La invaginación de las piezas dentarias (DI) o dens in dente se ha definido como una anomalía que resulta del crecimiento descontrolado de la estructura amelodental en las papilas dentales antes de la etapa de calcificación. Los incisivos laterales de lso maxilares son los dientes más comúnes involucrados en esta anomalía.
Ha sido categorizado por Oehler en los siguientes 3 tipos según la profundidad de invaginación del esmalte: el tipo 1 está limitado a la corona, el tipo 2 se extiende a la cámara pulpar, pero no afecta a los tejidos periapicales y el tipo 3 está extendido al foramen apical o al foramen pseudoapical sin comunicación con la pulpa. La forma tipo II (según Oehlers) exhibe anatomía interna compleja y se asocia frecuentemente con la formación incompleta de raíces y ápices.
La radiografía convencional es insuficiente para el diagnóstico de la mayoría de los casos de DI debido a su presentación bidimensional de una estructura tridimensional. Por lo tanto, utilizamos CBCT para observar su extensión. Las imágenes CBCT se obtuvieron en 3 planos ortogonales (axial, sagital y coronal). CBCT produce imágenes tridimensionales de la anatomía de los dientes y sus tejidos circundantes con una exposición de radiación reducida al paciente en comparación con la tomografía medica convencional.
Se han descrito varios enfoques de tratamiento para estas anomalías; incluida la terapia de endodoncia no quirúrgica, terapia endodóntica y, finalmente, la extracción.
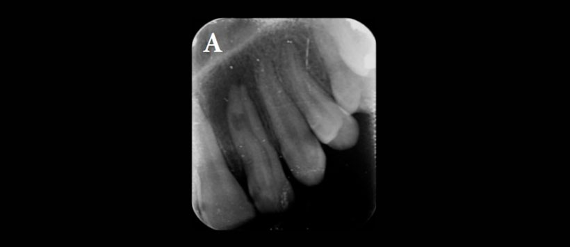
El presente caso es de una paciente de sexo femenino de 12 años de edad que fue derivada al departamento de manifestando dolor en el incisivo lateral superior izquierdo El examen extraoral inicial no reveló hinchazón en el lado izquierdo del maxilar. Había una fosa palatina en el diente 2.2 (Figura 1) y el diente era sensible a la palpación y la percusión. Una radiografía periapical inicial y CBCT mostraron la presencia de DI tipo 2 (Oehler) en el diente, asociado a radiolucides periapical y reabsorción de raíz interna (Figura 2). Dado que la morfología de la invaginación no era clara en la radiografía periapical, se usó CBCT para un diagnóstico y protocolo de tratamiento óptimos. El escaneo CBCT reveló dos canales separados. El canal invaginado estaba casi en el centro de la raíz, pero el otro canal estaba localizado mesiolingualmente. También se observó la reabsorción de la raíz asociada con el canal invaginado (Figura 3). El paciente fue tratado en dos sesiones. En la primera visita, se aplicó anestesia local con lidocaína al 2% que contenía epinefrina y se aisló el diente con dique de goma. La cavidad de acceso endodóntico fue preparada. Luego, la longitud de trabajo se determinó mediante radiografía periapical y el localizador de ápices. El canal invaginado se encontró fácilmente y el segundo canal se encontró usando CBCT.
Este reporte de caso ha demostrado que los dientes invaginados de clase II con un ápice abierto y una periodontitis apical pueden tratarse con éxito no quirúrgicamente. Así mismo la CBCT proporciona más detalles de la anatomía interna de dens invaginatus y es un dispositivo útil en el tratamiento endodóntico de esta anatomía del desarrollo.
Dpto. de Investigación IDM





