173 – Tomografía computarizada con haz cónico para la evaluación de dens invaginatus en la población polaca

Indice del articulo

Los dientes invaginados (DI) puede reconocerse en casi todos los tipos de radiografías dentales, pero la ventaja del examen de tomografía computarizada con haz cónico (Figura 1 y Figura 2) es la evaluación del tipo de malformación. La siguiente clasificación ampliamente aceptada de DI fue propuesta por Oehlers :

  • Tipo 1 Invaginación forrada de esmalte confinada a la parte coronal del diente
  • Tipo 2 Extensión de la invaginación en la raíz, más allá de la unión amelocementaria, que termina en un saco ciego; la invaginación puede comunicarse con la pulpa
  • Tipo 3 a Incluye la penetración de la raíz por la invaginación, formando un foramen lateral adicional; generalmente, no hay comunicación con la pulpa
  • Tipo 3 b Incluye la penetración de la raíz por la invaginación, formando un foramen apical adicional; generalmente, no hay comunicación con la pulpa 

El objetivo del presente estudio fue evaluar la presencia de dens invaginatus con características imagenologicas mediante tomografía computarizada con haz cónico (CBCT)

Para lo cual se evaluaron las imágenes CBCT de 33 pacientes. Se analizaron la edad, el sexo, el lado, la lateralización, la ocurrencia en un grupo particular de dientes, el tipo de invaginación, la diferenciación y las consecuencias de estos factores. Cuarenta y un dientes con dens invaginatus cumplieron los criterios de inclusión para esta evaluación. Las mujeres se vieron afectadas con mayor frecuencia que los hombres (57.6 vs. 42.4%, respectivamente). La edad de los pacientes varió de 7 a 40 años, y la aparición de dens invaginatus alcanzó su máximo de edad de 9 a 13 años.  En total, el 92,7% de los dientes afectados estaban presentes en el maxilar superior, más a menudo unilateralmente (75,8%) que bilateralmente (24,2%). El diente más frecuente con dens invaginatus fue el incisivo lateral maxilar (53.7% de los dientes afectados). Casi dos tercios (63.4%) de los dientes afectados se encontraron en el lado izquierdo y el 36.6% se encontraron en el lado derecho. La anatomía del diente estaba distorsionada dentro de la corona y la raíz. Los Dens invaginatus a veces afectaban a otros dientes circundantes y reducían su estética

Los datos obtenidos indican que el examen CBCT es una herramienta esencial para evaluar dens invaginatus y puede guiar a los odontólogos en el tratamiento de pacientes que exhiben características de este trastorno. CBCT le permite al clínico distinguir el tipo de anomalía asi como determinar el tipo de tratamiento idóneo dependiendo el tipo de caso

Figura 1:  a) Ejemplo de invaginación coronal del incisivo lateral superior izquierdo. El esmalte en el diente 22 invagina el interior del diente, visto aquí como una línea opaca. una vista tangencial, b) Imagen de sección transversal. c) plano axial

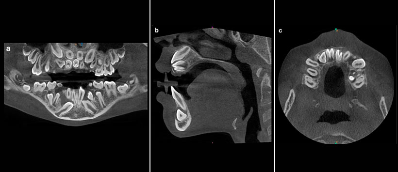
Figura 2: a) Ejemplo de aparición bilateral de 2 dientes supernumerarios invaginados, incorrectamente desarrollados y situados en zona de la 11 y 21 en  una vista panorámica, b) Imagen de sección transversal,  c) plano axial

Enlace aquí

Autores: CD. Eduardo Calle Velezmoro, Mg. Esp. Andrés Agurto Huerta

Picture of Dr. Eduardo Calle Velezmoro
Dr. Eduardo Calle Velezmoro

Casos relacionados

Deja una respuesta

Tu dirección de correo electrónico no será publicada. Los campos obligatorios están marcados con *