
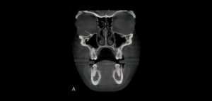
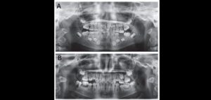
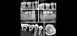
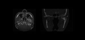
158 – Uso intraoperatorio de la CBCT para la identificación y localización de canales calcificados
Se sabe que la tomografía computarizada de haz cónico (CBCT) produce exploraciones tridimensionales de la dentición, las estructuras duras maxilofaciales y la relación de las


















