas vecinas (Figura 1). La madre relata que la historia clínica del diente afectado ha sido progresiva y que estaba siendo controlada de forma clínica y radiográ ca en otra consulta dental.
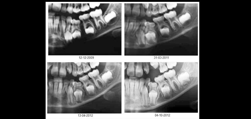
Al examen radiográfico, se muestra una secuencia de radiogra as panorámicas (2009- 2012) donde se observa la infraoclusión severa del diente 7.4 (Figura 2). La interpretación radiográfica revela que el diente 7.4 se encuentra semi sumergido, en distoversión e impactado en la zona mesiocervical del diente 7.5, e impactado a su vez por distal del diente 7.3.
Al efectuar un estudio comparativo entre las radiografías panorámicas que porta el paciente, se observa que el diente 7.4 no ha presentado cambios posicionales desde Diciembre 2009, observándose solamente una progresión de la reabsorción radicular, evaluada en los exámenes actuales. El germen del diente 3.4 se presenta en una posición discretamente más hacia basilar en comparación a las piezas vecinas y homóloga contralateral.
Se solicita como examen complementario una tomogra a computada cone beam, donde se descarta la anquilosis del diente 7.4 (Figura 3).
En este paciente se puede evidenciar las graves consecuencias que suceden al no tratar las infraoclusiones en forma oportuna y adecuada, asi mismo se resalta la importancia de la imagenologia 2d y en especial la 3D para una evaluacion mas precisa y sertera.
Autores: C.D. Eduardo Calle Velezmoro, Mg. Esp. Andrés Agurto





