Esta lesión intraósea tiene un comportamiento invasivo y agresivo. Comprende aproximadamente 2-21.8% de todos los quistes maxilares.
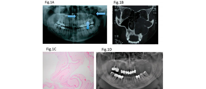
Debido a las altas tasas de recurrencia, que van desde 0% al 62% (6-8), hay diferentes opciones de tratamiento para OKCs. Estas modalidades de tratamiento han sido ampliamente dividido en dos categorías principales: enfoques conservadores, incluida la enucleación simple con o sin curetaje, descompresión o marsupialización, y enfoques agresivos, incluida la enucleación con osteotomía periférica, enucleación con la solución de Carnoy, crioterapia y resección (en bloque o marginal). Aunque los OKC son lesiones invasivas y agresivas, los investigadores aún buscan la mejor opción de tratamiento que daría lugar a una morbilidad mínima debido a la naturaleza benigna de la enfermedad La resección tiene la menor tasa de recurrencia entre las diversas opciones de tratamiento para OKCs; sin embargo, en comparación con otras modalidades de tratamiento, se asocia con morbilidades como el facial asimetría y la pérdida de la continuidad de la mandíbula. Por lo tanto, la resección se sugiere para lesiones grandes y recurrentes en ubicaciones anatómicas difíciles. (Figura 1)
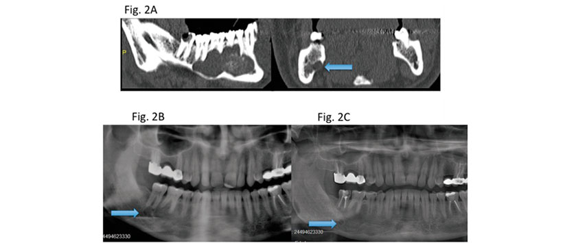
El objetivo de este estudio retrospectivo fue investigar la tasa de recurrencia de los queratoquistes odontogénicos (QCO) tratados mediante enucleación y ostectomía periférica. (Figura 2)
Por lo cual se realizó una búsqueda electrónica en la base de datos imagenologicos 2D y 3D asi como la revisión de historias clínicas de la Universidad Hacettepe, Facultad de Medicina, Departamento de Patología, para identificar a los pacientes histológicamente diagnosticados con OKC tratados en el Departamento de Cirugía Oral y Maxilofacial entre 2001 y 2015.
Obteniendo como resultado que, del total, se estudiaron 81 pacientes. La edad media en el momento del diagnóstico fue de 42 años, y la relación hombre: mujer fue de 1: 0,7. Los OKC se localizaron principalmente en la región mandibular posterior (41%). Veintisiete pacientes fueron reexaminados para determinar la tasa de recurrencia. El período medio de seguimiento fue de 5 años (rango, 1-12 años). La tasa de recurrencia fue del 14.8%. La relación entre la ubicación de la lesión y la recurrencia no fue estadísticamente significativa. Tampoco hubo una relación estadísticamente significativa entre la tasa de recurrencia y la opción de tratamiento de los dientes implicados en la lesión.
Los autores concluyen que el tratamiento de los OKC mediante enucleación con ostectomía periférica se asocia con una morbilidad mínima y se prefiere a otras modalidades de tratamiento agresivas. El examen radiográfico minucioso y la resección quirúrgica cuidadosa pueden disminuir la tasa de recurrencia de los OKC
Dpto. de Investigación IDM




