El quiste radicular se define como una lesión osteolítica de los maxilares que se origina a partir de un foco inflamatorio procedente del foramen apical como consecuencia de la necrosis pulpar. Este quiste también puede provenir de un granuloma periapical, estimulando la proliferación de los restos epiteliales de Malassez, produciendo finalmente un quiste. Tanto el quiste radicular inflamatorio como el granuloma periapical se originan por la invasión bacteriana al sistema de canales radiculares.
Es el más común de los quistes de los maxilares, reportándose frecuencias de entre el 7 al 54% de las lesiones radiolúcidas periapicales, y hasta del 80% de todos los quistes odontogénicos.
Por otro lado, la geminación corresponde a la división de un germen dentario en dos. Se reconoce como una anomalía del desarrollo dental caracterizada por una anchura desmedida de un diente unirradicular. Un germen se ha dividido sin la ausencia de otra pieza, creando así un diente más grande, bífido, o 2 dientes complemente diferentes unidos por la corona.
Su etiología no es clara. Se han descrito posibles causas, tales como factores ambientales, traumas, déficit vitamínicos, enfermedades sistémicas, así como una cierta predisposición genética. Si esta última idea fuera cierta, la geminación dentaria respondería a una herencia recesiva autosómica o dominante con muy poca penetración
Paciente masculino de 35 an ̃os de edad que acude a la consulta por un aumento de volumen en el paladar de aparición espontánea de hace 3 años, que hace un mes comenzó a doler.
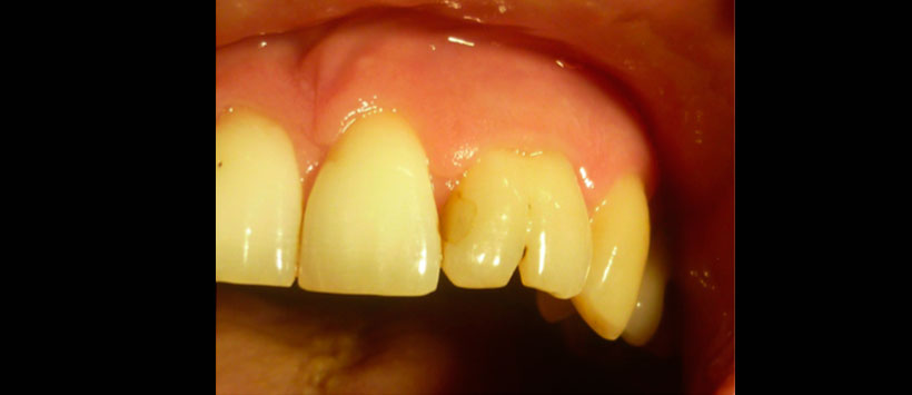
El paciente no presenta patologías de base, ni antecedentes de trauma bucal ni facial. Al examen físico se observa geminación de pieza 2.2, la cual presenta una restauración mesial (Figura 1) y aumento de volumen fluctuante levemente doloroso en el tercio anterior del paladar duro, con leve abombamiento de la tabla ósea vestibular.
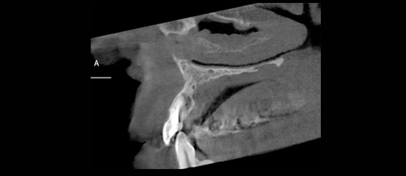
A los tests de sensibilidad, solo es positivo para percu- sión, y es sensible a la palpación periapical. No hay cambios de color coronario, y los exámenes térmicos y eléctricos son negativos. Se solicitan radiografías convencionales, en las que se observa una imagen radiolúcida extensa de lími- tes netos no corticalizada, en relación a piezas 2.1, 2.2 y 2.3. Se complementa con tomografía computarizada Cone Beam (CBCT) (Figura 2), mostrando una imagen compatible con quiste radicular inflamatorio en pieza 2.2. Sus mediciones son 20 mm mesio-distal, 13 mm vestíbulo-palatino y 11 mm céfalo-cauda. Posterior al tratramiento, se le realizo una tomogriafia de control a los 20 meses para evalular el estado del tratamiento endoodntico asi como la cirugia.(Figura 3)
La tomografia volumetrica de haz conico fue la herramienta de elección para evaluar este tipo de casos, debido a que permite evaluar en forma tridimensional la anatomía dentaria, canalicular y ósea, permitiendo determinar el compromiso de tablas óseas, estructuras vecinas (p.ej., piso nasal) y las dimensiones de las lesiones.
- Figuroa L, Contreras R, Alvarez E. “Quiste radicular asociado a diente geminado: tratamiento endodontico – quirurgico” Rev Clin Periodoncia Implantol Rehabil Oral. 2015; 8(2): 101 – 105
Enlace aquí
Dpto. de Investigación IDM





